GP1BB anticorps
Aperçu rapide pour GP1BB anticorps (ABIN396968)
Antigène
Voir toutes GP1BB AnticorpsReactivité
Hôte
Clonalité
Conjugué
Application
-
-
Specificité
- Recognizes human GPIb, beta subunit (CD42c) of the human GPIb/IX/V (CD42a/CD42b/CD42c/CD42d) complex.
-
Purification
- Purified
-
Immunogène
-
Human platelets.
Type of Immunogen: Cells -
Isotype
- IgG2b
-
-
-
-
Indications d'application
-
Approved: IHC, IHC-P (1:50), IP (1:10), WB (1:10)
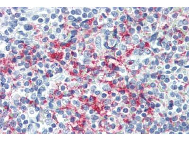
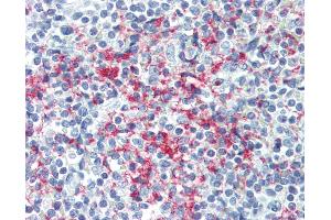
Usage: Immunohistochemistry: This antibody was validated for use in immunohistochemistry on a panel of 21 formalin-fixed, paraffin-embedded (FFPE) human tissues after heat induced antigen retrieval in pH 6.0 citrate buffer. After incubation with the primary antibody, slides were incubated with biotinylated secondary antibody, followed by alkaline phosphatase-streptavidin and chromogen. The stained slides were evaluated by a pathologist to confirm staining specificity. The optimal working concentration for this antibody was determined to be 1:50. -
Commentaires
-
Target Species of Antibody: Human
-
Restrictions
- For Research Use only
-
-
-
Format
- Liquid
-
Concentration
- Lot specific
-
Buffer
- PBS, 0.05 % sodium azide
-
Agent conservateur
- Sodium azide
-
Précaution d'utilisation
- This product contains Sodium azide: a POISONOUS AND HAZARDOUS SUBSTANCE which should be handled by trained staff only.
-
Conseil sur la manipulation
- avoid freeze thaw cycles.
-
Stock
- 4 °C,-20 °C
-
Stockage commentaire
- Short term 4°C, long term aliquot and store at -20°C, avoid freeze-thaw cycles.
-
-
- GP1BB (Glycoprotein Ib (Platelet), beta Polypeptide (GP1BB))
-
Autre désignation
- GP1BB / CD42c
-
Sujet
-
Name/Gene ID: GP1BB
Synonyms: GP1BB, Antigen CD42b-beta, BS, CD42c antigen, CD42C, Glycoprotein ib beta, GP-Ib beta, gp1BB, BDPLT1, GPIb-beta, GPIBB -
ID gène
- 2812
-
UniProt
- P13224
Antigène
-