Tel:
+49 (0)241 95 163 153
Fax:
+49 (0)241 95 163 155
E-Mail:
orders@anticorps-enligne.fr

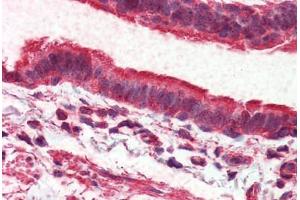
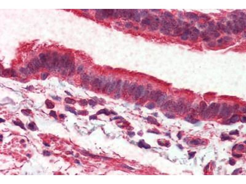
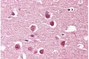
ADGRV1 / GPR98 anticorps (Internal Region)

L’anticorps anti-ADGRV1 / GPR98 Polyclonal Lapin est utilisé pour la détection de ADGRV1 / GPR98 dans des échantillons de Humain. Il a été validé pour IHC et IHC (p).
N° du produit ABIN461684
534,81 €
Plus frais de livraison 40,00 € et TVA
50 μg
Destination: France
Envoi sous 15 à 20 jours ouvrables

Aperçu rapide pour ADGRV1 / GPR98 anticorps (Internal Region) (ABIN461684)

Antigène

ADGRV1 / GPR98 (ADGRV1) (G-Protein Coupled Receptor 98 (ADGRV1))

Reactivité

  • 2
  • 1
  • 1
Humain

Hôte

  • 3
Lapin

Clonalité

  • 3
Polyclonal

Conjugué

  • 3
Cet anticorp ADGRV1 / GPR98 est non-conjugé

Application

  • 2
  • 2
  • 1
  • 1
Immunohistochemistry (IHC), Immunohistochemistry (Paraffin-embedded Sections) (IHC (p))
  • Épitope

    Internal Region

    Specificité

    Human GPR98. BLAST analysis of the peptide immunogen showed no homology with other human proteins.

    Homologie

    Percent identity with other species by BLAST analysis: Human, Gorilla, Monkey (100%) Gibbon (95%) Marmoset, Dog (90%) Mouse, Elephant (85%) Bat, Panda (80%).

    Purification

    Immunoaffinity purified

    Immunogène

    Synthetic 20 amino acid peptide from internal region of human GPR98. Percent identity with other species by BLAST analysis: Human, Gorilla, Monkey (100%), Gibbon (95%), Marmoset, Dog (90%), Mouse, Elephant (85%), Bat, Panda (80%).

    Type of Immunogen: Synthetic peptide
  • Indications d'application

    Approved: IHC, IHC-P (5 - 10 μg/mL)

    Usage: Immunohistochemistry with formalin-fixed paraffin-embedded tissues requires pretreatment with Proteinase K.

    Commentaires

    Target Species of Antibody: Human

    Restrictions

    For Research Use only
  • Format

    Liquid

    Concentration

    Lot specific

    Buffer

    PBS, less than 0.1 % sodium azide.

    Agent conservateur

    Sodium azide

    Précaution d'utilisation

    This product contains Sodium azide: a POISONOUS AND HAZARDOUS SUBSTANCE which should be handled by trained staff only.

    Stock

    4 °C,-20 °C

    Stockage commentaire

    Aliquot and store undiluted at -20°C or below for up to 1 year. Can be stored undiluted at 4°C for up to 1 month. Avoid freeze-thaw cycles.

    Date de péremption

    12 months
  • Antigène

    ADGRV1 / GPR98 (ADGRV1) (G-Protein Coupled Receptor 98 (ADGRV1))

    Autre désignation

    ADGRV1 / GPR98

    Sujet

    Name/Gene ID: ADGRV1
    Subfamily: Orphan-A
    Family: GPCR

    Synonyms: ADGRV1, FEB4, KIAA0686, G-protein coupled receptor 98, MASS1, VLGR1b, Usher syndrome type-2C protein, USH2B, USH2C, G protein-coupled receptor 98, GPR98, KIAA1943, VLGR1

    ID gène

    84059
Vous êtes ici:
Chat with us!