DNAJB1 anticorps
Aperçu rapide pour DNAJB1 anticorps (ABIN462383)
Antigène
Voir toutes DNAJB1 AnticorpsReactivité
Hôte
Clonalité
Conjugué
Application
-
-
Specificité
- MUNC-18a Antibody detects endogenous levels of total MUNC-18a protein.
-
Purification
- Protein A purified
-
Immunogène
-
Recombinant human HSP40.
Type of Immunogen: Recombinant protein
-
-
-
-
Indications d'application
-
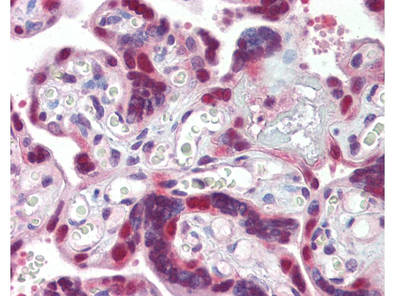
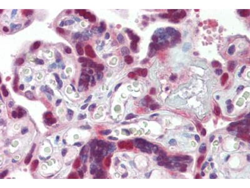
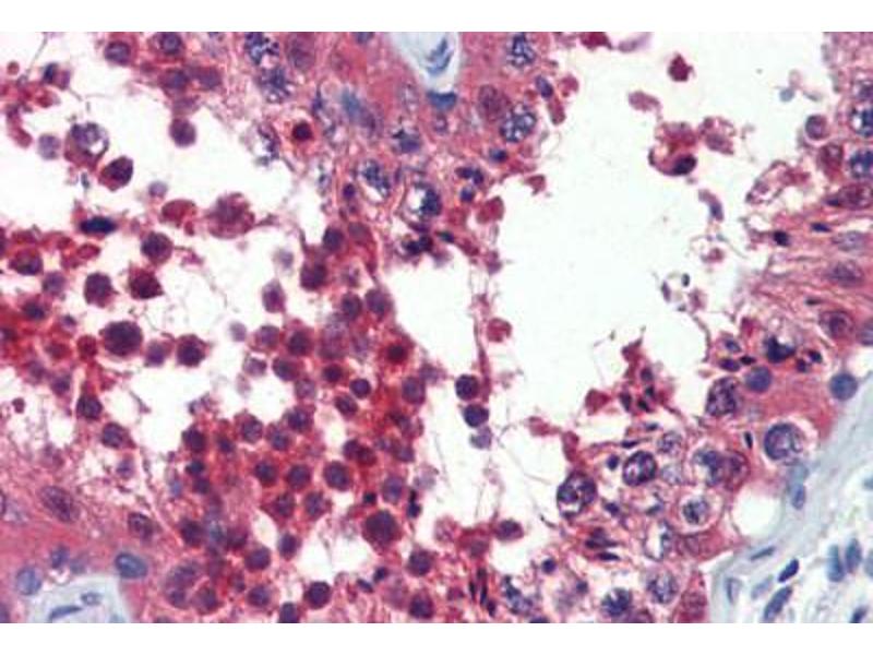
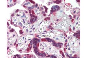
Approved: IHC, IHC-P (10 μg/mL), IP, WB (1:10000)
Usage: Immunohistochemistry: This antibody was validated for use in immunohistochemistry on a panel of 21 formalin-fixed, paraffin-embedded (FFPE) human tissues after heat induced antigen retrieval in pH 6.0 citrate buffer. After incubation with the primary antibody, slides were incubated with biotinylated secondary antibody, followed by alkaline phosphatase-streptavidin and chromogen. The stained slides were evaluated by a pathologist to confirm staining specificity. The optimal working concentration for this antibody was determined to be 10 μg/mL -
Commentaires
-
Target Species of Antibody: Human
-
Restrictions
- For Research Use only
-
-
-
Format
- Liquid
-
Concentration
- Lot specific
-
Buffer
- PBS, 0.09 % azide, 50 % glycerol
-
Agent conservateur
- Sodium azide
-
Précaution d'utilisation
- This product contains Sodium azide: a POISONOUS AND HAZARDOUS SUBSTANCE which should be handled by trained staff only.
-
Stock
- -20 °C
-
Stockage commentaire
- Store at -20°C.
-
-
- DNAJB1 (DnaJ (Hsp40) Homolog, Subfamily B, Member 1 (DNAJB1))
-
Autre désignation
- HSP40
Antigène
-