Tel:
+49 (0)241 95 163 153
Fax:
+49 (0)241 95 163 155
E-Mail:
orders@anticorps-enligne.fr

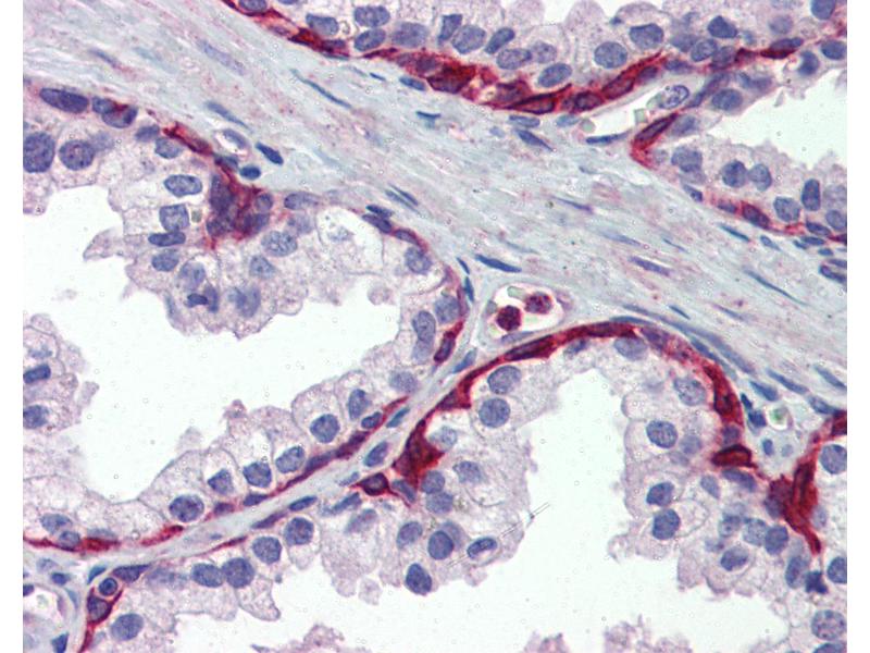
METTL7A anticorps (Internal Region)

Cet anticorps anti-METTL7A Polyclonal Lapin (ABIN462540) détecte spécifiquement METTL7A dans ELISA, WB, IHC, ICC et IHC (p). L’anticorps est réactif avec des échantillons de Humain et Souris.
N° du produit ABIN462540
512,07 €
Plus frais de livraison 40,00 € et TVA
0.05 mg
Destination: France
Envoi sous 15 à 20 jours ouvrables

Aperçu rapide pour METTL7A anticorps (Internal Region) (ABIN462540)

Antigène

Voir toutes METTL7A Anticorps
METTL7A (Methyltransferase Like 7A (METTL7A))

Reactivité

  • 28
  • 5
  • 5
  • 2
  • 1
  • 1
  • 1
  • 1
  • 1
Humain, Souris

Hôte

  • 27
  • 1
Lapin

Clonalité

  • 28
Polyclonal

Conjugué

  • 13
  • 3
  • 2
  • 2
  • 1
  • 1
  • 1
  • 1
  • 1
  • 1
  • 1
  • 1
Cet anticorp METTL7A est non-conjugé

Application

  • 14
  • 12
  • 9
  • 3
  • 1
  • 1
  • 1
ELISA, Western Blotting (WB), Immunohistochemistry (IHC), Immunocytochemistry (ICC), Immunohistochemistry (Paraffin-embedded Sections) (IHC (p))
  • Épitope

    • 6
    • 6
    • 3
    • 2
    • 1
    • 1
    • 1
    Internal Region

    Specificité

    At least two isoforms of MettL7A are known to exist. This antibody is predicted to not cross-react with MettL7B.

    Purification

    Immunoaffinity purified

    Isotype

    IgG
  • Indications d'application

    Approved: ELISA, ICC (2 μg/mL), IHC, IHC-P (5 μg/mL), WB (2 - 4 μg/mL)

    Commentaires

    Target Species of Antibody: Human

    Restrictions

    For Research Use only
  • Format

    Liquid

    Concentration

    Lot specific

    Buffer

    PBS containing 0.02 % sodium azide

    Agent conservateur

    Sodium azide

    Précaution d'utilisation

    This product contains Sodium azide: a POISONOUS AND HAZARDOUS SUBSTANCE which should be handled by trained staff only.

    Conseil sur la manipulation

    avoid freeze thaw cycles. Store undiluted.

    Stock

    4 °C,-20 °C

    Stockage commentaire

    Store at 4°C for 3 months and -20°C, stable for up to 1 year. Avoid repeated freeze-thaw cycles.

    Date de péremption

    12 months
  • Antigène

    METTL7A (Methyltransferase Like 7A (METTL7A))

    Autre désignation

    METTL7A

    Sujet

    Name/Gene ID: METTL7A

    Synonyms: METTL7A, AAM-B, DKFZP586A0522, Methyltransferase like 7A, Protein AAM-B

    ID gène

    25840

    UniProt

    Q9H8H3
Vous êtes ici:
Chat with us!