Tel:
+49 (0)241 95 163 153
Fax:
+49 (0)241 95 163 155
E-Mail:
orders@anticorps-enligne.fr

FHL2 anticorps

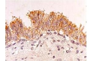
L’anticorps anti-FHL2 Monoclonal Souris est utilisé pour la détection de FHL2 dans des échantillons de Humain et Souris. Il a été validé pour WB, IP et IHC (p).
N° du produit ABIN487469
1.004,01 €
Plus frais de livraison 40,00 € et TVA
0.1 mg
Destination: France
Envoi sous 17 jours ouvrables

Aperçu rapide pour FHL2 anticorps (ABIN487469)

Antigène

Voir toutes FHL2 Anticorps
FHL2 (Four and A Half LIM Domains 2 (FHL2))

Reactivité

  • 58
  • 41
  • 28
  • 5
  • 4
  • 3
  • 3
  • 3
  • 2
  • 2
  • 1
  • 1
  • 1
Humain, Souris

Hôte

  • 49
  • 8
  • 2
Souris

Clonalité

  • 33
  • 25
Monoclonal

Conjugué

  • 32
  • 4
  • 3
  • 3
  • 3
  • 3
  • 3
  • 3
  • 2
  • 1
  • 1
  • 1
Cet anticorp FHL2 est non-conjugé

Application

  • 39
  • 17
  • 15
  • 14
  • 13
  • 12
  • 7
  • 3
  • 1
  • 1
  • 1
  • 1
  • 1
Western Blotting (WB), Immunoprecipitation (IP), Immunohistochemistry (Paraffin-embedded Sections) (IHC (p))

Clone

31-10-34
  • Specificité

    This antibody reacts with Mouse FHL2.

    Réactivité croisée (Details)

    Species reactivity (tested):Human and Mouse.

    Attributs du produit

    Synonyms: FHL-2, SLIM 3, DRAL, Four and a half LIM domains protein 2, Skeletal muscle LIM-protein 3,LIM domain protein DRAL

    Purification

    Protein-A Sepharose Chromatography.

    Immunogène

    His-FHL2. Remarks: Hybridoma was established by fusion of Mouse myeloma cell SP2/0-Ag4 withBalb/c mouse splenocyte.

    Isotype

    IgG2a
  • Indications d'application

    Western blot: 1-5 μg/mLPositive Control: C2C12Immunoprecipitation: 3 μg/200-300 μL of cell extract. Positive Control: C2C12Immunohistochemistry: 1-5 μg/mLHeat treatment is necessary for Paraffin Embedded Sections. Autoclave, 10 minutes in citrate buffer ( pH 6.5) at 110 °C

    Protocole

    SDS-PAGE and Western Blotting1) Wash the cells 3 times with PBS and suspend with 10 volumes of cold Lysis buffer (50mM Tris-HCl, pH 7. 2, 250 mM NaCl, 0. 1% NP-40, 2 mM EDTA, 10% glycerol) containingappropriate protease inhibitors. Incubate it at 4°C with rotating for 30 minutes, thensonicate briefly (up to 10 seconds). 2) Centrifuge the tube at 12,000 x g for 10 minutes at 4°C and transfer the supernatant toanother tube. Measure the protein concentration of the supernatant and add the Lysisbuffer to make an 8 mg/mL solution. 3) Mix the sample with an equal volume of Laemmli's sample buffer. 4) Boil the samples for 2 minutes and centrifuge. Load 10 µL of the sample per lane in a 1mm thick SDS-polyacrylamide gel for electrophoresis. 5) Blot the protein to a polyvinylidene difluoride (PVDF) membrane at 1 mA/cm2 for 1 hourin a semi-dry transfer system. (Transfer Buffer: 25 mM Tris, 190 mM glycine, 20% MeOH). See the manufacture's manual for specific transfer procedure. 6) To reduce nonspecific binding, soak the membrane in 10% skimmed milk (in PBS, pH7. 2) for 1 hour at RT or overnight at 4°C. 7) Incubate the membrane with the anti-FHL2 (11-134) monoclonal antibody (1-5 µg/mL)diluted with 1% skimmed milk (in PBS, pH 7. 2) for 1 hour at RT. 8) Wash the membrane with PBS (5 minutes x 6 times). 9) Incubate the membrane with the 1: 10000 POD-conjugated anti-mouse IgG diluted with1% skimmed milk (in PBS, pH 7. 2) for 1 hour at RT. 10) Wash the membrane with PBS (5 minutes x 6 times). 11) Wipe excess buffer from the membrane, then incubate it with appropriatechemiluminescence reagents for 1 minute. Remove extra reagent from the membrane bydabbing with a paper towel, and seal it in plastic wrap. 12) Expose to X-ray film in a dark room for 5 minutes. Develop the film as usual. Theconditions for exposure and development may vary. Positive Controls for Western blotting: C2C12Immunoprecipitation1) Wash the cells 3 times with PBS and suspend with 10 volumes of cold Lysis buffer (50mM Tris-HCl, pH 7. 2, 250 mM NaCl, 0. 1% NP-40, 2 mM EDTA, 10% glycerol) containingappropriate protease inhibitors. Incubate it at 4°C with rotating for 30 minutes, then

    Restrictions

    For Research Use only
  • Concentration

    1.0 mg/mL

    Buffer

    PBS, pH 7.2 containing 50 % Glycerol without preservatives.

    Agent conservateur

    Without preservative

    Stock

    -20 °C

    Stockage commentaire

    Store the antibody undiluted at -20 °C.
    Shelf life: one year from despatch.

    Date de péremption

    12 months
  • Antigène

    FHL2 (Four and A Half LIM Domains 2 (FHL2))

    Autre désignation

    FHL2 / SLIM3

    Sujet

    Proteins containing LIM domains (which are double zinc finger motifs implicated in protein binding) are important regulators of cell growth, cell differentiation, and remodeling of the cell cytoskeleton. Human Four-and-a-half LIM-only protein 2 (FHL2), also known as DRAL/Slim3 is a 32 kDa protein expressed predominantly in human heart and to a lesser extent in skeletal muscle, testis, and prostate epithelium. Since FHL2 is abundant in heart tissue, it may play a role in the regulation of myofibrillogenesis of heart via LIM-domain binding to focal adhesions. FHL2 has also been identified as a co-activator of the androgen receptor where it promotes androgen receptor transcriptional activity. Stimulation of the Rho signaling pathway induces translocation of FHL2 to the nucleus and subsequent activation of FHL2- and androgen receptor-dependent genes. FHL2 also acts as a trancriptional repressor in muscle cells and is involved in modulation of beta-catenin-dependent transcription of Wnt-responsive genes.Synonyms: DRAL, FHL-2, Four and a half LIM domains protein 2, LIM domain protein DRAL, SLIM 3, Skeletal muscle LIM-protein 3

    ID gène

    2274

    UniProt

    Q14192

    Pathways

    Intracellular Steroid Hormone Receptor Signaling Pathway, Regulation of Lipid Metabolism by PPARalpha
Vous êtes ici:
Chat with us!