Tel:
+49 (0)241 95 163 153
Fax:
+49 (0)241 95 163 155
E-Mail:
orders@anticorps-enligne.fr

MPI anticorps (AA 2-99)

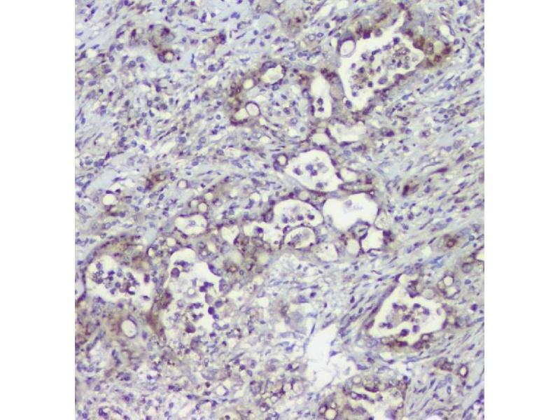
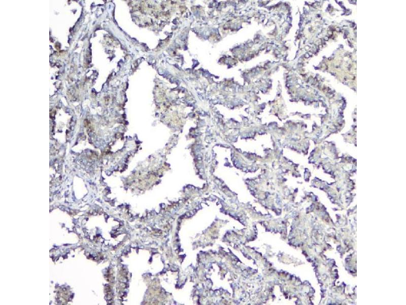
L’anticorps anti-MPI Polyclonal Lapin est utilisé pour la détection de MPI dans des échantillons de Humain, Rat et Souris. Il a été validé pour WB, IHC et FACS.
N° du produit ABIN4886672
500,50 €
Plus frais de livraison 40,00 € et TVA
100 μg
Destination: France
Envoi sous 8 à 12 jours ouvrables

Aperçu rapide pour MPI anticorps (AA 2-99) (ABIN4886672)

Antigène

Voir toutes MPI Anticorps
MPI (Mannose Phosphate Isomerase (MPI))

Reactivité

  • 46
  • 8
  • 6
  • 5
  • 4
  • 1
Humain, Rat, Souris

Hôte

  • 45
  • 12
Lapin

Clonalité

  • 47
  • 10
Polyclonal

Conjugué

  • 38
  • 6
  • 5
  • 3
  • 2
  • 2
  • 1
Cet anticorp MPI est non-conjugé

Application

  • 40
  • 28
  • 12
  • 12
  • 7
  • 7
  • 5
  • 4
  • 4
  • 4
  • 3
  • 2
  • 2
Western Blotting (WB), Immunohistochemistry (IHC), Flow Cytometry (FACS)
  • Épitope

    • 7
    • 6
    • 5
    • 4
    • 4
    • 2
    • 2
    • 2
    • 1
    • 1
    • 1
    • 1
    • 1
    • 1
    • 1
    • 1
    • 1
    AA 2-99

    Fonction

    Anti-Mannose Phosphate Isomerase/MPI Antibody

    Réactivité croisée (Details)

    No cross-reactivity with other proteins.

    Attributs du produit

    Anti-Mannose Phosphate Isomerase/MPI Antibody (ABIN4886672). Tested in Flow Cytometry, IHC, WB applications. This antibody reacts with Human, Mouse, Rat. This is a premium antibody that guarantees superior quality, high affinity, and strong signals with minimal background in Western blot applications.

    Purification

    Immunogen affinity purified.

    Immunogène

    E. coli-derived human MPI recombinant protein (Position: A2-K99). Human MPI shares 88.8% and 86.7% amino acid (aa) sequence identity with mouse and rat MPI, respectively.

    Isotype

    IgG
  • Indications d'application

    Western blot, 0.1-0.5 μg/mL, Human, Mouse, Rat
    Immunohistochemistry (Paraffin-embedded Section), 0.5-1 μg/mL, Human
    Flow Cytometry (Fixed), 1-3 μg/1x106 cells, Human

    Commentaires

    Antibody can be supported by chemiluminescence kit ABIN921124 in WB.

    Restrictions

    For Research Use only
  • Format

    Lyophilized

    Reconstitution

    Add 0.2 mL of distilled water will yield a concentration of 500 μg/mL.

    Concentration

    500 μg/mL

    Buffer

    Each vial contains 4 mg Trehalose, 0.9 mg NaCl, 0.2 mg Na2HPO4, 0.05 mg Sodium azide.

    Agent conservateur

    Sodium azide

    Précaution d'utilisation

    This product contains Sodium azide: a POISONOUS AND HAZARDOUS SUBSTANCE which should be handled by trained staff only.

    Conseil sur la manipulation

    Avoid repeated freezing and thawing.

    Stock

    4 °C,-20 °C

    Stockage commentaire

    Store at -20°C for one year from date of receipt. After reconstitution, at 4°C for one month.
    It can also be aliquotted and stored frozen at -20°C for six months. Avoid repeated freeze-thaw cycles.
  • Antigène

    MPI (Mannose Phosphate Isomerase (MPI))

    Autre désignation

    MPI

    Sujet

    Synonyms: Mannose-6-phosphate isomerase,5.3.1.8,Phosphohexomutase,Phosphomannose isomerase,PMI,MPI,PMI1,

    Tissue Specificity: Expressed in all tissues, but more abundant in heart, brain and skeletal muscle.

    Background: Mannose-6 phosphate isomerase (MPI), alternately phosphomannose isomerase (PMI), is an enzyme which facilitates the interconversion of fructose 6-phosphate (F6P) and mannose-6-phosphate (M6P). It also plays a critical role in maintaining the supply of D-mannose derivatives, which are required for most glycosylation reactions. Mutations in the MPI gene were found in patients with carbohydrate-deficient glycoprotein syndrome, type Ib. Alternative splicing results in multiple transcript variants. This MPI gene is mapped to 15q24.1.

    Poids moléculaire

    47 kDa

    ID gène

    4351

    UniProt

    P34949
Vous êtes ici:
Chat with us!