Tel:
+49 (0)241 95 163 153
Fax:
+49 (0)241 95 163 155
E-Mail:
orders@anticorps-enligne.fr

Vip anticorps (Middle Region)

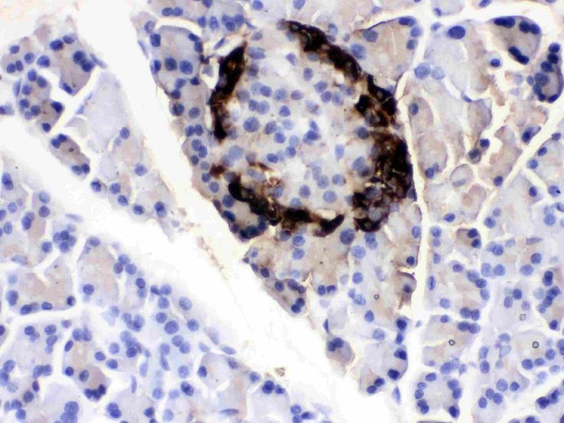
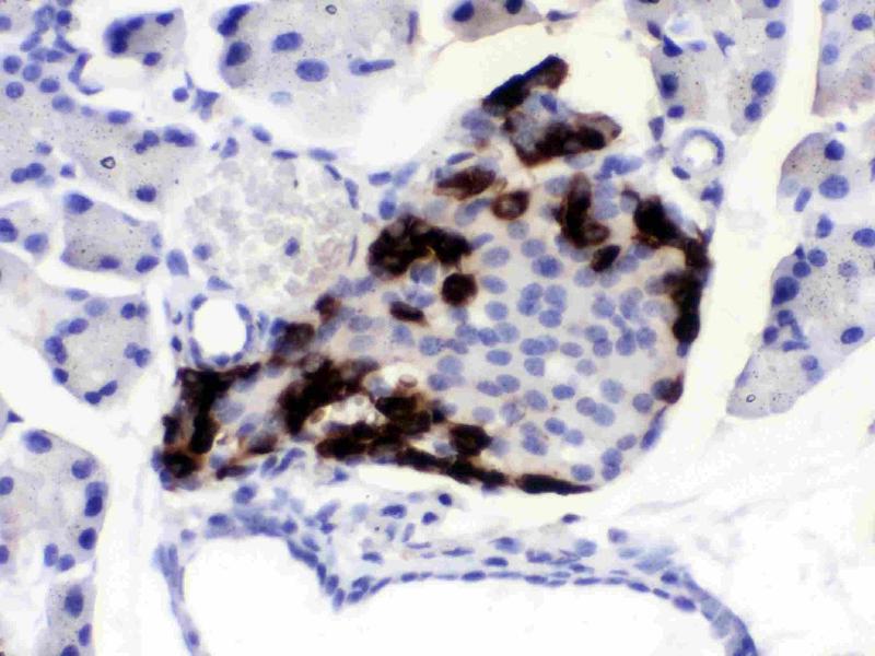
Cité dans 1 publication. Cet anticorps anti-Vip Polyclonal Lapin (ABIN4886760) détecte spécifiquement Vip dans IHC et IF. L’anticorps est réactif avec des échantillons de Humain, Rat et Souris.
N° du produit ABIN4886760
500,50 €
Plus frais de livraison 40,00 € et TVA
100 μg
Destination: France
Envoi sous 8 à 12 jours ouvrables

Aperçu rapide pour Vip anticorps (Middle Region) (ABIN4886760)

Antigène

Voir toutes Vip Anticorps
Vip (Vasoactive Intestinal Peptide (Vip))

Reactivité

  • 60
  • 31
  • 10
  • 9
  • 6
  • 5
  • 2
  • 2
  • 2
  • 2
  • 1
  • 1
  • 1
  • 1
Humain, Rat, Souris

Hôte

  • 52
  • 15
  • 2
Lapin

Clonalité

  • 54
  • 15
Polyclonal

Conjugué

  • 45
  • 1
  • 1
  • 1
  • 1
  • 1
  • 1
  • 1
  • 1
  • 1
  • 1
  • 1
  • 1
  • 1
  • 1
  • 1
  • 1
  • 1
  • 1
  • 1
  • 1
  • 1
  • 1
  • 1
  • 1
Cet anticorp Vip est non-conjugé

Application

  • 33
  • 28
  • 19
  • 16
  • 13
  • 13
  • 9
  • 9
  • 6
  • 5
  • 3
  • 2
  • 2
  • 1
Immunohistochemistry (IHC), Immunofluorescence (IF)
  • Épitope

    • 16
    • 6
    • 6
    • 4
    • 2
    • 2
    • 2
    • 2
    • 1
    • 1
    • 1
    • 1
    • 1
    • 1
    • 1
    AA 81-107, Middle Region

    Fonction

    Anti-VIP peptides VIP Antibody

    Séquence

    HADGVFTSDF SKLLGQLSAK KYLESLM

    Réactivité croisée (Details)

    No cross-reactivity with other proteins

    Attributs du produit

    Anti-VIP peptides VIP Antibody (ABIN4886760). Tested in IF, IHC applications. This antibody reacts with Human, Mouse, Rat.

    Purification

    Immunogen affinity purified.

    Immunogène

    A synthetic peptide corresponding to a sequence in the middle region of human VIP, different from the related mouse and rat sequences by four amino acids.

    Isotype

    IgG
  • Indications d'application

    Immunohistochemistry (Paraffin-embedded Section), 0.5-1 μg/mL, Human, Mouse, Rat
    Immunofluorescence, 5 μg/mL, Rat

    Commentaires

    Antibody can be supported by ABIN921231 in IHC(P).

    Restrictions

    For Research Use only
  • Format

    Lyophilized

    Reconstitution

    Add 0.2 mL of distilled water will yield a concentration of 500 μg/mL.

    Concentration

    500 μg/mL

    Buffer

    Each vial contains 5 mg BSA, 0.9 mg NaCl, 0.2 mg Na2HPO4, 0.05 mg Sodium azide.

    Agent conservateur

    Sodium azide

    Précaution d'utilisation

    This product contains Sodium azide: a POISONOUS AND HAZARDOUS SUBSTANCE which should be handled by trained staff only.

    Conseil sur la manipulation

    Avoid repeated freezing and thawing.

    Stock

    4 °C,-20 °C

    Stockage commentaire

    Store at -20°C for one year from date of receipt. After reconstitution, at 4°C for one month.
    It can also be aliquotted and stored frozen at -20°C for six months. Avoid repeated freeze-thaw cycles.
  • Huang, Zhu, Zhang, Zhu, Liu, Zhu, Wang, Li, Yang, Dong, Liu, Chen, Zhang, Yang, Deng, Fan, Wang, Liu, Ma, Fu, Wu: "S100+ cells: a new neuro-immune cross-talkers in lymph organs." dans: Scientific reports, Vol. 3, pp. 1114, (2013) (PubMed).

  • Antigène

    Vip (Vasoactive Intestinal Peptide (Vip))

    Autre désignation

    VIP

    Sujet

    Synonyms: VIP peptides,Intestinal peptide PHV-42,Peptide histidine valine 42,Intestinal peptide PHM-27,Peptide histidine methioninamide 27,Vasoactive intestinal peptide,VIP,Vasoactive intestinal polypeptide,VIP,

    Tissue Specificity: Isoform CFL2b is expressed predominantly in skeletal muscle and heart. Isoform CFL2a is expressed in various tissues.

    Background: Vasoactive intestinal peptide, also known as PHM27 or VIP, is a peptide hormone containing 28 amino acid residues. This gene is mapped to 6q25. The protein encoded by this gene belongs to the glucagon family. It stimulates myocardial contractility, causes vasodilation, increases glycogenolysis, lowers arterial blood pressure and relaxes the smooth muscle of trachea, stomach and gall bladder. The protein also acts as an antimicrobial peptide with antibacterial and antifungal activity. Alternative splicing occurs at this locus and two transcript variants encoding distinct isoforms have been identified.

    Poids moléculaire

    26 kDa

    ID gène

    7432

    UniProt

    P01282

    Pathways

    Hormone Activity, cAMP Metabolic Process
Vous êtes ici:
Chat with us!