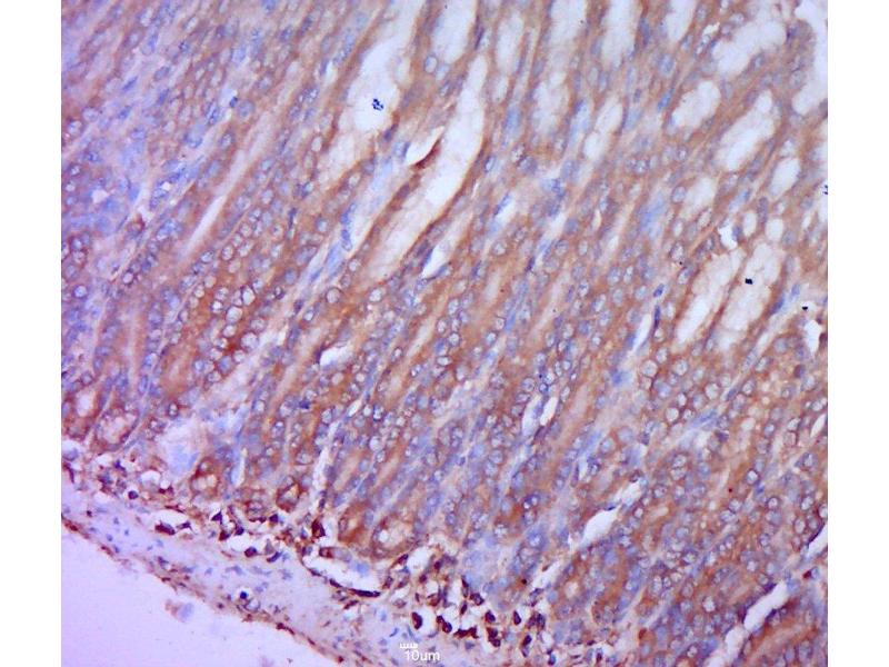
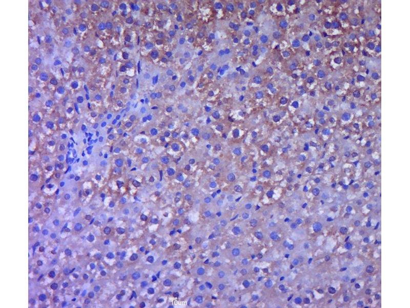
CCR2 anticorps (AA 301-373)
Aperçu rapide pour CCR2 anticorps (AA 301-373) (ABIN4907597)
Antigène
Voir toutes CCR2 AnticorpsReactivité
Hôte
Clonalité
Conjugué
Application
-
-
Épitope
- AA 301-373
-
Réactivité croisée
- Humain, Souris, Rat
-
Purification
- Purified by Protein A.
-
Immunogène
- KLH conjugated synthetic peptide derived from mouse CCR2
-
Isotype
- IgG
-
-
-
-
Indications d'application
-
WB 1:300-5000
ELISA 1:500-1000
FCM 1:20-100
IHC-P 1:200-400
IHC-F 1:100-500
IF(IHC-P) 1:50-200
IF(IHC-F) 1:50-200
IF(ICC) 1:50-200
ICC 1:100-500 -
Restrictions
- For Research Use only
-
-
-
Format
- Liquid
-
Concentration
- 1 μg/μL
-
Buffer
- 0.01M TBS( pH 7.4) with 1 % BSA, 0.02 % Proclin300 and 50 % Glycerol.
-
Agent conservateur
- ProClin
-
Précaution d'utilisation
- This product contains ProClin: a POISONOUS AND HAZARDOUS SUBSTANCE, which should be handled by trained staff only.
-
Stock
- 4 °C,-20 °C
-
Stockage commentaire
- Shipped at 4°C. Store at -20°C for one year. Avoid repeated freeze/thaw cycles.
-
Date de péremption
- 12 months
-
-
- CCR2 (Chemokine (C-C Motif) Receptor 2 (CCR2))
-
Autre désignation
- CCR2
-
Sujet
-
Synonyms: C-C chemokine receptor type 2, JE/FIC receptor, MCP-1 receptor, CD192, Cmkbr2
Background: Receptor for the CCL2, CCL7 and CCL12 chemokines. Transduces a signal by increasing intracellular calcium ion levels.
-
ID gène
- 12772
-
UniProt
- P51683
-
Pathways
- cAMP Metabolic Process, Regulation of Leukocyte Mediated Immunity, Positive Regulation of Immune Effector Process
Antigène
-