Tel:
+49 (0)241 95 163 153
Fax:
+49 (0)241 95 163 155
E-Mail:
orders@anticorps-enligne.fr

alpha 3/4-Monofucosylated Polylactosaminoglycans anticorps

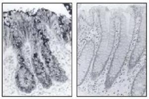
L’anticorps anti-alpha 3/4-Monofucosylated Polylactosaminoglycans Monoclonal Souris est utilisé pour la détection de alpha 3/4-Monofucosylated Polylactosaminoglycans dans des échantillons de Humain. Il a été validé pour IHC (p), EIA, IF et WB.
N° du produit ABIN492647
913,85 €
Plus frais de livraison 40,00 € et TVA
Destination: France
Envoi sous 17 jours ouvrables

Aperçu rapide pour alpha 3/4-Monofucosylated Polylactosaminoglycans anticorps (ABIN492647)

Antigène

alpha 3/4-Monofucosylated Polylactosaminoglycans

Reactivité

Humain

Hôte

  • 1
Souris

Clonalité

  • 1
Monoclonal

Conjugué

  • 1
Inconjugué

Application

Immunohistochemistry (Paraffin-embedded Sections) (IHC (p)), Enzyme Immunoassay (EIA), Immunofluorescence (IF), Western Blotting (WB)

Clone

FW6
  • Purification

    Protein G Chromatography

    Immunogène

    Purified mucus glycoproteins (Mucins) from Human amniotic fluid.

    Isotype

    IgM
  • Indications d'application

    ELISA. Western Blot (2)Immunocytochemistry (1). Immunohistochemistry on Paraffin Sections (1-3).
    Other applications not tested.
    Optimal dilutions are dependent on conditions and should be determined by the user.

    Restrictions

    For Research Use only
  • Reconstitution

    Restore in aqua bidest to 1 mg/mL

    Buffer

    PBS, pH 7.4

    Stock

    4 °C/-20 °C

    Stockage commentaire

    Store lyophilized at 2-8 °C and reconstituted at -20 °C. Avoid repeated freezing and thawing.
    Shelf life: One year from despatch.

    Date de péremption

    12 months
  • Antigène

    alpha 3/4-Monofucosylated Polylactosaminoglycans
Vous êtes ici:
Chat with us!