Tel:
+49 (0)241 95 163 153
Fax:
+49 (0)241 95 163 155
E-Mail:
orders@anticorps-enligne.fr

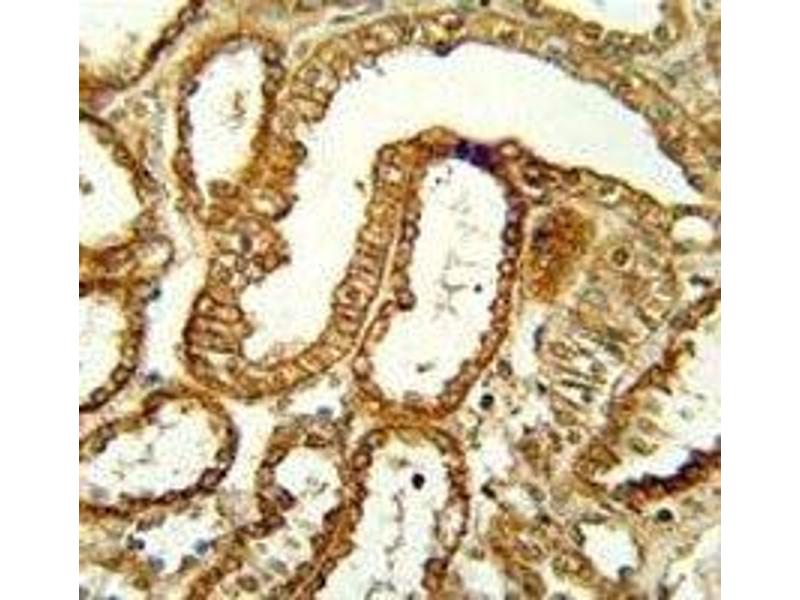
CCR1 anticorps (AA 1-30)

Cet anticorps anti-CCR1 Polyclonal Lapin (ABIN3030216) détecte spécifiquement CCR1 dans WB, ELISA, FACS et IHC. L’anticorps est réactif avec des échantillons de Humain.
N° du produit ABIN3030216
631,13 €
Plus frais de livraison 40,00 € et TVA
Destination: France
Envoi sous 6 à 9 jours ouvrables

Aperçu rapide pour CCR1 anticorps (AA 1-30) (ABIN3030216)

Antigène

Voir toutes CCR1 Anticorps
CCR1 (Chemokine (C-C Motif) Receptor 1 (CCR1))

Reactivité

  • 60
  • 17
  • 3
Humain

Hôte

  • 42
  • 17
  • 6
  • 4
  • 2
Lapin

Clonalité

  • 44
  • 23
  • 2
Polyclonal

Conjugué

  • 39
  • 6
  • 5
  • 5
  • 4
  • 2
  • 2
  • 1
  • 1
  • 1
  • 1
  • 1
  • 1
Cet anticorp CCR1 est non-conjugé

Application

  • 37
  • 28
  • 23
  • 16
  • 8
  • 5
  • 3
  • 3
  • 2
  • 1
  • 1
  • 1
Western Blotting (WB), ELISA, Flow Cytometry (FACS), Immunohistochemistry (IHC)
  • Épitope

    • 8
    • 7
    • 5
    • 5
    • 5
    • 3
    • 3
    • 2
    • 2
    • 2
    • 2
    • 2
    • 2
    • 2
    • 1
    • 1
    • 1
    • 1
    • 1
    AA 1-30

    Purification

    Antigen affinity purified

    Immunogène

    A portion of amino acids 1-30 from the human protein was used as the immunogen for this CCR1 antibody.

    Isotype

    Ig Fraction
  • Indications d'application

    Titration of the CCR1 antibody may be required due to differences in protocols and secondary/substrate sensitivity.\. Western blot: 1:1000,IHC (Paraffin): 1:50-1:100,Flow Cytometry: 1:10-1:50

    Restrictions

    For Research Use only
  • Format

    Liquid

    Buffer

    In 1X PBS, pH 7.4, with 0.09 % sodium azide

    Agent conservateur

    Sodium azide

    Précaution d'utilisation

    This product contains Sodium azide: a POISONOUS AND HAZARDOUS SUBSTANCE which should be handled by trained staff only.

    Stock

    -20 °C

    Stockage commentaire

    Aliquot the CCR1 antibody and store frozen at -20°C or colder. Avoid repeated freeze-thaw cycles.
  • Antigène

    CCR1 (Chemokine (C-C Motif) Receptor 1 (CCR1))

    Autre désignation

    CCR1

    Sujet

    CCR1 encodes a member of the beta chemokine receptor family, which is predicted to be a seven transmembrane protein similar to G protein-coupled receptors. The ligands of this receptor include macrophage inflammatory protein 1 alpha (MIP-1 alpha), regulated on activation normal T expressed and secreted protein (RANTES), monocyte chemoattractant protein 3 (MCP-3), and myeloid progenitor inhibitory factor-1 (MPIF-1). Chemokines and their receptors mediated signal transduction are critical for the recruitment of effector immune cells to the site of inflammation. Knockout studies of the mouse homolog suggested the roles of this gene in host protection from inflammatory response, and susceptibility to virus and parasite. This gene and other chemokine receptor genes, including CCR2, CCRL2, CCR3, CCR5 and CCXCR1, are found to form a gene cluster on chromosome 3p.

    UniProt

    P32246
Vous êtes ici:
Chat with us!