Tel:
+49 (0)241 95 163 153
Fax:
+49 (0)241 95 163 155
E-Mail:
orders@anticorps-enligne.fr

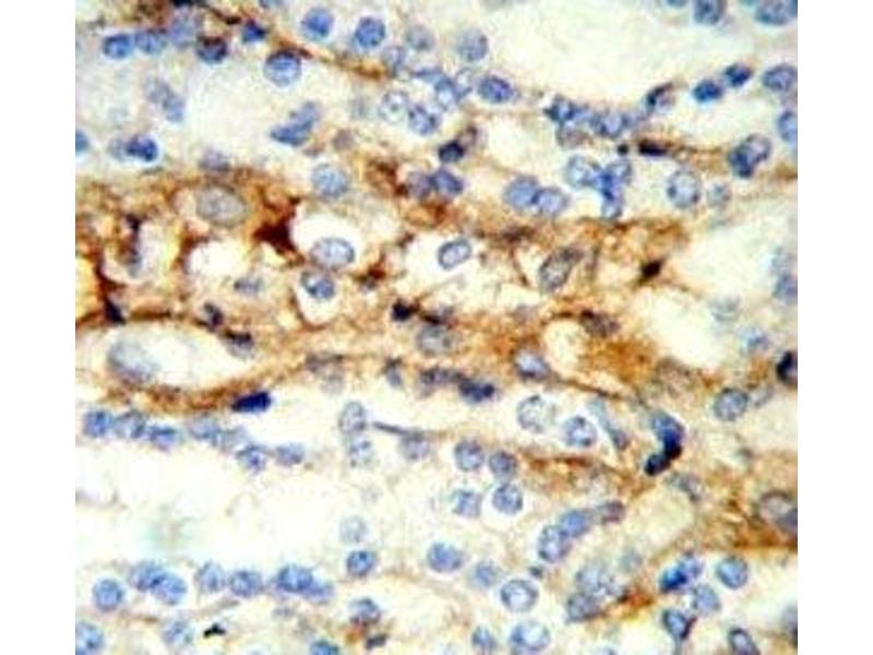
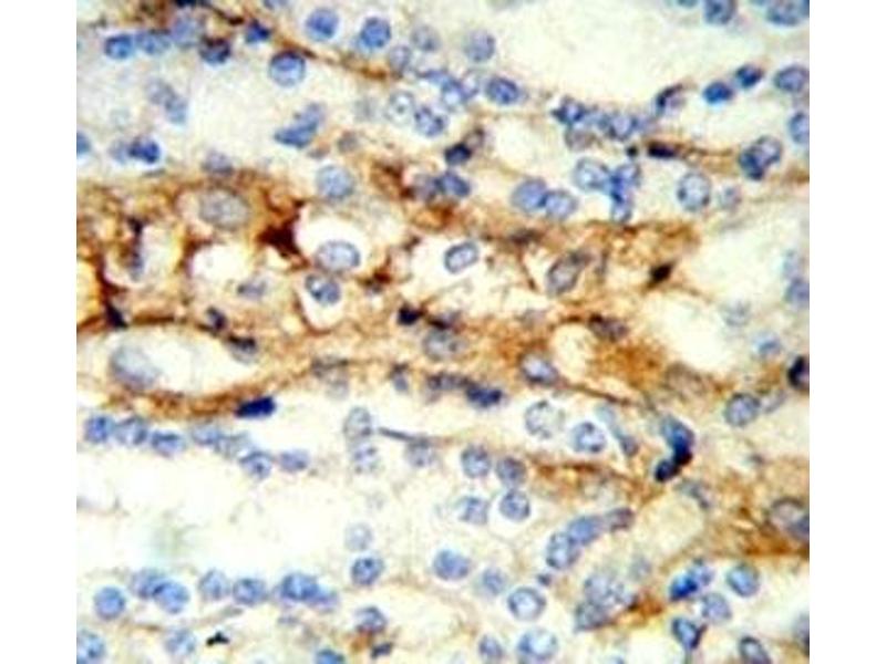
MFN2 anticorps (AA 447-476)

Cet anticorps anti-MFN2 Polyclonal Lapin (ABIN3031818) détecte spécifiquement MFN2 dans WB, IHC, ELISA et FACS. L’anticorps est réactif avec des échantillons de Humain.
N° du produit ABIN3031818
631,13 €
Plus frais de livraison 40,00 € et TVA
Destination: France
Envoi sous 6 à 9 jours ouvrables

Aperçu rapide pour MFN2 anticorps (AA 447-476) (ABIN3031818)

Antigène

Voir toutes MFN2 Anticorps
MFN2 (Mitofusin 2 (MFN2))

Reactivité

  • 80
  • 47
  • 44
  • 6
  • 4
  • 4
  • 4
  • 4
  • 3
  • 2
  • 2
  • 2
  • 2
  • 2
  • 1
  • 1
Humain

Hôte

  • 68
  • 31
  • 2
Lapin

Clonalité

  • 55
  • 46
Polyclonal

Conjugué

  • 50
  • 7
  • 6
  • 4
  • 4
  • 3
  • 2
  • 2
  • 2
  • 2
  • 2
  • 2
  • 2
  • 2
  • 2
  • 1
  • 1
  • 1
  • 1
  • 1
  • 1
  • 1
  • 1
  • 1
Cet anticorp MFN2 est non-conjugé

Application

  • 78
  • 59
  • 34
  • 32
  • 29
  • 13
  • 6
  • 6
  • 1
  • 1
  • 1
  • 1
  • 1
Western Blotting (WB), Immunohistochemistry (IHC), ELISA, Flow Cytometry (FACS)
  • Épitope

    • 24
    • 11
    • 6
    • 6
    • 6
    • 6
    • 4
    • 2
    • 2
    • 1
    • 1
    • 1
    • 1
    • 1
    • 1
    • 1
    • 1
    • 1
    • 1
    • 1
    • 1
    • 1
    AA 447-476

    Réactivité croisée (Details)

    Expected species reactivity: Mouse, Rat

    Purification

    Antigen affinity purified

    Immunogène

    A portion of amino acids 447-476 from the human protein was used as the immunogen for this MFN2 antibody.

    Isotype

    Ig Fraction
  • Indications d'application

    Titration of the MFN2 antibody may be required due to differences in protocols and secondary/substrate sensitivity.\. Western blot: 1:1000,IHC (Paraffin): 1:50-1:100,Flow Cytometry: 1:10-1:50

    Restrictions

    For Research Use only
  • Format

    Liquid

    Buffer

    In 1X PBS, pH 7.4, with 0.09 % sodium azide

    Agent conservateur

    Sodium azide

    Précaution d'utilisation

    This product contains Sodium azide: a POISONOUS AND HAZARDOUS SUBSTANCE which should be handled by trained staff only.

    Stock

    -20 °C

    Stockage commentaire

    Aliquot the MFN2 antibody and store frozen at -20°C or colder. Avoid repeated freeze-thaw cycles.
  • Antigène

    MFN2 (Mitofusin 2 (MFN2))

    Autre désignation

    MFN2

    Sujet

    MFN2 is a mitochondrial membrane protein that participates in mitochondrial fusion and contributes to the maintenance and operation of the mitochondrial network. This protein is involved in the regulation of vascular smooth muscle cell proliferation, and it may play a role in the pathophysiology of obesity. Mutations in this gene cause Charcot-Marie-Tooth disease type 2A2, and hereditary motor and sensory neuropathy VI, which are both disorders of the peripheral nervous system.

    UniProt

    O95140

    Pathways

    Skeletal Muscle Fiber Development
Vous êtes ici:
Chat with us!