Tel:
+49 (0)241 95 163 153
Fax:
+49 (0)241 95 163 155
E-Mail:
orders@anticorps-enligne.fr

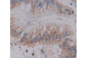
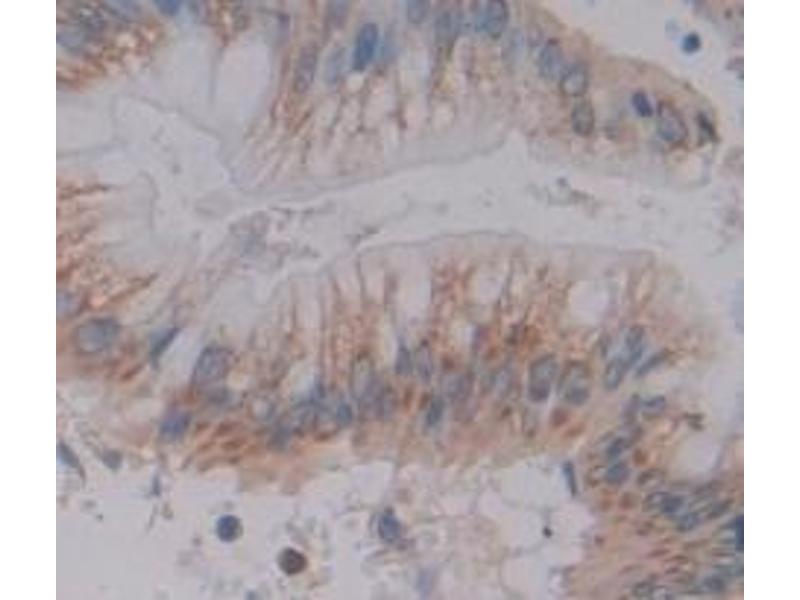
MUC3B anticorps (AA 836-931)

L’anticorps anti-MUC3B Polyclonal Lapin est utilisé pour la détection de MUC3B dans des échantillons de Humain. Il a été validé pour WB et IHC.
N° du produit ABIN5013960
269,00 €
Plus frais de livraison 40,00 € et TVA
100 μL
Destination: France
Envoi sous 13 à 17 jours ouvrables

Aperçu rapide pour MUC3B anticorps (AA 836-931) (ABIN5013960)

Antigène

MUC3B (Mucin 3B, Cell Surface Associated (MUC3B))

Reactivité

  • 21
  • 2
  • 2
  • 2
  • 1
  • 1
  • 1
  • 1
  • 1
Humain

Hôte

  • 21
Lapin

Clonalité

  • 21
Polyclonal

Conjugué

  • 16
  • 1
  • 1
  • 1
  • 1
  • 1
Cet anticorp MUC3B est non-conjugé

Application

  • 21
  • 10
  • 9
  • 2
  • 1
Western Blotting (WB), Immunohistochemistry (IHC)
  • Épitope

    • 8
    • 4
    • 3
    • 2
    • 1
    • 1
    • 1
    • 1
    • 1
    • 1
    AA 836-931

    Fonction

    Polyclonal Antibody to Mucin 3B, Cell Surface Associated (MUC3B)

    Specificité

    The antibody is a rabbit polyclonal antibody raised against MUC3B. It has been selected for its ability to recognize MUC3B in immunohistochemical staining and western blotting.

    Purification

    Antigen-specific affinity chromatography followed by Protein A affinity chromatography

    Immunogène

    RPP416Hu01Recombinant Mucin 3B, Cell Surface Associated (MUC3B)

    Isotype

    IgG
  • Indications d'application

    Western blotting: 0.01-2 μg/mL,Immunohistochemistry: 5-20 μg/mL, ,Optimal working dilutions must be determined by end user.

    Commentaires

    The thermal stability is described by the loss rate. The loss rate was determined by accelerated thermal degradation test, that is, incubate the protein at 37°C for 48h, and no obvious degradation and precipitation were observed. The loss rate is less than 5% within the expiration date under appropriate storage condition.

    Restrictions

    For Research Use only
  • Format

    Liquid

    Concentration

    0.5 mg/mL

    Buffer

    0.01M PBS, pH 7.4, containing 0.05 % Proclin-300, 50 % glycerol.

    Agent conservateur

    ProClin

    Stock

    4 °C,-20 °C

    Stockage commentaire

    Store at 4°C for frequent use. Stored at -20°C in a manual defrost freezer for two year without detectable loss of activity. Avoid repeated freeze-thaw cycles.
  • Antigène

    MUC3B (Mucin 3B, Cell Surface Associated (MUC3B))

    Autre désignation

    MUC3B

    Sujet

    Intestinal mucin-3B
Vous êtes ici:
Chat with us!