Tel:
+49 (0)241 95 163 153
Fax:
+49 (0)241 95 163 155
E-Mail:
orders@anticorps-enligne.fr

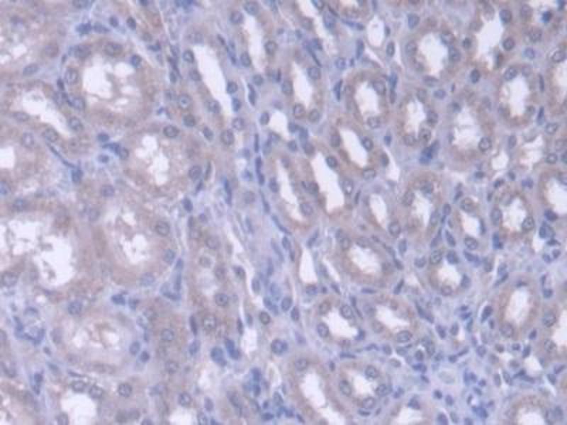
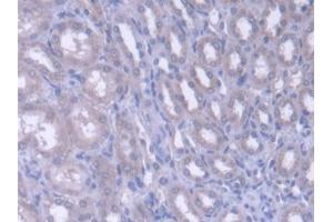
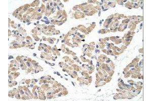
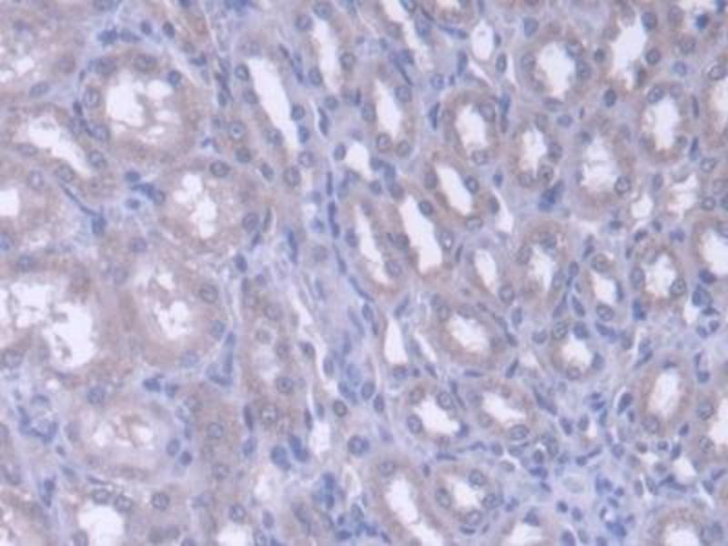
FARS2 anticorps (AA 1-472)

Cet anticorps anti-FARS2 Polyclonal Lapin (ABIN5014084) détecte spécifiquement FARS2 dans WB, IHC, ICC et IF. L’anticorps est réactif avec des échantillons de Rat.
N° du produit ABIN5014084
266,00 €
Plus frais de livraison 40,00 € et TVA
100 μL
Destination: France
Envoi sous 13 à 17 jours ouvrables

Aperçu rapide pour FARS2 anticorps (AA 1-472) (ABIN5014084)

Antigène

Voir toutes FARS2 Anticorps
FARS2 (Phenylalanine-tRNA Synthetase 2 (Mitochondrial) (FARS2))

Reactivité

  • 17
  • 7
  • 6
  • 2
  • 2
  • 1
  • 1
  • 1
  • 1
Rat

Hôte

  • 17
  • 3
Lapin

Clonalité

  • 18
  • 1
Polyclonal

Conjugué

  • 20
Cet anticorp FARS2 est non-conjugé

Application

  • 19
  • 10
  • 7
  • 5
  • 4
  • 2
  • 1
Western Blotting (WB), Immunohistochemistry (IHC), Immunocytochemistry (ICC), Immunofluorescence (IF)
  • Épitope

    • 6
    • 2
    • 1
    • 1
    • 1
    • 1
    • 1
    AA 1-472

    Fonction

    Polyclonal Antibody to Phenylalanyl tRNA Synthetase 2, Mitochondrial (FARS2)

    Specificité

    The antibody is a rabbit polyclonal antibody raised against FARS2. It has been selected for its ability to recognize FARS2 in immunohistochemical staining and western blotting.

     Réactivité croisée

    Humain

    Purification

    Antigen-specific affinity chromatography followed by Protein A affinity chromatography

    Immunogène

    Recombinant Phenylalanyl tRNA Synthetase 2, Mitochondrial (FARS2)

    Isotype

    IgG
  • Indications d'application

    Western blotting: 0.01-3 μg/mL,Immunohistochemistry: 5-20 μg/mL,Immunofluorescence:5-20 μg/mL,Optimal working dilutions must be determined by end user.

    Commentaires

    The thermal stability is described by the loss rate. The loss rate was determined by accelerated thermal degradation test, that is, incubate the protein at 37°C for 48h, and no obvious degradation and precipitation were observed. The loss rate is less than 5% within the expiration date under appropriate storage condition.

    Restrictions

    For Research Use only
  • Format

    Liquid

    Concentration

    0.5 mg/mL

    Buffer

    0.01M PBS, pH 7.4, containing 0.05 % Proclin-300, 50 % glycerol.

    Agent conservateur

    ProClin

    Stock

    4 °C,-20 °C

    Stockage commentaire

    Store at 4°C for frequent use. Stored at -20°C in a manual defrost freezer for two year without detectable loss of activity. Avoid repeated freeze-thaw cycles.

    Date de péremption

    24 months
  • Antigène

    FARS2 (Phenylalanine-tRNA Synthetase 2 (Mitochondrial) (FARS2))

    Autre désignation

    FARS2

    Sujet

    FARSL, FRS, HSPC173, PheH, PheRS, FARS1, Phenylalanine-tRNA Synthetase 1, Phenylalanine tRNA Ligase 2
Vous êtes ici:
Chat with us!