Tel:
+49 (0)241 95 163 153
Fax:
+49 (0)241 95 163 155
E-Mail:
orders@anticorps-enligne.fr

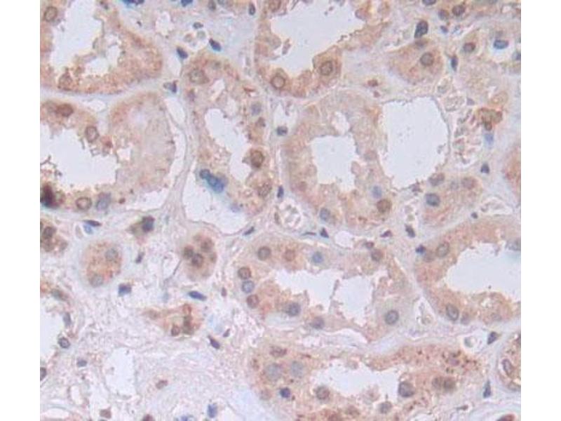
UMPS anticorps (AA 205-480)

Cet anticorps Lapin Polyclonal détecte spécifiquement UMPS dans WB, IHC, IP et ICC. Il présente une réactivité avec des échantillons de Humain.
N° du produit ABIN5014508
245,00 €
Plus frais de livraison 40,00 € et TVA
100 μL
Destination: France
Envoi sous 13 à 17 jours ouvrables

Aperçu rapide pour UMPS anticorps (AA 205-480) (ABIN5014508)

Antigène

Voir toutes UMPS Anticorps
UMPS (Uridine Monophosphate Synthetase (UMPS))

Reactivité

  • 58
  • 21
  • 15
  • 15
  • 14
  • 3
  • 2
  • 2
  • 2
  • 1
  • 1
  • 1
  • 1
Humain

Hôte

  • 56
  • 4
Lapin

Clonalité

  • 59
  • 1
Polyclonal

Conjugué

  • 29
  • 3
  • 3
  • 2
  • 2
  • 2
  • 2
  • 2
  • 2
  • 2
  • 1
  • 1
  • 1
  • 1
  • 1
  • 1
  • 1
  • 1
  • 1
  • 1
  • 1
Cet anticorp UMPS est non-conjugé

Application

  • 38
  • 13
  • 13
  • 13
  • 10
  • 8
  • 7
  • 5
  • 3
  • 3
  • 1
Western Blotting (WB), Immunohistochemistry (IHC), Immunoprecipitation (IP), Immunocytochemistry (ICC)
  • Épitope

    • 15
    • 5
    • 4
    • 3
    • 2
    • 2
    • 2
    • 1
    • 1
    • 1
    • 1
    • 1
    • 1
    AA 205-480

    Fonction

    Polyclonal Antibody to Uridine Monophosphate Synthetase (UMPS)

    Specificité

    The antibody is a rabbit polyclonal antibody raised against UMPS. It has been selected for its ability to recognize UMPS in immunohistochemical staining and western blotting.

     Réactivité croisée

    Souris, Porc, Rat

    Purification

    Antigen-specific affinity chromatography followed by Protein A affinity chromatography

    Immunogène

    RPC593Hu01Recombinant Uridine Monophosphate Synthetase (UMPS)

    Isotype

    IgG
  • Indications d'application

    Western blotting: 0.2-2 μg/mL,1:250-2500 Immunohistochemistry: 5-20 μg/mL,1:25-100 Immunocytochemistry: 5-20 μg/mL,1:25-100 Optimal working dilutions must be determined by end user.

    Commentaires

    The thermal stability is described by the loss rate. The loss rate was determined by accelerated thermal degradation test, that is, incubate the protein at 37°C for 48h, and no obvious degradation and precipitation were observed. The loss rate is less than 5% within the expiration date under appropriate storage condition.

    Restrictions

    For Research Use only
  • Format

    Liquid

    Concentration

    500 μg/mL

    Buffer

    PBS, pH 7.4, containing 0.01 % SKL, 1 mM DTT, 5 % Trehalose and Proclin300.

    Agent conservateur

    Dithiothreitol (DTT), ProClin

    Stock

    4 °C,-20 °C

    Stockage commentaire

    Store at 4°C for frequent use. Stored at -20°C in a manual defrost freezer for two year without detectable loss of activity. Avoid repeated freeze-thaw cycles.
  • Antigène

    UMPS (Uridine Monophosphate Synthetase (UMPS))

    Autre désignation

    UMPS

    Sujet

    OPRT, Orotate Phosphoribosyl Transferase, Orotidine-5'-Decarboxylase, Orotate phosphoribosyltransferase, Orotidine 5'-phosphate decarboxylase

    Pathways

    Ribonucleoside Biosynthetic Process
Vous êtes ici:
Chat with us!