Tel:
+49 (0)241 95 163 153
Fax:
+49 (0)241 95 163 155
E-Mail:
orders@anticorps-enligne.fr

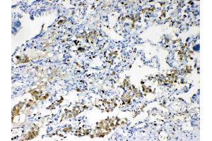
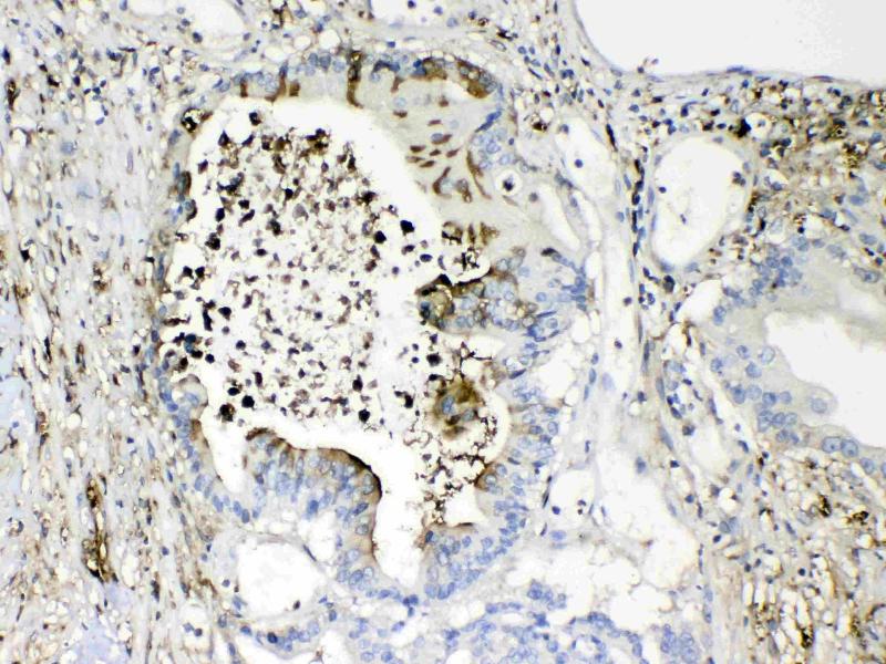
TMEM107 anticorps (N-Term)

Cet anticorps Lapin Polyclonal détecte spécifiquement TMEM107 dans WB, IHC et FACS. Il présente une réactivité avec des échantillons de Humain.
N° du produit ABIN5518881
500,50 €
Plus frais de livraison 40,00 € et TVA
100 μg
Destination: France
Envoi sous 8 à 12 jours ouvrables

Aperçu rapide pour TMEM107 anticorps (N-Term) (ABIN5518881)

Antigène

TMEM107 (Transmembrane Protein 107 (TMEM107))

Reactivité

  • 13
  • 2
  • 2
  • 2
  • 2
  • 2
  • 1
Humain

Hôte

  • 13
Lapin

Clonalité

  • 13
Polyclonal

Conjugué

  • 6
  • 1
  • 1
  • 1
  • 1
  • 1
  • 1
  • 1
Cet anticorp TMEM107 est non-conjugé

Application

  • 5
  • 3
  • 3
  • 2
Western Blotting (WB), Immunohistochemistry (IHC), Flow Cytometry (FACS)
  • Épitope

    • 2
    • 2
    • 1
    • 1
    AA 22-57, N-Term

    Fonction

    Anti-TMEM107 Antibody

    Séquence

    VITLFWSRDS NIQACLPLTF TPEEYDKQDI QLVAAL

    Réactivité croisée (Details)

    No cross-reactivity with other proteins.

    Attributs du produit

    Anti-TM Antibody (ABIN5518881). Tested in Flow Cytometry, IHC, WB applications. This antibody reacts with Human. This is a premium antibody that guarantees superior quality, high affinity, and strong signals with minimal background in Western blot applications.

    Purification

    Immunogen affinity purified.

    Immunogène

    A synthetic peptide corresponding to a sequence at the N-terminus of human TMEM107, different from the related mouse and rat sequences by four amino acids.

    Isotype

    IgG
  • Indications d'application

    Western blot, 0.1-0.5 μg/mL, Human
    Immunohistochemistry (Paraffin-embedded Section), 0.5-1 μg/mL, Human
    Flow Cytometry (Fixed), 1-3 μg/1x106 cells, Human

    Commentaires

    Antibody can be supported by chemiluminescence kit ABIN921124 in WB, supported by ABIN921231 in IHC(P).

    Restrictions

    For Research Use only
  • Format

    Lyophilized

    Reconstitution

    Add 0.2 mL of distilled water will yield a concentration of 500 μg/mL.

    Concentration

    500 μg/mL

    Buffer

    Each vial contains 5 mg BSA, 0.9 mg NaCl, 0.2 mg Na2HPO4, 0.05 mg Sodium azide.

    Agent conservateur

    Sodium azide

    Précaution d'utilisation

    This product contains Sodium azide: a POISONOUS AND HAZARDOUS SUBSTANCE which should be handled by trained staff only.

    Stock

    4 °C,-20 °C

    Stockage commentaire

    Store at -20°C for one year from date of receipt. After reconstitution, at 4°C for one month.
    It can also be aliquotted and stored frozen at -20°C for six months. Avoid repeated freeze-thaw cycles.
  • Antigène

    TMEM107 (Transmembrane Protein 107 (TMEM107))

    Autre désignation

    TMEM107

    Sujet

    Synonyms: Transmembrane protein 107,TMEM107,DC20, UNQ638/PRO1268,

    Tissue Specificity: Ubiquitous. .

    Background: Cilia are dynamic signaling organelles essential for developmental patterning, including left-right specification, skeletal formation, neural development, and organogenesis. TMEM107 is predicted to be critical for cilia formation and signaling in a subset of embryonic tissues. Based on an alignment of theTMEM107 sequence with the genomic sequence (GRCh38), the TMEM107 gene was mapped to chromosome 17p13.1.

    Poids moléculaire

    22 kDa

    ID gène

    84314
Vous êtes ici:
Chat with us!