Tel:
+49 (0)241 95 163 153
Fax:
+49 (0)241 95 163 155
E-Mail:
orders@anticorps-enligne.fr

COPE anticorps (AA 80-308)

Cet anticorps Lapin Polyclonal détecte spécifiquement COPE dans WB, IHC, IF, ICC, FACS, IHC (fro) et IP. Il présente une réactivité avec des échantillons de Humain, Souris et Rat.
N° du produit ABIN5518902
500,50 €
Plus frais de livraison 40,00 € et TVA
100 μg
Destination: France
Envoi sous 8 à 12 jours ouvrables

Aperçu rapide pour COPE anticorps (AA 80-308) (ABIN5518902)

Antigène

Voir toutes COPE Anticorps
COPE (Coatomer Protein Complex, Subunit epsilon (COPE))

Reactivité

  • 26
  • 4
  • 3
  • 1
Humain, Souris, Rat

Hôte

  • 25
  • 3
Lapin

Clonalité

  • 26
  • 1
Polyclonal

Conjugué

  • 19
  • 3
  • 2
  • 2
  • 1
  • 1
Cet anticorp COPE est non-conjugé

Application

  • 22
  • 16
  • 16
  • 12
  • 6
  • 3
  • 1
  • 1
Western Blotting (WB), Immunohistochemistry (IHC), Immunofluorescence (IF), Immunocytochemistry (ICC), Flow Cytometry (FACS), Immunohistochemistry (Frozen Sections) (IHC (fro)), Immunoprecipitation (IP)
  • Épitope

    • 8
    • 5
    • 3
    • 2
    • 2
    • 1
    • 1
    • 1
    • 1
    • 1
    AA 80-308

    Fonction

    Anti-COPE Antibody

    Réactivité croisée (Details)

    No cross-reactivity with other proteins.

    Attributs du produit

    Anti-COPE Antibody (ABIN5518902). Tested in Flow Cytometry, IF, IHC, IHC-F, ICC, WB applications. This antibody reacts with Human, Mouse, Rat. This is a premium antibody that guarantees superior quality, high affinity, and strong signals with minimal background in Western blot applications.

    Purification

    Immunogen affinity purified.

    Immunogène

    E. coli-derived human COPE recombinant protein (Position: E80-A308). Human COPE shares 89.5% amino acid (aa) sequence identity with mouse COPE.

    Isotype

    IgG
  • Indications d'application

    Western blot, 0.1-0.5 μg/mL, Human, Mouse, Rat
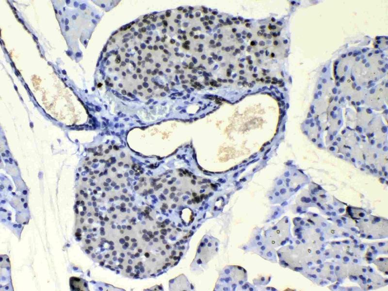
    Immunohistochemistry (Paraffin-embedded Section), 0.5-1 μg/mL, Human, Mouse, Rat
    Immunohistochemistry (Frozen Section), 0.5-1 μg/mL, Human
    Immunocytochemistry/Immunofluorescence, 2 μg/mL, Human
    Immunoprecipitation, 0.5-2 μg/mL, Human
    Flow Cytometry (Fixed), 1-3 μg/1x106 cells, Human

    Commentaires

    We recommend Enhanced Chemiluminescent Kit with anti-Rabbit IgG (ABIN921124) for Western blot, and HRP Conjugated anti-Rabbit IgG Super Vision Assay Kit (SV0002-1) for IHC(P).

    Restrictions

    For Research Use only
  • Format

    Lyophilized

    Reconstitution

    Add 0.2 mL of distilled water will yield a concentration of 500 μg/mL.

    Concentration

    500 μg/mL

    Buffer

    Each vial contains 4 mg Trehalose, 0.9 mg NaCl, 0.2 mg Na2HPO4, 0.05 mg Sodium azide.

    Agent conservateur

    Sodium azide

    Précaution d'utilisation

    This product contains Sodium azide: a POISONOUS AND HAZARDOUS SUBSTANCE which should be handled by trained staff only.

    Stock

    4 °C,-20 °C

    Stockage commentaire

    Store at -20°C for one year from date of receipt. After reconstitution, at 4°C for one month.
    It can also be aliquotted and stored frozen at -20°C for six months. Avoid repeated freeze-thaw cycles.
  • Antigène

    COPE (Coatomer Protein Complex, Subunit epsilon (COPE))

    Autre désignation

    COPE

    Sujet

    Synonyms: Coatomer subunit epsilon,Epsilon-coat protein,Epsilon-COP,COPE,

    Tissue Specificity: Expressed in the poorly differentiated crypt cells of the small intestine as well as in the mature villous cells. Expressed at very low levels in the colon.

    Background: Coatomer subunit epsilon is a protein that in humans is encoded by the COPE gene. The product of this gene is an epsilon subunit of coatomer protein complex. Coatomer is a cytosolic protein complex that binds to dilysine motifs and reversibly associates with Golgi non-clathrin-coated vesicles. It is required for budding from Golgi membranes, and is essential for the retrograde Golgi-to-ER transport of dilysine-tagged proteins. Coatomer complex consists of at least the alpha, beta, beta', gamma, delta, epsilon and zeta subunits. Alternatively spliced transcript variants encoding different isoforms have been identified.

    Poids moléculaire

    34 kDa

    ID gène

    11316

    UniProt

    O14579
Vous êtes ici:
Chat with us!