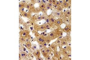
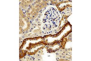
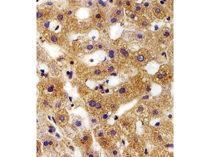
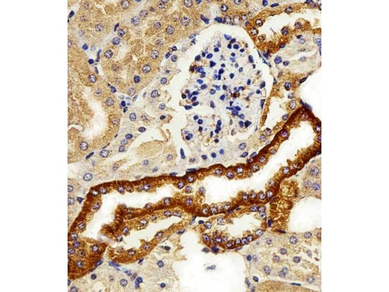
Cet anticorps anti-FXYD6 Polyclonal Lapin (ABIN5538979) détecte spécifiquement FXYD6 dans WB, IHC (p) et FACS.
L’anticorps est réactif avec des échantillons de Humain.
This antibody is purified through a protein A column, followed by peptide affinity purification.
Immunogène
This FXYD6 antibody is generated from a rabbit immunized with a KLH conjugated synthetic peptide between 81-115amino acids from the C-terminal region of human FXYD6.
FXYD6
Reactivité: Humain
WB, IF (cc), IF (p)
Hôte: Lapin
Polyclonal
AbBy Fluor® 350
Indications d'application
For IHC-P starting dilution is: 1:25
For FACS starting dilution is: 1:25
For WB starting dilution is: 1:1000
Restrictions
For Research Use only
Format
Liquid
Buffer
Supplied in PBS with 0.09 % (W/V) sodium azide.
Agent conservateur
Sodium azide
Précaution d'utilisation
This product contains Sodium azide: a POISONOUS AND HAZARDOUS SUBSTANCE which should be handled by trained staff only.
Stock
4 °C,-20 °C
Stockage commentaire
Store at 4°C for three months and -20°C, stable for up to one year. As with all antibodies care should be taken to avoid repeated freeze thaw cycles. Antibodies should not be exposed to prolonged high temperatures.
Antigène
FXYD6
(FXYD Domain Containing Ion Transport Regulator 6 (FXYD6))