Tel:
+49 (0)241 95 163 153
Fax:
+49 (0)241 95 163 155
E-Mail:
orders@anticorps-enligne.fr

SNX8 anticorps (C-Term)

Cet anticorps Chèvre Polyclonal détecte spécifiquement SNX8 dans ELISA et IHC. Il présente une réactivité avec des échantillons de Humain.
N° du produit ABIN5539589
488,25 €
Plus frais de livraison 40,00 € et TVA
100 μg
Destination: France
Envoi sous 5 à 8 jours ouvrables

Aperçu rapide pour SNX8 anticorps (C-Term) (ABIN5539589)

Antigène

Voir toutes SNX8 Anticorps
SNX8 (Sorting Nexin 8 (SNX8))

Reactivité

  • 30
  • 12
  • 2
  • 1
Humain

Hôte

  • 23
  • 7
Chèvre

Clonalité

  • 24
  • 6
Polyclonal

Conjugué

  • 18
  • 2
  • 1
  • 1
  • 1
  • 1
  • 1
  • 1
  • 1
  • 1
  • 1
  • 1
Cet anticorp SNX8 est non-conjugé

Application

  • 21
  • 12
  • 5
  • 4
  • 3
  • 1
ELISA, Immunohistochemistry (IHC)

Classe de qualité

Verified
  • Épitope

    • 8
    • 3
    • 2
    • 1
    • 1
    • 1
    • 1
    • 1
    C-Term

    Fonction

    SNX8

    Séquence

    TPPCSPPEDG LCPH

     Réactivité croisée

    Humain

    Purification

    Purified from goat serum by ammonium sulphate precipitation followed by antigen affinity chromatography using the immunizing peptide.

    Isotype

    IgG
  • Indications d'application

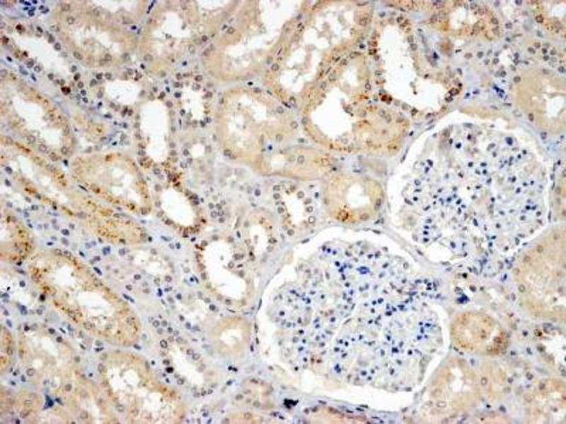
    Immunohistochemistry: In paraffin embedded Human Kidney shows vesicular staining in the cytoplasm of preferentially DCT epithelial cells. Recommended concentration, 4-8 μg/mL.

    Peptide ELISA: antibody detection limit dilution 1:8000.

    Restrictions

    For Research Use only
  • Format

    Liquid

    Concentration

    0.5 mg/mL

    Buffer

    Supplied at 0.5 mg/mL in Tris saline, 0.02 % sodium azide, pH 7.3 with 0.5 % bovine serum albumin.

    Agent conservateur

    Sodium azide

    Précaution d'utilisation

    This product contains Sodium azide: a POISONOUS AND HAZARDOUS SUBSTANCE which should be handled by trained staff only.

    Conseil sur la manipulation

    Minimize freezing and thawing.

    Stock

    -20 °C

    Stockage commentaire

    Aliquot and store at -20°C, with minimal freeze/thawing. A working aliquot may be refrigerated at 4°C for a few weeks and still remain viable.
  • Antigène

    SNX8 (Sorting Nexin 8 (SNX8))

    Autre désignation

    SNX8

    Sujet

    SNX8, sorting nexin 8, Mvp1

    ID gène

    29886

    NCBI Accession

    NP_037453
Vous êtes ici:
Chat with us!