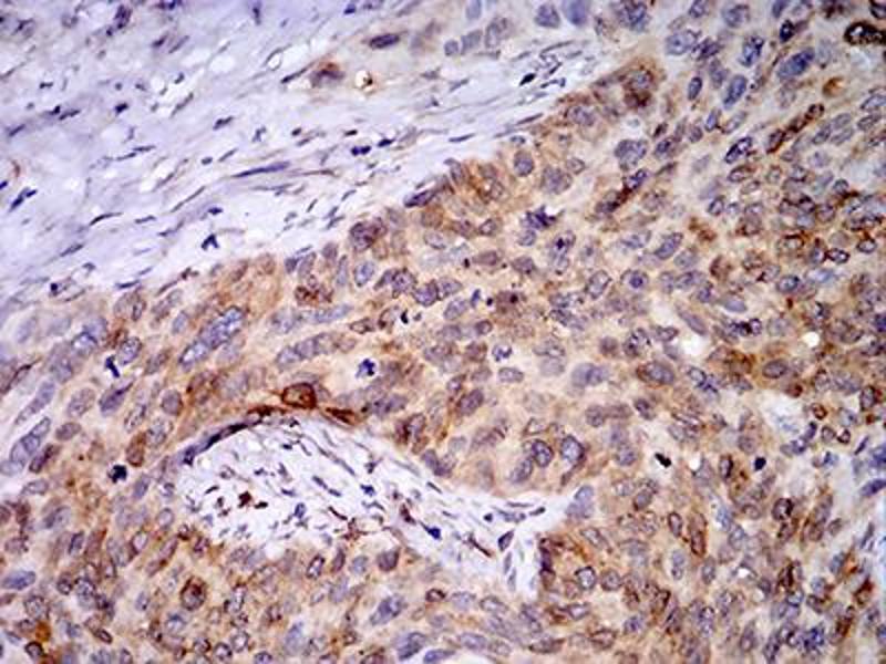
PGRMC1 anticorps (AA 1-195)
Aperçu rapide pour PGRMC1 anticorps (AA 1-195) (ABIN5542351)
Antigène
Voir toutes PGRMC1 AnticorpsReactivité
Hôte
Clonalité
Conjugué
Application
Clone
-
-
Épitope
- AA 1-195
-
Fonction
- PGRMC1 Antibody
-
Purification
- Purified antibody
-
Immunogène
- Purified recombinant fragment of human PGRMC1 (AA: 1-195) expressed in E. Coli.
-
Isotype
- IgG1
-
-
-
-
Indications d'application
-
ELISA: 1/10000
FCM: 1/200 - 1/400
ICC: 1/200 - 1/1000
-
Restrictions
- For Research Use only
-
-
-
Format
- Liquid
-
Buffer
- Purified antibody in PBS with 0.05 % sodium azide.
-
Agent conservateur
- Sodium azide
-
Précaution d'utilisation
- This product contains Sodium azide: a POISONOUS AND HAZARDOUS SUBSTANCE which should be handled by trained staff only.
-
Stock
- 4 °C,-20 °C
-
Stockage commentaire
- Store at 4°C short term. Aliquot and store at -20°C long term. Avoid freeze/thaw cycles.
-
-
- PGRMC1 (Progesterone Receptor Membrane Component 1 (PGRMC1))
-
Autre désignation
- PGRMC1
-
Sujet
-
This gene encodes a putative membrane-associated progesterone steroid receptor. The protein is expressed predominantly in the liver and kidney.
-
Poids moléculaire
- 21.7 kDa
-
UniProt
- O00264
Antigène
-