Tel:
+49 (0)241 95 163 153
Fax:
+49 (0)241 95 163 155
E-Mail:
orders@anticorps-enligne.fr

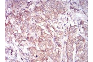
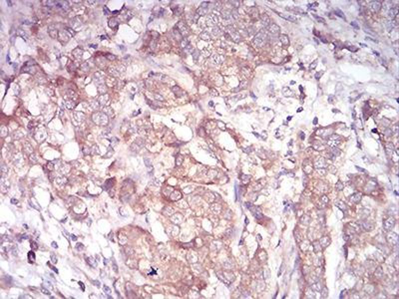
ARF1 anticorps (AA 76-182)

Cet anticorps Souris Monoclonal détecte spécifiquement ARF1 dans IHC, ELISA, ICC et FACS. Il présente une réactivité avec des échantillons de Humain.
N° du produit ABIN5542481
657,84 €
Plus frais de livraison 40,00 € et TVA
100 μL
Destination: France
Envoi sous 7 à 10 jours ouvrables

Aperçu rapide pour ARF1 anticorps (AA 76-182) (ABIN5542481)

Antigène

Voir toutes ARF1 Anticorps
ARF1 (ADP-Ribosylation Factor 1 (ARF1))

Reactivité

  • 98
  • 72
  • 61
  • 4
  • 4
  • 3
  • 3
  • 3
  • 3
  • 3
  • 3
  • 2
  • 2
  • 2
  • 2
  • 2
  • 1
  • 1
  • 1
  • 1
  • 1
  • 1
  • 1
  • 1
  • 1
  • 1
  • 1
  • 1
Humain

Hôte

  • 81
  • 32
  • 1
Souris

Clonalité

  • 60
  • 54
Monoclonal

Conjugué

  • 46
  • 9
  • 6
  • 3
  • 3
  • 3
  • 3
  • 3
  • 3
  • 3
  • 2
  • 2
  • 2
  • 2
  • 2
  • 2
  • 2
  • 2
  • 2
  • 1
  • 1
  • 1
  • 1
  • 1
  • 1
  • 1
  • 1
  • 1
  • 1
  • 1
  • 1
  • 1
  • 1
Cet anticorp ARF1 est non-conjugé

Application

  • 70
  • 44
  • 35
  • 31
  • 18
  • 14
  • 13
  • 11
  • 10
  • 5
  • 5
  • 3
  • 3
  • 3
  • 2
  • 2
  • 2
  • 1
  • 1
Immunohistochemistry (IHC), ELISA, Immunocytochemistry (ICC), Flow Cytometry (FACS)

Clone

8D8E9
  • Épitope

    • 24
    • 15
    • 12
    • 10
    • 8
    • 6
    • 2
    • 1
    • 1
    • 1
    • 1
    • 1
    • 1
    • 1
    • 1
    • 1
    • 1
    • 1
    AA 76-182

    Fonction

    ARF1 Antibody

    Purification

    Purified antibody

    Immunogène

    Purified recombinant fragment of human ARF1 (AA: 76-182) expressed in E. Coli.

    Isotype

    IgG2a
  • Indications d'application

    ELISA: 1/10000

    FCM: 1/200 - 1/400

    ICC: 1/200 - 1/1000

    Restrictions

    For Research Use only
  • Format

    Liquid

    Buffer

    Purified antibody in PBS with 0.05 % sodium azide.

    Agent conservateur

    Sodium azide

    Précaution d'utilisation

    This product contains Sodium azide: a POISONOUS AND HAZARDOUS SUBSTANCE which should be handled by trained staff only.

    Stock

    4 °C,-20 °C

    Stockage commentaire

    Store at 4°C short term. Aliquot and store at -20°C long term. Avoid freeze/thaw cycles.
  • Antigène

    ARF1 (ADP-Ribosylation Factor 1 (ARF1))

    Autre désignation

    ARF1

    Sujet

    ADP-ribosylation factor 1 (ARF1) is a member of the human ARF gene family. The family members encode small guanine nucleotide-binding proteins that stimulate the ADP-ribosyltransferase activity of cholera toxin and play a role in vesicular trafficking as activators of phospholipase D. The gene products, including 6 ARF proteins and 11 ARF-like proteins, constitute a family of the RAS superfamily. The ARF proteins are categorized as class I (ARF1, ARF2 and ARF3), class II (ARF4 and ARF5) and class III (ARF6), and members of each class share a common gene organization. The ARF1 protein is localized to the Golgi apparatus and has a central role in intra-Golgi transport. Multiple alternatively spliced transcript variants encoding the same protein have been found for this gene.

    Poids moléculaire

    20.7 kDa

    ID gène

    375

    UniProt

    P84077

    Pathways

    Transition Metal Ion Homeostasis, Inositol Metabolic Process
Vous êtes ici:
Chat with us!