Tel:
+49 (0)241 95 163 153
Fax:
+49 (0)241 95 163 155
E-Mail:
orders@anticorps-enligne.fr

H2AFZ anticorps

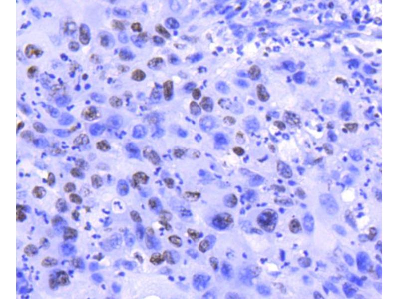
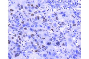
L’anticorps anti-H2AFZ Monoclonal Lapin est utilisé pour la détection de H2AFZ dans des échantillons de Humain, Souris et Rat. Il a été validé pour WB et IHC (p).
N° du produit ABIN5557486
456,42 €
Plus frais de livraison 40,00 € et TVA
100 μL
Destination: France
Envoi sous 12 à 17 jours ouvrables

Aperçu rapide pour H2AFZ anticorps (ABIN5557486)

Antigène

Voir toutes H2AFZ Anticorps
H2AFZ (H2A Histone Family, Member Z (H2AFZ))

Reactivité

  • 105
  • 44
  • 43
  • 8
  • 8
  • 8
  • 6
  • 4
  • 3
  • 3
  • 3
  • 3
  • 2
  • 2
  • 2
  • 2
  • 1
  • 1
Humain, Souris, Rat

Hôte

  • 106
  • 2
Lapin

Clonalité

  • 80
  • 28
Monoclonal

Conjugué

  • 65
  • 5
  • 3
  • 3
  • 3
  • 3
  • 3
  • 3
  • 3
  • 2
  • 1
  • 1
  • 1
  • 1
  • 1
  • 1
  • 1
  • 1
  • 1
  • 1
  • 1
  • 1
  • 1
  • 1
  • 1
Cet anticorp H2AFZ est non-conjugé

Application

  • 70
  • 41
  • 33
  • 28
  • 28
  • 13
  • 13
  • 13
  • 9
  • 6
  • 6
  • 6
  • 5
  • 3
  • 3
  • 2
  • 2
  • 1
  • 1
  • 1
  • 1
Western Blotting (WB), Immunohistochemistry (Paraffin-embedded Sections) (IHC (p))

Clone

7G8
  •  Réactivité croisée

    Humain, Souris, Rat

    Purification

    Purified by Protein A.

    Immunogène

    Recombinant human Histone H2A.Z protein, around 1-100aa.

    Isotype

    IgG
  • Indications d'application

    IHC-P 1:50-200
    IF(ICC) 1:50-200

    Restrictions

    For Research Use only
  • Format

    Liquid

    Concentration

    1 μg/μL

    Buffer

    Aqueous buffered solution containing 1xTBS ( pH 7.4), 1 % BSA, 40 %Glycerol and 0.05 % Sodium Azide.

    Stock

    -20 °C

    Stockage commentaire

    Store at -20°C for 12 months.

    Date de péremption

    12 months
  • Antigène

    H2AFZ (H2A Histone Family, Member Z (H2AFZ))

    Autre désignation

    Histone H2A.Z

    Sujet

    Synonyms: Histone H2A type 1-B/E, HIST1H2AB

    Background: Core component of nucleosome. Nucleosomes wrap and compact DNA into chromatin, limiting DNA accessibility to the cellular machineries which require DNA as a template. Histones thereby play a central role in transcription regulation, DNA repair, DNA replication and chromosomal stability. DNA accessibility is regulated via a complex set of post-translational modifications of histones, also called histone code, and nucleosome remodeling.

    ID gène

    3012

    UniProt

    P04908

    Pathways

    Telomere Maintenance
Vous êtes ici:
Chat with us!