Tel:
+49 (0)241 95 163 153
Fax:
+49 (0)241 95 163 155
E-Mail:
orders@anticorps-enligne.fr

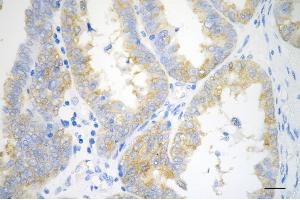
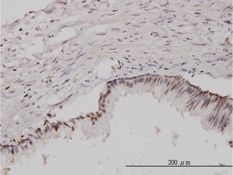
Exportin 2 anticorps (AA 872-971)

Cet anticorps Souris Monoclonal détecte spécifiquement Exportin 2 dans WB, IF, ELISA et IHC (p). Il présente une réactivité avec des échantillons de Humain. Il a été cité dans 11+ publications.
N° du produit ABIN560494
651,20 €
Plus frais de livraison 40,00 € et TVA
100 μg
Destination: France
Envoi sous 8 à 9 jours ouvrables

Aperçu rapide pour Exportin 2 anticorps (AA 872-971) (ABIN560494)

Antigène

Voir toutes Exportin 2 (CSE1L) Anticorps
Exportin 2 (CSE1L) (CSE1 Chromosome Segregation 1-Like (CSE1L))

Reactivité

  • 45
  • 26
  • 10
  • 7
  • 5
  • 5
  • 4
  • 3
  • 3
  • 3
  • 2
  • 1
  • 1
  • 1
Humain

Hôte

  • 39
  • 6
  • 1
Souris

Clonalité

  • 26
  • 20
Monoclonal

Conjugué

  • 34
  • 2
  • 1
  • 1
  • 1
  • 1
  • 1
  • 1
  • 1
  • 1
  • 1
  • 1
Cet anticorp Exportin 2 est non-conjugé

Application

  • 42
  • 26
  • 24
  • 18
  • 10
  • 9
  • 9
  • 5
  • 3
  • 2
  • 2
  • 1
  • 1
  • 1
Western Blotting (WB), Immunofluorescence (IF), ELISA, Immunohistochemistry (Paraffin-embedded Sections) (IHC (p))

Clone

3D8
  • Épitope

    • 7
    • 4
    • 4
    • 2
    • 2
    • 2
    • 1
    • 1
    • 1
    • 1
    • 1
    AA 872-971

    Fonction

    Mouse monoclonal antibody raised against a partial recombinant CSE1L.

    Séquence

    LIGLFELPED DTIPDEEHFI DIEDTPGYQT AFSQLAFAGK KEHDPVGQMV NNPKIHLAQS LHKLSTACPG RVPSMVSTSL NAEALQYLQG YLQAARVTLL

     Réactivité croisée

    Humain

    Attributs du produit

    Antibody Reactive Against Recombinant Protein.

    Immunogène

    CSE1L (NP_001307, 872 a.a. ~ 971 a.a) partial recombinant protein with GST tag. MW of the GST tag alone is 26 KDa.

    Isotype

    IgG1
  • Indications d'application

    Optimal working dilution should be determined by the investigator.

    Restrictions

    For Research Use only
  • Buffer

    In 1x PBS, pH 7.4

    Conseil sur la manipulation

    Aliquot to avoid repeated freezing and thawing.

    Stock

    -20 °C

    Stockage commentaire

    Store at -20°C or lower. Aliquot to avoid repeated freezing and thawing.
  • Luo, Qu, Kan, Cai: "The microRNA-451a/chromosome segregation 1-like axis suppresses cell proliferation, migration, and invasion and induces apoptosis in nasopharyngeal carcinoma." dans: Bioengineered, Vol. 12, Issue 1, pp. 6967-6980, (2021) (PubMed).

    Chin, Wu, Shih, Yeh, Lee, Shen, Yeh, Jiang, Tseng: "High expression of cytoplasmic phosphorylated CSE1L in malignant melanoma but not in benign nevi: phosphorylated CSE1L for the discrimination between melanoma and benign nevi." dans: International journal of clinical and experimental pathology, Vol. 8, Issue 2, pp. 1393-401, (2015) (PubMed).

    Lee, Shen, Shih, Chou, Tseng, Chin, Liu, Chen, Jiang: "Early decline in serum phospho-CSE1L levels in vemurafenib/sunitinib-treated melanoma and sorafenib/lapatinib-treated colorectal tumor xenografts." dans: Journal of translational medicine, Vol. 13, pp. 191, (2015) (PubMed).

    Okimoto, Sun, Fukuto, Horikoshi, Matsuda, Matsuda, Ikura, Ikura, Machida, Kurumizaka, Miyamoto, Oka, Yoneda, Kiuchi, Tashiro: "hCAS/CSE1L regulates RAD51 distribution and focus formation for homologous recombinational repair." dans: Genes to cells : devoted to molecular & cellular mechanisms, Vol. 20, Issue 9, pp. 681-94, (2015) (PubMed).

    Li, Yang, Pang, Chan, Zhou, Mao, Wang, Lau, Poon, Shi, Ng: "MIR-137 suppresses growth and invasion, is downregulated in oligodendroglial tumors and targets CSE1L." dans: Brain pathology (Zurich, Switzerland), Vol. 23, Issue 4, pp. 426-39, (2013) (PubMed).

    Jiang, Yeh, Tai, Chen, Lin, Su, Shen, Lee, Liao, Li, Lee, Chen, Yeh, Chang: "CSE1L modulates Ras-induced cancer cell invasion: correlation of K-Ras mutation and CSE1L expression in colorectal cancer progression." dans: American journal of surgery, Vol. 206, Issue 3, pp. 418-27, (2013) (PubMed).

    Chang, Tai, Su, Shen, Lin, Yeh, Yeh, Lin, Jiang: "The prognostic significance of nuclear CSE1L in urinary bladder urothelial carcinomas." dans: Annals of diagnostic pathology, Vol. 16, Issue 5, pp. 362-8, (2012) (PubMed).

    Uen, Tai, Shen, Lee, Tsao, Deng, Chiou, Hsu, Hsieh, Liao, Jiang: "Differential distributions of CSE1L/CAS and E-cadherin in the polarized and non-polarized epithelial glands of neoplastic colorectal epithelium." dans: Journal of molecular histology, Vol. 41, Issue 4-5, pp. 259-66, (2010) (PubMed).

    Stella Tsai, Chen, Tung, Tsou, Tsao, Liao, Chen, Yeh, Yeh, Jiang: "Serum cellular apoptosis susceptibility protein is a potential prognostic marker for metastatic colorectal cancer." dans: The American journal of pathology, Vol. 176, Issue 4, pp. 1619-28, (2010) (PubMed).

    Tsao, Tsai, Tung, Chen, Yue, Liao, Wang, Jiang: "Function of CSE1L/CAS in the secretion of HT-29 human colorectal cells and its expression in human colon." dans: Molecular and cellular biochemistry, Vol. 327, Issue 1-2, pp. 163-70, (2009) (PubMed).

    Tung, Tsai, Tung, Tsao, Chen, Yeh, Liao, Jiang: "Higher prevalence of secretory CSE1L/CAS in sera of patients with metastatic cancer." dans: Cancer epidemiology, biomarkers & prevention : a publication of the American Association for Cancer Research, cosponsored by the American Society of Preventive Oncology, Vol. 18, Issue 5, pp. 1570-7, (2009) (PubMed).

  • Antigène

    Exportin 2 (CSE1L) (CSE1 Chromosome Segregation 1-Like (CSE1L))

    Autre désignation

    CSE1L

    Sujet

    Full Gene Name: CSE1 chromosome segregation 1-like (yeast)
    Synonyms: CAS,CSE1,MGC117283,MGC130036,MGC130037,XPO2

    ID gène

    1434

    NCBI Accession

    NM_001316

    Pathways

    Protein targeting to Nucleus
Vous êtes ici:
Chat with us!