Tel:
+49 (0)241 95 163 153
Fax:
+49 (0)241 95 163 155
E-Mail:
orders@anticorps-enligne.fr

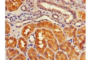
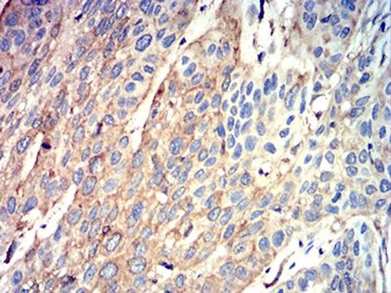
ATG3 anticorps (AA 1-100)

L’anticorps anti-ATG3 Monoclonal Souris est utilisé pour la détection de ATG3 dans des échantillons de Humain et Singe. Il a été validé pour WB, ELISA, IHC et ICC.
N° du produit ABIN5611290
657,84 €
Plus frais de livraison 40,00 € et TVA
100 μL
Destination: France
Envoi sous 7 à 10 jours ouvrables

Aperçu rapide pour ATG3 anticorps (AA 1-100) (ABIN5611290)

Antigène

Voir toutes ATG3 Anticorps
ATG3 (ATG3 Autophagy Related 3 (ATG3))

Reactivité

  • 102
  • 52
  • 49
  • 7
  • 6
  • 4
  • 4
  • 4
  • 3
  • 2
  • 1
  • 1
  • 1
  • 1
  • 1
  • 1
Humain, Singe

Hôte

  • 102
  • 15
  • 3
Souris

Clonalité

  • 84
  • 36
Monoclonal

Conjugué

  • 50
  • 8
  • 8
  • 6
  • 3
  • 3
  • 3
  • 3
  • 3
  • 3
  • 3
  • 3
  • 2
  • 2
  • 2
  • 2
  • 2
  • 2
  • 2
  • 2
  • 2
  • 2
  • 2
  • 1
  • 1
Cet anticorp ATG3 est non-conjugé

Application

  • 87
  • 41
  • 26
  • 26
  • 26
  • 20
  • 13
  • 11
  • 10
  • 10
  • 7
  • 1
  • 1
Western Blotting (WB), ELISA, Immunohistochemistry (IHC), Immunocytochemistry (ICC)

Clone

7A1D1
  • Épitope

    • 15
    • 15
    • 6
    • 6
    • 4
    • 4
    • 3
    • 2
    • 2
    • 2
    • 2
    • 1
    • 1
    • 1
    • 1
    • 1
    • 1
    • 1
    • 1
    • 1
    • 1
    • 1
    AA 1-100

    Fonction

    ATG3 Antibody

    Purification

    Purified antibody

    Immunogène

    Purified recombinant fragment of human ATG3 (AA: 1-100) expressed in E. Coli.

    Isotype

    IgG1
  • Indications d'application

    ELISA: 1/10000

    ICC: 1/200 - 1/1000

    Restrictions

    For Research Use only
  • Format

    Liquid

    Buffer

    Purified antibody in PBS with 0.05 % sodium azide.

    Agent conservateur

    Sodium azide

    Précaution d'utilisation

    This product contains Sodium azide: a POISONOUS AND HAZARDOUS SUBSTANCE which should be handled by trained staff only.

    Stock

    4 °C,-20 °C

    Stockage commentaire

    Store at 4°C short term. Aliquot and store at -20°C long term. Avoid freeze/thaw cycles.
  • Antigène

    ATG3 (ATG3 Autophagy Related 3 (ATG3))

    Autre désignation

    ATG3

    Sujet

    This gene encodes a ubiquitin-like-conjugating enzyme and is a component of ubiquitination-like systems involved in autophagy, the process of degradation, turnover and recycling of cytoplasmic constituents in eukaryotic cells. This protein is known to play a role in regulation of autophagy during cell death. A pseudogene of this gene is located on chromosome 20. Alternative splicing results in multiple transcript variants encoding different isoforms.

    Poids moléculaire

    35.9 kDa

    ID gène

    64422

    UniProt

    Q9NT62

    Pathways

    Autophagy
Vous êtes ici:
Chat with us!