RBP4 anticorps
Aperçu rapide pour RBP4 anticorps (ABIN5647248)
Antigène
Voir toutes RBP4 AnticorpsReactivité
Hôte
Clonalité
Conjugué
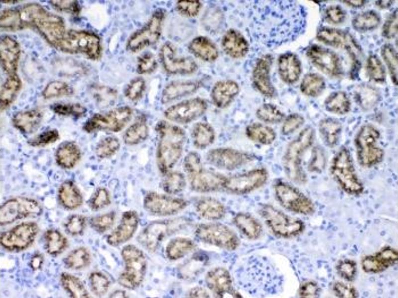
Application
-
-
Purification
- Antigen affinity purified
-
Immunogène
- A recombinant mouse protein corresponding to amino acids E19-L201 was used as the immunogen for the RBP4 antibody.
-
Isotype
- IgG
-
-
-
-
Indications d'application
- Optimal dilution of the RBP4 antibody should be determined by the researcher.\. Western Blot: 0.5-1 μg/mL,IHC (FFPE): 1-2 μg/mL,ELISA (Capture, recombinant mouse protein): 0.1-0.5 μg/mL (BSA-free format available)
-
Restrictions
- For Research Use only
-
-
-
Buffer
- 0.5 mg/mL if reconstituted with 0.2 mL sterile DI water
-
Stock
- -20 °C
-
Stockage commentaire
- After reconstitution, the RBP4 antibody can be stored for up to one month at 4°C. For long-term, aliquot and store at -20°C. Avoid repeated freezing and thawing.
-
-
- RBP4 (Retinol Binding Protein 4, Plasma (RBP4))
-
Autre désignation
- RBP4 / Retinol Binding Protein 4
-
Sujet
- RBP4 is also known as RDCCAS. This protein belongs to the lipocalin family and is the specific carrier for retinol (vitamin A alcohol) in the blood. It delivers retinol from the liver stores to the peripheral tissues. In plasma, the RBP-retinol complex interacts with transthyretin which prevents its loss by filtration through the kidney glomeruli. A deficiency of vitamin A blocks secretion of the binding protein posttranslationally and results in defective delivery and supply to the epidermal cells.
-
UniProt
- Q00724
-
Pathways
- Regulatory RNA Pathways, Positive Regulation of Peptide Hormone Secretion, Carbohydrate Homeostasis, Production of Molecular Mediator of Immune Response
Antigène
-