Tel:
+49 (0)241 95 163 153
Fax:
+49 (0)241 95 163 155
E-Mail:
orders@anticorps-enligne.fr

SP6 anticorps

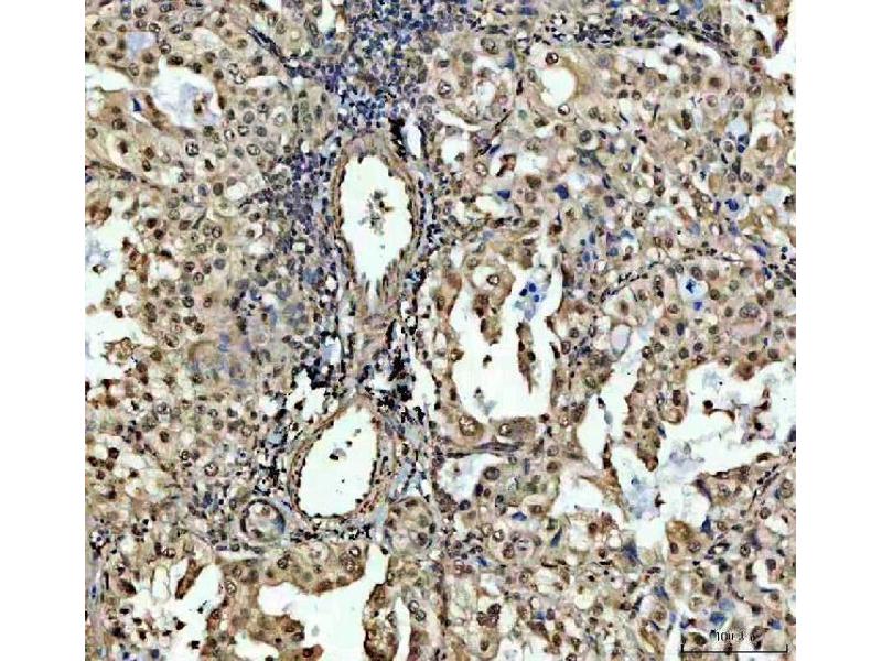
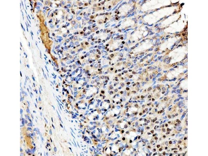
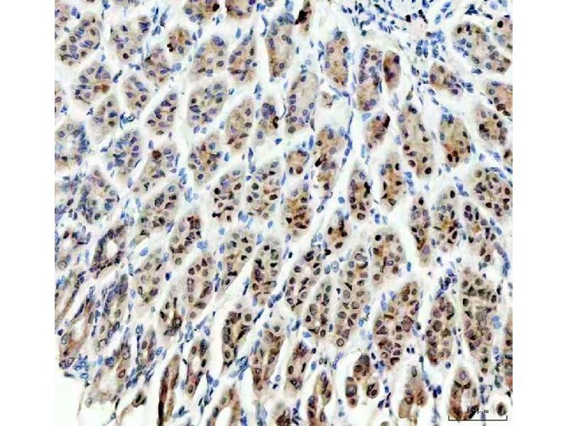
L’anticorps anti-SP6 Polyclonal Lapin est utilisé pour la détection de SP6 dans des échantillons de Humain, Souris et Rat. Il a été validé pour WB, IHC, ICC et IF.
N° du produit ABIN5692945
500,50 €
Plus frais de livraison 40,00 € et TVA
100 μg
Destination: France
Envoi sous 8 à 12 jours ouvrables

Aperçu rapide pour SP6 anticorps (ABIN5692945)

Antigène

Voir toutes SP6 Anticorps
SP6 (Sp6 Transcription Factor (SP6))

Reactivité

  • 39
  • 7
  • 4
  • 3
  • 2
  • 2
  • 2
  • 1
  • 1
Humain, Souris, Rat

Hôte

  • 38
  • 1
Lapin

Clonalité

  • 39
Polyclonal

Conjugué

  • 16
  • 4
  • 3
  • 3
  • 1
  • 1
  • 1
  • 1
  • 1
  • 1
  • 1
  • 1
  • 1
  • 1
  • 1
  • 1
  • 1
Cet anticorp SP6 est non-conjugé

Application

  • 34
  • 20
  • 13
  • 13
  • 11
  • 3
  • 3
  • 2
  • 1
  • 1
  • 1
Western Blotting (WB), Immunohistochemistry (IHC), Immunocytochemistry (ICC), Immunofluorescence (IF)
  • Fonction

    Anti-SP6 Antibody

    Séquence

    QPDMSHHYES WFRPTHPGAE DGSWWDLHPG TSWMDLPH

    Réactivité croisée (Details)

    No cross-reactivity with other proteins.

    Attributs du produit

    Anti-SP6 Antibody (ABIN5692945). Tested in IF, IHC, ICC, WB applications. This antibody reacts with Human, Mouse, Rat. This is a premium antibody that guarantees superior quality, high affinity, and strong signals with minimal background in Western blot applications.

    Immunogène

    A synthetic peptide corresponding to a sequence at the N-terminus of human SP6, which shares 97.4% amino acid (aa) sequence identity with both mouse and rat SP6.

    Isotype

    IgG
  • Indications d'application

    Western blot, 0.1-0.5 μg/mL
    Immunohistochemistry, 2-5 μg/mL
    Immunocytochemistry/Immunofluorescence, 5 μg/mL

    Restrictions

    For Research Use only
  • Format

    Lyophilized

    Reconstitution

    Add 0.2 mL of distilled water will yield a concentration of 500 μg/mL.

    Concentration

    500 μg/mL

    Buffer

    Each vial contains 4 mg Trehalose, 0.9 mg NaCl and 0.2 mg Na2HPO4.

    Stock

    4 °C,-20 °C

    Stockage commentaire

    Store at -20°C for one year from date of receipt. After reconstitution, at 4°C for one month.
    It can also be aliquotted and stored frozen at -20°C for six months. Avoid repeated freeze-thaw cycles.
  • Antigène

    SP6 (Sp6 Transcription Factor (SP6))

    Autre désignation

    SP6

    Sujet

    Synonyms: Transcription factor Sp6, Krueppel-like factor 14, SP6, KLF14

    Tissue Specificity: Ubiquitous.

    Background: SP6 belongs to a family of transcription factors that contain 3 classical zinc finger DNA-binding domains consisting of a zinc atom tetrahedrally coordinated by 2 cysteines and 2 histidines (C2H2 motif). These transcription factors bind to GC-rich sequences and related GT and CACCC boxes. By somatic cell hybrid analysis and FISH, he SP6 gene is mapped t to chromosome 17q21.3-q22.

    Poids moléculaire

    40 kDa

    ID gène

    80320
Vous êtes ici:
Chat with us!