Tel:
+49 (0)241 95 163 153
Fax:
+49 (0)241 95 163 155
E-Mail:
orders@anticorps-enligne.fr

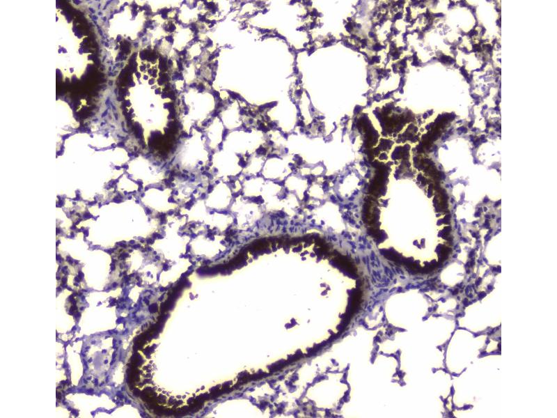
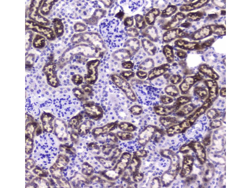
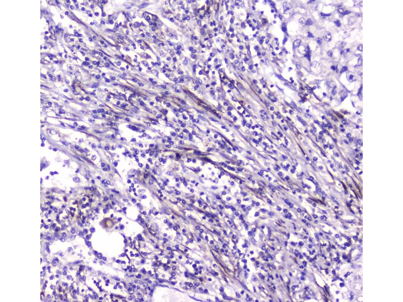
CES1 anticorps (AA 99-206)

Cet anticorps Lapin Polyclonal détecte spécifiquement CES1 dans WB, IHC, ELISA, ICC, IF et FACS. Il présente une réactivité avec des échantillons de Humain, Souris et Rat.
N° du produit ABIN5693010
500,50 €
Plus frais de livraison 40,00 € et TVA
100 μg
Destination: France
Envoi sous 8 à 12 jours ouvrables

Aperçu rapide pour CES1 anticorps (AA 99-206) (ABIN5693010)

Antigène

Voir toutes CES1 Anticorps
CES1 (Carboxylesterase 1 (CES1))

Reactivité

  • 34
  • 17
  • 16
  • 5
  • 4
  • 4
  • 4
  • 2
  • 2
  • 1
  • 1
  • 1
Humain, Souris, Rat

Hôte

  • 38
  • 5
  • 1
  • 1
Lapin

Clonalité

  • 40
  • 5
Polyclonal

Conjugué

  • 31
  • 4
  • 2
  • 2
  • 1
  • 1
  • 1
  • 1
  • 1
  • 1
Cet anticorp CES1 est non-conjugé

Application

  • 33
  • 13
  • 12
  • 11
  • 5
  • 5
  • 4
  • 2
  • 2
  • 2
  • 2
  • 2
Western Blotting (WB), Immunohistochemistry (IHC), ELISA, Immunocytochemistry (ICC), Immunofluorescence (IF), Flow Cytometry (FACS)
  • Épitope

    • 6
    • 4
    • 3
    • 2
    • 2
    • 1
    • 1
    • 1
    • 1
    • 1
    • 1
    • 1
    • 1
    AA 99-206

    Fonction

    Anti-Liver Carboxylesterase 1/CES1 Antibody

    Réactivité croisée (Details)

    No cross-reactivity with other proteins.

    Attributs du produit

    Anti-Liver Carboxylesterase 1/CES1 Antibody (ABIN5693010). Tested in ELISA, Flow Cytometry, IF, IHC, ICC, WB applications. This antibody reacts with Human, Mouse, Rat. This is a premium antibody that guarantees superior quality, high affinity, and strong signals with minimal background in Western blot applications.

    Purification

    Immunogen affinity purified.

    Immunogène

    E. coli-derived human CES1 recombinant protein (Position: E99-A206).

    Isotype

    IgG
  • Indications d'application

    Western blot, 0.1-0.5 μg/mL
    Immunohistochemistry (Paraffin-embedded Section), 0.5-1 μg/mL
    Immunocytochemistry/Immunofluorescence, 5 μg/mL
    Flow Cytometry (Fixed), 1-3 μg/1x106 cells
    ELISA, 0.1-0.5 μg/mL

    Restrictions

    For Research Use only
  • Format

    Lyophilized

    Reconstitution

    Add 0.2 mL of distilled water will yield a concentration of 500 μg/mL.

    Concentration

    500 μg/mL

    Buffer

    Each vial contains 4 mg Trehalose, 0.9 mg NaCl, 0.2 mg Na2HPO4, 0.05 mg NaN3.

    Agent conservateur

    Sodium azide

    Précaution d'utilisation

    This product contains Sodium azide: a POISONOUS AND HAZARDOUS SUBSTANCE which should be handled by trained staff only.

    Stock

    4 °C,-20 °C

    Stockage commentaire

    Store at -20°C for one year from date of receipt. After reconstitution, at 4°C for one month.
    It can also be aliquotted and stored frozen at -20°C for six months. Avoid repeated freeze-thaw cycles.
  • Antigène

    CES1 (Carboxylesterase 1 (CES1))

    Autre désignation

    CES1

    Sujet

    Synonyms: Liver carboxylesterase 1, Acyl-coenzyme A:cholesterol acyltransferase, ACAT, Brain carboxylesterase hBr1, Carboxylesterase 1, CE-1, hCE-1

    Tissue Specificity: Expressed predominantly in liver with lower levels in heart and lung.

    Background: Liver carboxylesterase 1 also known as carboxylesterase 1 (CES1, hCE-1 or CES1A1) is an enzyme that in humans is encoded by the CES1 gene. This gene encodes a member of the carboxylesterase large family. The family members are responsible for the hydrolysis or transesterification of various xenobiotics, such as cocaine and heroin, and endogenous substrates with ester, thioester, or amide bonds. They may participate in fatty acyl and cholesterol ester metabolism, and may play a role in the blood-brain barrier system. This enzyme is the major liver enzyme and functions in liver drug clearance. Mutations of this gene cause carboxylesterase 1 deficiency. Three transcript variants encoding three different isoforms have been found for this gene.

    Poids moléculaire

    62 kDa

    ID gène

    1066

    UniProt

    P23141

    Pathways

    Monocarboxylic Acid Catabolic Process
Vous êtes ici:
Chat with us!