Tel:
+49 (0)241 95 163 153
Fax:
+49 (0)241 95 163 155
E-Mail:
orders@anticorps-enligne.fr

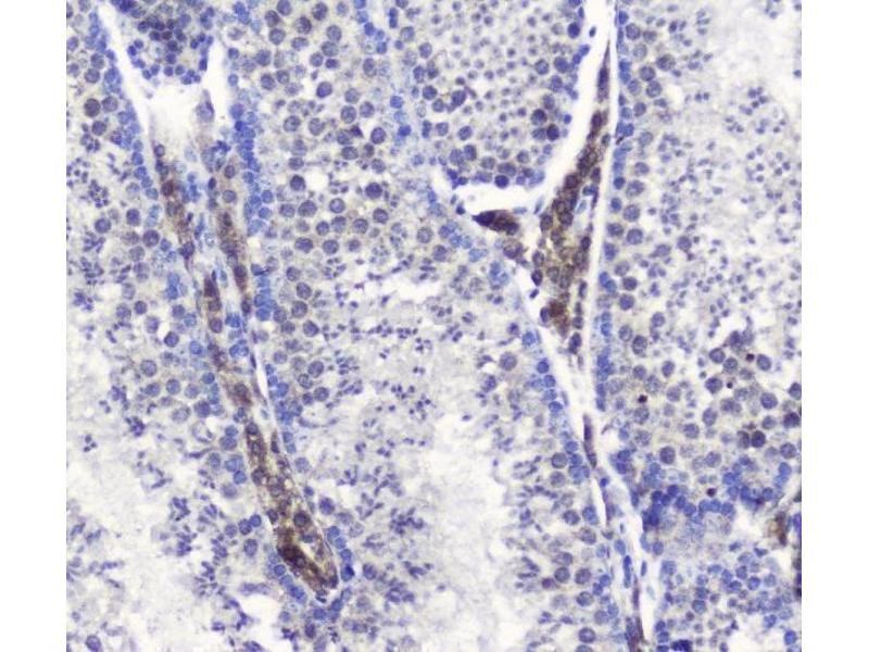
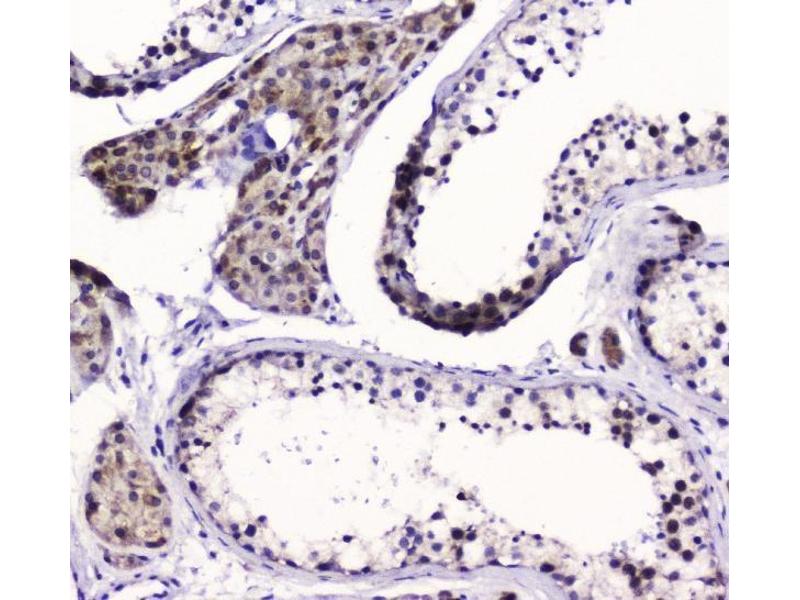
SMC6 anticorps (AA 205-443)

Cet anticorps Lapin Polyclonal détecte spécifiquement SMC6 dans WB, ELISA, IHC, IF, FACS, IHC (fro) et ICC. Il présente une réactivité avec des échantillons de Humain, Rat et Souris.
N° du produit ABIN5693133
500,50 €
Plus frais de livraison 40,00 € et TVA
100 μg
Destination: France
Envoi sous 8 à 12 jours ouvrables

Aperçu rapide pour SMC6 anticorps (AA 205-443) (ABIN5693133)

Antigène

Voir toutes SMC6 Anticorps
SMC6 (SMC6 Structural Maintenance of Chromosomes 6-Like 1 (SMC6))

Reactivité

  • 26
  • 19
  • 5
  • 2
  • 2
  • 2
  • 1
  • 1
  • 1
  • 1
  • 1
Humain, Rat, Souris

Hôte

  • 36
  • 5
Lapin

Clonalité

  • 36
  • 5
Polyclonal

Conjugué

  • 15
  • 3
  • 2
  • 2
  • 1
  • 1
  • 1
  • 1
  • 1
  • 1
  • 1
  • 1
  • 1
  • 1
  • 1
  • 1
  • 1
  • 1
  • 1
  • 1
  • 1
  • 1
  • 1
Cet anticorp SMC6 est non-conjugé

Application

  • 29
  • 13
  • 13
  • 10
  • 6
  • 5
  • 5
  • 4
  • 3
  • 2
  • 1
  • 1
Western Blotting (WB), ELISA, Immunohistochemistry (IHC), Immunofluorescence (IF), Flow Cytometry (FACS), Immunohistochemistry (Frozen Sections) (IHC (fro)), Immunocytochemistry (ICC)
  • Épitope

    • 15
    • 5
    • 5
    • 4
    • 2
    • 1
    • 1
    AA 205-443

    Fonction

    Anti-SMC6L1 Antibody

    Réactivité croisée (Details)

    No cross-reactivity with other proteins.

    Attributs du produit

    Anti-SMC6L1 Antibody (ABIN5693133). Tested in ELISA, Flow Cytometry, IF, IHC, IHC-F, ICC, WB applications. This antibody reacts with Human, Mouse, Rat. This is a premium antibody that guarantees superior quality, high affinity, and strong signals with minimal background in Western blot applications.

    Immunogène

    E. coli-derived human SMC6L1 recombinant protein (Position: D205-E443).

    Isotype

    IgG
  • Indications d'application

    Western blot, 0.1-0.5 μg/mL
    Immunohistochemistry (Paraffin-embedded Section), 0.5-1 μg/mL
    Immunohistochemistry (Frozen Section), 0.5-1 μg/mL
    Immunocytochemistry/Immunofluorescence, 2 μg/mL
    Flow Cytometry (Fixed), 1-3 μg/1x106 cells
    ELISA, 0.1-0.5 μg/mL

    Restrictions

    For Research Use only
  • Format

    Lyophilized

    Reconstitution

    Add 0.2 mL of distilled water will yield a concentration of 500 μg/mL.

    Concentration

    500 μg/mL

    Buffer

    Each vial contains 4 mg Trehalose, 0.9 mg NaCl, 0.2 mg Na2HPO4, 0.05 mg NaN3.

    Agent conservateur

    Sodium azide

    Précaution d'utilisation

    This product contains Sodium azide: a POISONOUS AND HAZARDOUS SUBSTANCE which should be handled by trained staff only.

    Stock

    4 °C,-20 °C

    Stockage commentaire

    Store at -20°C for one year from date of receipt. After reconstitution, at 4°C for one month.
    It can also be aliquotted and stored frozen at -20°C for six months. Avoid repeated freeze-thaw cycles.
  • Antigène

    SMC6 (SMC6 Structural Maintenance of Chromosomes 6-Like 1 (SMC6))

    Autre désignation

    SMC6

    Sujet

    Synonyms: Structural maintenance of chromosomes protein 6, SMC protein 6, SMC-6, hSMC6, SMC6, SMC6L1

    Tissue Specificity: Widely expressed (PubMed:11408570). Strongly expressed in testis (PubMed:11408570).

    Background: Structural maintenance of chromosomes protein 6, also knowns SMC6L1, is a protein that in humans is encoded by the SMC6 gene. It is involved in the Alternative lengthening of telomeres cancer mechanism. The International Radiation Hybrid Mapping Consortium mapped the SMC6L1 gene to chromosome 2.

    Poids moléculaire

    126 kDa

    ID gène

    79677
Vous êtes ici:
Chat with us!