Tel:
+49 (0)241 95 163 153
Fax:
+49 (0)241 95 163 155
E-Mail:
orders@anticorps-enligne.fr

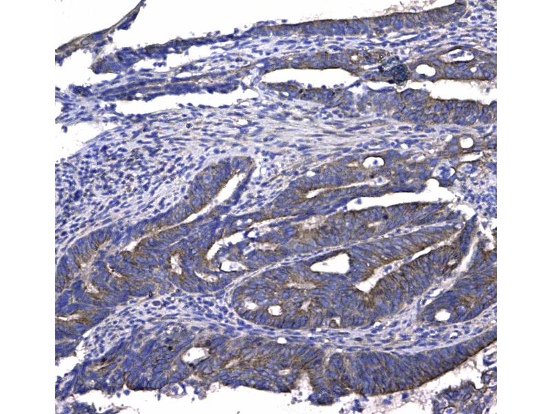
GSTM3 anticorps (AA 93-206)

Cet anticorps anti-GSTM3 Polyclonal Lapin (ABIN5693252) détecte spécifiquement GSTM3 dans WB, IHC et ELISA. L’anticorps est réactif avec des échantillons de Humain, Souris et Rat.
N° du produit ABIN5693252
500,50 €
Plus frais de livraison 40,00 € et TVA
100 μg
Destination: France
Envoi sous 8 à 12 jours ouvrables

Aperçu rapide pour GSTM3 anticorps (AA 93-206) (ABIN5693252)

Antigène

Voir toutes GSTM3 Anticorps
GSTM3 (Glutathione S-Transferase mu 3 (Brain) (GSTM3))

Reactivité

  • 39
  • 10
  • 6
  • 4
  • 4
  • 3
  • 3
  • 2
  • 2
  • 1
  • 1
Humain, Souris, Rat

Hôte

  • 21
  • 19
  • 2
Lapin

Clonalité

  • 25
  • 17
Polyclonal

Conjugué

  • 30
  • 2
  • 2
  • 1
  • 1
  • 1
  • 1
  • 1
  • 1
  • 1
  • 1
Cet anticorp GSTM3 est non-conjugé

Application

  • 23
  • 23
  • 13
  • 10
  • 5
  • 5
  • 3
  • 2
  • 2
  • 1
  • 1
Western Blotting (WB), Immunohistochemistry (IHC), ELISA
  • Épitope

    • 11
    • 2
    • 2
    • 1
    • 1
    • 1
    • 1
    • 1
    • 1
    AA 93-206

    Fonction

    Anti-GSTM3 Antibody

    Réactivité croisée (Details)

    No cross-reactivity with other proteins.

    Attributs du produit

    Anti-GSTM3 Antibody (ABIN5693252). Tested in ELISA, IHC, WB applications. This antibody reacts with Human, Mouse, Rat. This is a premium antibody that guarantees superior quality, high affinity, and strong signals with minimal background in Western blot applications.

    Purification

    Immunogen affinity purified.

    Immunogène

    E. coli-derived human GSTM3 recombinant protein (Position: E93-Q206).

    Isotype

    IgG
  • Indications d'application

    Western blot, 0.1-0.5 μg/mL
    Immunohistochemistry (Paraffin-embedded Section), 0.5-1 μg/mL
    ELISA, 0.1-0.5 μg/mL

    Restrictions

    For Research Use only
  • Format

    Lyophilized

    Reconstitution

    Add 0.2 mL of distilled water will yield a concentration of 500 μg/mL.

    Concentration

    500 μg/mL

    Buffer

    Each vial contains 4 mg Trehalose, 0.9 mg NaCl, 0.2 mg Na2HPO4, 0.05 mg NaN3.

    Agent conservateur

    Sodium azide

    Précaution d'utilisation

    This product contains Sodium azide: a POISONOUS AND HAZARDOUS SUBSTANCE which should be handled by trained staff only.

    Stock

    4 °C,-20 °C

    Stockage commentaire

    Store at -20°C for one year from date of receipt. After reconstitution, at 4°C for one month.
    It can also be aliquotted and stored frozen at -20°C for six months. Avoid repeated freeze-thaw cycles.
  • Antigène

    GSTM3 (Glutathione S-Transferase mu 3 (Brain) (GSTM3))

    Autre désignation

    GSTM3

    Sujet

    Synonyms: Glutathione S-transferase Mu 3, GST class-mu 3, GSTM3-3, hGSTM3-3, GSTM3, GST5,

    Tissue Specificity: Testis and brain.

    Background: Glutathione S-transferase M3 (brain), also known as GSTM3, is an enzyme which in humans is encoded by theGSTM3 gene. Cytosolic and membrane-bound forms of glutathione S-transferase are encoded by two distinct supergene families. At present, eight distinct classes of the soluble cytoplasmic mammalian glutathione S-transferases have been identified: alpha, kappa, mu, omega, pi, sigma, theta and zeta. This gene encodes a glutathione S-transferase that belongs to the mu class. The mu class of enzymes functions in the detoxification of electrophilic compounds, including carcinogens, therapeutic drugs, environmental toxins and products of oxidative stress, by conjugation with glutathione. The genes encoding the mu class of enzymes are organized in a gene cluster on chromosome 1p13.3 and are known to be highly polymorphic. These genetic variations can change an individual's susceptibility to carcinogens and toxins as well as affect the toxicity and efficacy of certain drugs. Mutations of this class mu gene have been linked with a slight increase in a number of cancers, likely due to exposure with environmental toxins.

    Poids moléculaire

    26 kDa

    ID gène

    2947

    UniProt

    P21266
Vous êtes ici:
Chat with us!