Tel:
+49 (0)241 95 163 153
Fax:
+49 (0)241 95 163 155
E-Mail:
orders@anticorps-enligne.fr

KIF6 anticorps (Internal Region)

Cet anticorps anti-KIF6 Polyclonal Chèvre (ABIN570690) détecte spécifiquement KIF6 dans ELISA et IHC. L’anticorps est réactif avec des échantillons de Humain.
N° du produit ABIN570690
488,25 €
Plus frais de livraison 40,00 € et TVA
100 μg
Destination: France
Envoi sous 5 à 8 jours ouvrables

Aperçu rapide pour KIF6 anticorps (Internal Region) (ABIN570690)

Antigène

KIF6 (Kinesin Family Member 6 (KIF6))

Reactivité

  • 19
  • 11
  • 1
Humain

Hôte

  • 16
  • 2
  • 1
Chèvre

Clonalité

  • 19
Polyclonal

Conjugué

  • 14
  • 1
  • 1
  • 1
  • 1
  • 1
Cet anticorp KIF6 est non-conjugé

Application

  • 17
  • 11
  • 3
  • 1
ELISA, Immunohistochemistry (IHC)

Classe de qualité

Verified
  • Épitope

    • 8
    • 4
    • 3
    • 2
    • 1
    • 1
    Internal Region

    Fonction

    KIF6

    Séquence

    DPDQNIHLKN LTLH

     Réactivité croisée

    Humain, Souris

    Purification

    Purified from goat serum by ammonium sulphate precipitation followed by antigen affinity chromatography using the immunizing peptide.

    Immunogène

    Peptide with sequence C-DPDQNIHLKNLTLH, from the internal region of the protein sequence according to NP_659464.3.

    Isotype

    IgG
  • Indications d'application

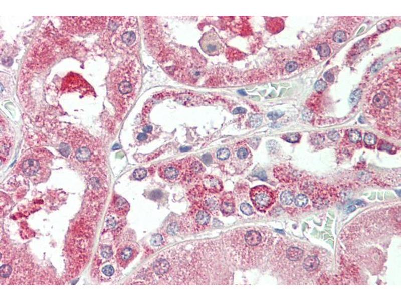
    Immunohistochemistry: Paraffin embedded Human Prostate and Kidney. Recommended concentration: 5 μg/mL.

    Western Blot: Preliminary experiments gave an approx. 140 kDa band in Human Heart lysates after 0.5 μg/mL antibody staining. Please note that currently we cannot find an explanation in the literature for the band we observe given the calculated size of 92.

    Peptide ELISA: antibody detection limit dilution 1:32000.

    Restrictions

    For Research Use only
  • Format

    Liquid

    Concentration

    0.5 mg/mL

    Buffer

    Supplied at 0.5 mg/mL in Tris saline, 0.02 % sodium azide, pH 7.3 with 0.5 % bovine serum albumin.

    Agent conservateur

    Sodium azide

    Précaution d'utilisation

    This product contains Sodium azide: a POISONOUS AND HAZARDOUS SUBSTANCE which should be handled by trained staff only.

    Conseil sur la manipulation

    Minimize freezing and thawing.

    Stock

    -20 °C

    Stockage commentaire

    Aliquot and store at -20°C, with minimal freeze/thawing. A working aliquot may be refrigerated at 4°C for a few weeks and still remain viable.
  • Antigène

    KIF6 (Kinesin Family Member 6 (KIF6))

    Autre désignation

    KIF6

    Sujet

    KIF6, kinesin family member 6, C6orf102, DKFZp451I2418, MGC33317, dJ1043E3.1, dJ137F1.4, dJ188D3.1, OTTHUMP00000016349, OTTHUMP00000039712

    ID gène

    221458, 319991

    NCBI Accession

    NP_659464
Vous êtes ici:
Chat with us!