ARHGDIG anticorps (C-Term)
Aperçu rapide pour ARHGDIG anticorps (C-Term) (ABIN571211)
Antigène
Voir toutes ARHGDIG AnticorpsReactivité
Hôte
Clonalité
Conjugué
Application
Classe de qualité
-
-
Épitope
- C-Term
-
Fonction
- ARHGDIG
-
Séquence
- EAVPEYRAPG RK
-
Réactivité croisée
- Boeuf (Vache), Chien, Humain, Souris, Rat
-
Purification
- Purified from goat serum by ammonium sulphate precipitation followed by antigen affinity chromatography using the immunizing peptide.
-
Immunogène
- C-EAVPEYRAPGRK
-
Isotype
- IgG
-
-
-
-
Indications d'application
-
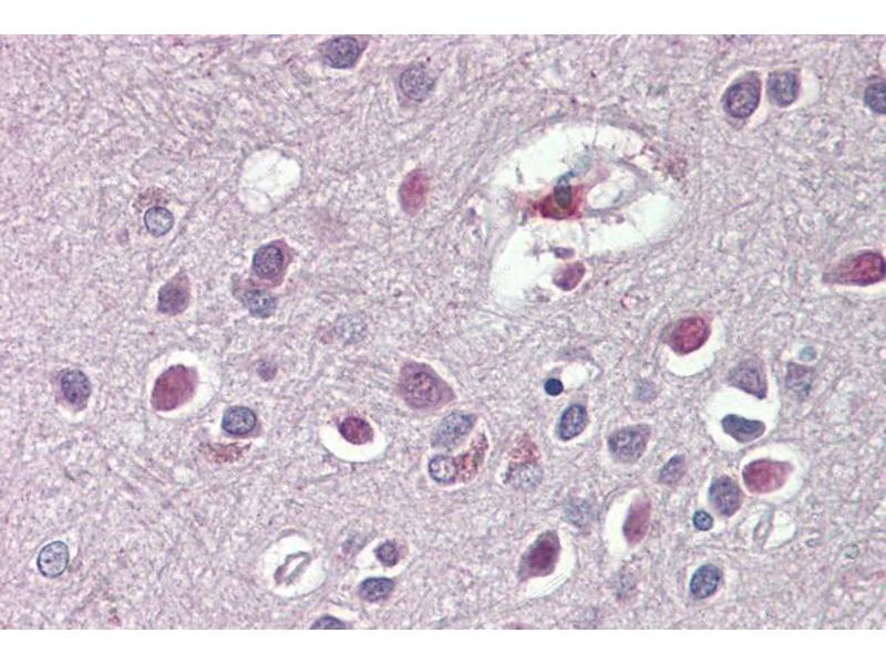
Immunohistochemistry: Paraffin embedded Human Brain (Cortex). Recommended concentration: 3.75 μg/mL.
Western Blot: Approx 25 kDa band observed in lysates of cell line HeLa (calculated MW of 25.1 kDa according to NP_001167.2). Recommended concentration: 0.5-2 μg/mL. Primary incubation was 1 hour.
Peptide ELISA: antibody detection limit dilution 1:16000.
-
Restrictions
- For Research Use only
-
-
-
Format
- Liquid
-
Concentration
- 0.5 mg/mL
-
Buffer
- Supplied at 0.5 mg/mL in Tris saline, 0.02 % sodium azide, pH 7.3 with 0.5 % bovine serum albumin.
-
Agent conservateur
- Sodium azide
-
Précaution d'utilisation
- This product contains Sodium azide: a POISONOUS AND HAZARDOUS SUBSTANCE which should be handled by trained staff only.
-
Conseil sur la manipulation
- Minimize freezing and thawing.
-
Stock
- -20 °C
-
Stockage commentaire
- Aliquot and store at -20°C, with minimal freeze/thawing. A working aliquot may be refrigerated at 4°C for a few weeks and still remain viable.
-
-
- ARHGDIG (rho GDP Dissociation Inhibitor (GDI) gamma (ARHGDIG))
-
Autre désignation
- ARHGDIG
-
Sujet
- ARHGDIG, Rho GDP dissociation inhibitor (GDI) gamma, RHOGDI-3, RhoGDI gamma
-
ID gène
- 398, 14570, 360500
-
NCBI Accession
- NP_001167
Antigène
-