HNRNPM anticorps (AA 17-113)
Aperçu rapide pour HNRNPM anticorps (AA 17-113) (ABIN574309)
Antigène
Voir toutes HNRNPM AnticorpsReactivité
Hôte
Clonalité
Conjugué
Application
Clone
-
-
Épitope
- AA 17-113
-
Purification
- Purified from ascites by Protein A
-
Immunogène
-
HNRPM (NP_005959, 17 a.a. ~ 113 a.a) partial recombinant protein with GST tag. MW of the GST tag alone is 26 KDa.
Type of Immunogen: Recombinant protein -
Isotype
- IgG2a kappa
-
-
-
-
Indications d'application
-
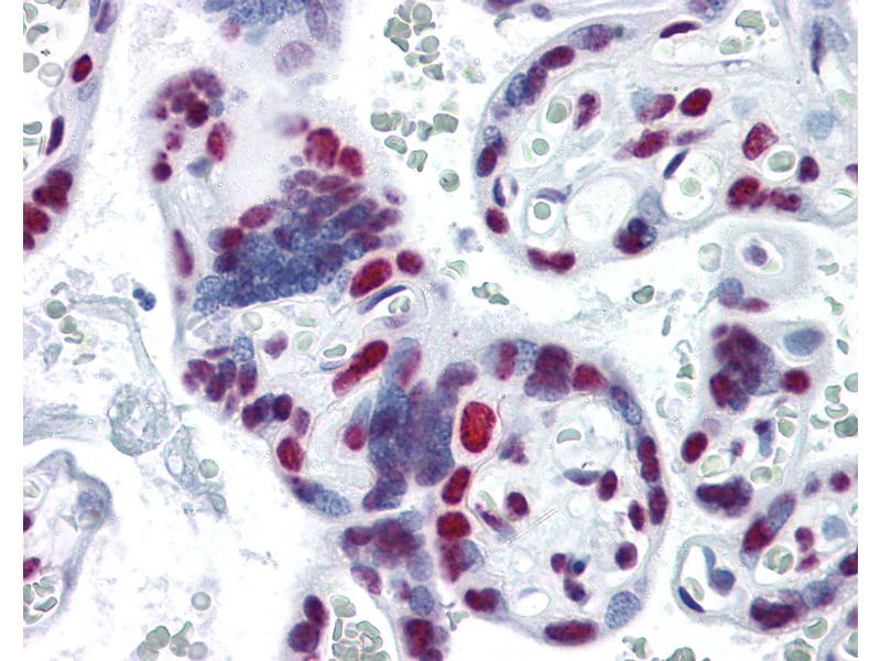
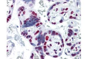
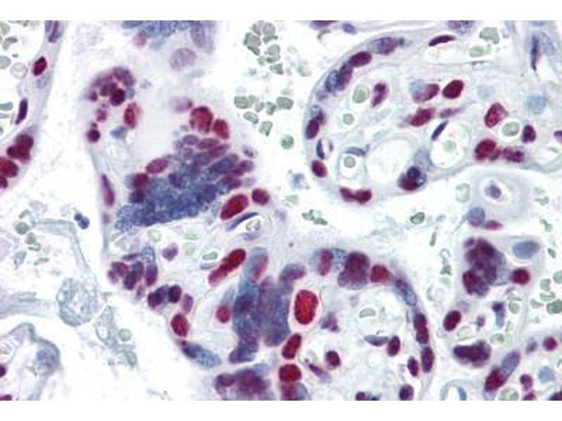
Approved: ELISA, IF (10 μg/mL), IHC, IHC-P (5 μg/mL), WB
Usage: Western Blot (Cell lysate) - positive control PC-12. Western Blot (Cell lysate) - positive control HepG2. Western Blot (Cell lysate) - positive control NIH/3T3. Immunofluorescence (10 μg/mL) - positive control HepG2 cells. Sandwich ELISA (Recombinant protein). -
Commentaires
-
Target Species of Antibody: Human
-
Restrictions
- For Research Use only
-
-
-
Format
- Liquid
-
Concentration
- Lot specific
-
Buffer
- PBS, pH 7.4
-
Conseil sur la manipulation
- Aliquot to Avoid freeze/thaw cycles.
-
Stock
- -20 °C
-
Stockage commentaire
- Store at -20°C. Aliquot to avoid freeze/thaw cycles.
-
-
- HNRNPM (Heterogeneous Nuclear Ribonucleoprotein M (HNRNPM))
-
Autre désignation
- HNRPM / HNRNPM
-
Sujet
-
Name/Gene ID: HNRNPM
Synonyms: HNRNPM, CEA receptor, CEAR, HnRNA-binding protein M4, HNRNPM4, HNRPM4, N-acetylglucosamine receptor 1, NAGR1, HnRNP M, HNRPM, HTGR1 -
ID gène
- 4670
-
NCBI Accession
- NP_005959
-
UniProt
- P52272
Antigène
-