Tel:
+49 (0)241 95 163 153
Fax:
+49 (0)241 95 163 155
E-Mail:
orders@anticorps-enligne.fr

STK16 anticorps (AA 1-306)

L’anticorps anti-STK16 Monoclonal Souris est utilisé pour la détection de STK16 dans des échantillons de Humain. Il a été validé pour WB, ELISA, IHC, IHC (p) et RNAi.
N° du produit ABIN574397
512,07 €
Plus frais de livraison 40,00 € et TVA
50 μg
Destination: France
Envoi sous 15 à 20 jours ouvrables

Aperçu rapide pour STK16 anticorps (AA 1-306) (ABIN574397)

Antigène

Voir toutes STK16 Anticorps
STK16 (serine/threonine Kinase 16 (STK16))

Reactivité

  • 39
  • 27
  • 3
  • 2
  • 2
  • 2
  • 1
  • 1
  • 1
  • 1
  • 1
  • 1
  • 1
Humain

Hôte

  • 34
  • 5
Souris

Clonalité

  • 37
  • 2
Monoclonal

Conjugué

  • 22
  • 3
  • 2
  • 2
  • 2
  • 2
  • 1
  • 1
  • 1
  • 1
  • 1
  • 1
Cet anticorp STK16 est non-conjugé

Application

  • 32
  • 21
  • 18
  • 6
  • 2
  • 1
  • 1
  • 1
Western Blotting (WB), ELISA, Immunohistochemistry (IHC), Immunohistochemistry (Paraffin-embedded Sections) (IHC (p)), RNA Interference (RNAi)

Clone

M2
  • Épitope

    • 8
    • 6
    • 6
    • 4
    • 2
    • 2
    • 1
    • 1
    • 1
    AA 1-306

    Purification

    Purified from ascites by Protein A

    Immunogène

    STK16 (AAH02618,1 a.a. ~ 306 a.a) full length recombinant protein with GST tag. MW of the GST tag alone is 26 KDa.

    Type of Immunogen: Recombinant protein

    Isotype

    IgG1 kappa
  • Indications d'application

    Approved: ELISA, IHC, IHC-P (5 μg/mL), RNAi, WB

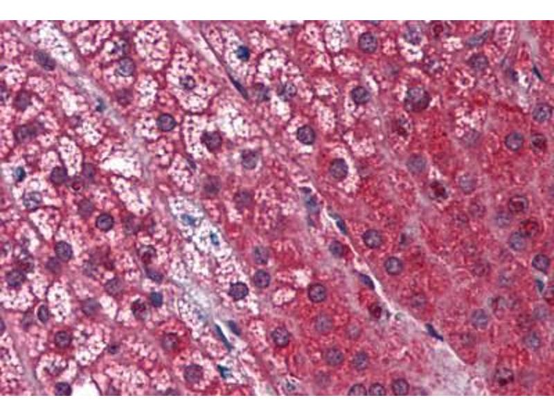
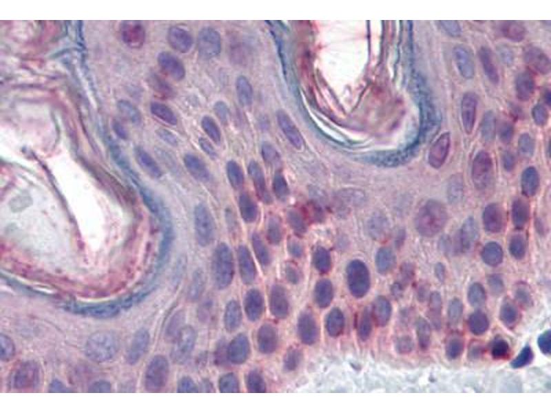
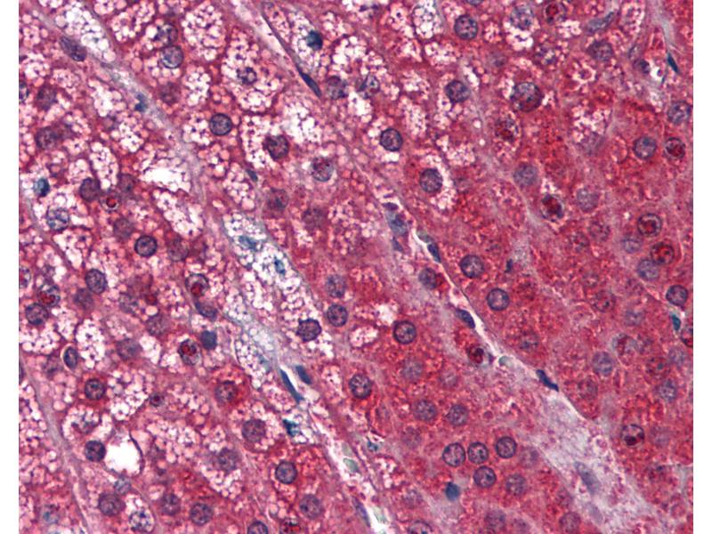
    Usage: Western Blot (Cell lysate) - positive control A-431. Western Blot (Transfected lysate) - positive control transfected 293T cell line. Immunohistochemistry (Formalin/PFA-fixed paraffin-embedded sections, 3 μg/mL) - positive control human tonsil. RNAi Knockdown (Antibody validated).

    Commentaires

    Target Species of Antibody: Human

    Restrictions

    For Research Use only
  • Format

    Liquid

    Concentration

    Lot specific

    Buffer

    PBS,  pH 7.4

    Conseil sur la manipulation

    Aliquot to Avoid freeze/thaw cycles.

    Stock

    -20 °C

    Stockage commentaire

    Store at -20°C. Aliquot to avoid freeze/thaw cycles.
  • Antigène

    STK16 (serine/threonine Kinase 16 (STK16))

    Autre désignation

    STK16

    Sujet

    Name/Gene ID: STK16
    Subfamily: NAK
    Family: Protein Kinase

    Synonyms: STK16, EDPK, HPSK, KRCT, PKL12, Protein kinase PKL12, TGF-beta-stimulated factor 1, Serine/threonine kinase 16, Tyrosine-protein kinase STK16, MPSK, MPSK1, TSF-1

    ID gène

    8576

    UniProt

    O75716
Vous êtes ici:
Chat with us!