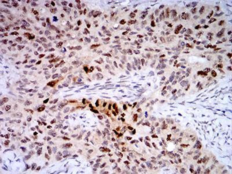
TTF1 anticorps (AA 1-150)
Aperçu rapide pour TTF1 anticorps (AA 1-150) (ABIN5871603)
Antigène
Voir toutes TTF1 AnticorpsReactivité
Hôte
Clonalité
Conjugué
Application
-
-
Épitope
- AA 1-150
-
Attributs du produit
- Isotype: Mouse IgG1
-
Immunogène
- Purified recombinant fragment of human TTF1 (AA: 1-150) expressed in E. Coli.
-
Isotype
- IgG1
-
-
-
-
Restrictions
- For Research Use only
-
-
-
Format
- Liquid
-
Buffer
- Purified antibody in PBS with 0.05 % sodium azide.
-
Agent conservateur
- Sodium azide
-
Précaution d'utilisation
- This product contains Sodium azide: a POISONOUS AND HAZARDOUS SUBSTANCE which should be handled by trained staff only.
-
Stock
- -20 °C
-
Stockage commentaire
- Aliquot and store at -20 °C. Avoid repeated freeze/thaw cycles.
-
-
- TTF1 (Transcription Termination Factor, RNA Polymerase I (TTF1))
-
Autre désignation
- TTF1
-
Poids moléculaire
- 103 kDa
-
ID gène
- 7270
-
UniProt
- Q15361
-
Pathways
- Thyroid Hormone Synthesis, Regulation of Systemic Arterial Blood Pressure by Hormones, Feeding Behaviour
Antigène
-