Tel:
+49 (0)241 95 163 153
Fax:
+49 (0)241 95 163 155
E-Mail:
orders@anticorps-enligne.fr

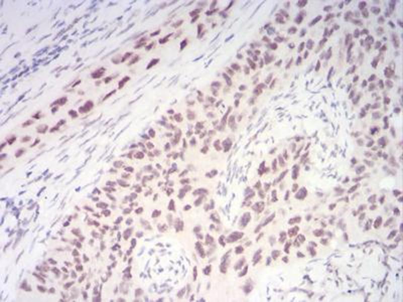
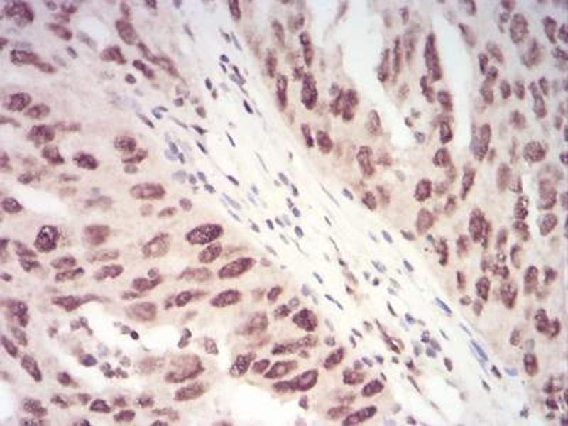
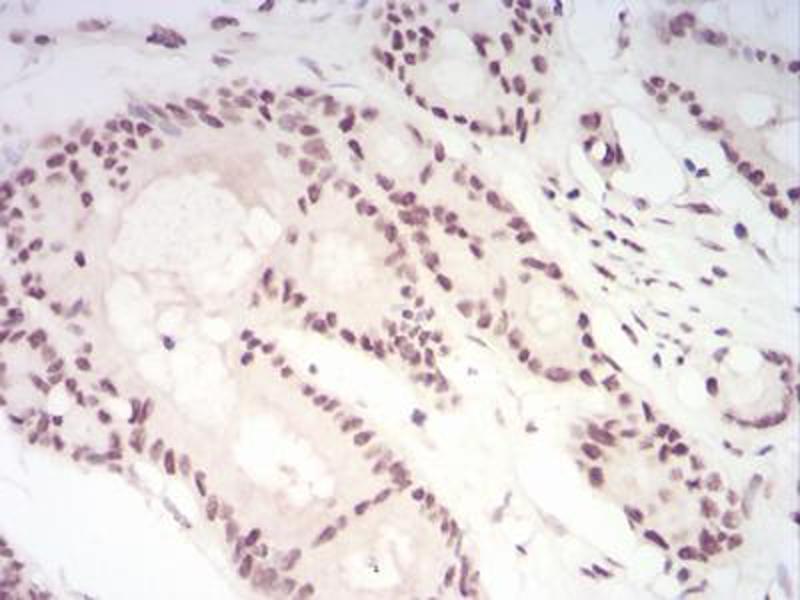
CBX1 anticorps (AA 1-185)

L’anticorps anti-CBX1 Monoclonal Souris est utilisé pour la détection de CBX1 dans des échantillons de Humain.
N° du produit ABIN5890956
620,49 €
Plus frais de livraison 40,00 € et TVA
100 μL
Destination: France
Envoi sous 7 à 13 jours ouvrables

Aperçu rapide pour CBX1 anticorps (AA 1-185) (ABIN5890956)

Antigène

Voir toutes CBX1 Anticorps
CBX1 (Chromobox Homolog 1 (CBX1))

Reactivité

  • 49
  • 20
  • 17
  • 7
  • 7
  • 6
  • 5
  • 5
  • 4
  • 3
  • 3
  • 2
  • 2
  • 1
  • 1
Humain

Hôte

  • 36
  • 10
  • 2
  • 1
Souris

Clonalité

  • 35
  • 13
  • 1
Monoclonal

Conjugué

  • 36
  • 2
  • 1
  • 1
  • 1
  • 1
  • 1
  • 1
  • 1
  • 1
  • 1
  • 1
  • 1
Cet anticorp CBX1 est non-conjugé

Application

Veuillez nous consulter SVP
  • Épitope

    • 8
    • 7
    • 2
    • 2
    • 2
    • 2
    • 1
    • 1
    • 1
    • 1
    • 1
    • 1
    • 1
    • 1
    • 1
    AA 1-185

    Attributs du produit

    Isotype: Mouse IgG1

    Immunogène

    Purified recombinant fragment of human CBX1 (AA: 1-185) expressed in E. Coli.

    Isotype

    IgG1
  • Restrictions

    For Research Use only
  • Format

    Liquid

    Buffer

    Purified antibody in PBS with 0.05 % sodium azide.

    Agent conservateur

    Sodium azide

    Précaution d'utilisation

    This product contains Sodium azide: a POISONOUS AND HAZARDOUS SUBSTANCE which should be handled by trained staff only.

    Stock

    -20 °C

    Stockage commentaire

    Aliquot and store at -20 °C. Avoid repeated freeze/thaw cycles.
  • Antigène

    CBX1 (Chromobox Homolog 1 (CBX1))

    Autre désignation

    CBX1

    Poids moléculaire

    21.4 kDa

    ID gène

    10951

    UniProt

    P83916
Vous êtes ici:
Chat with us!