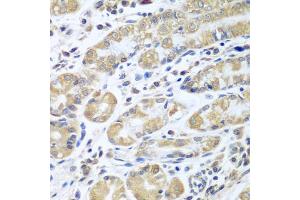
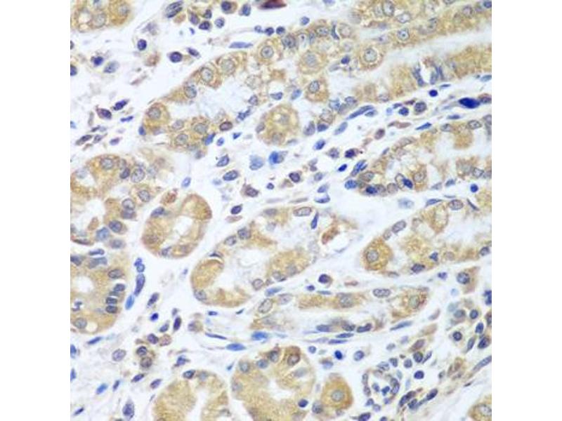
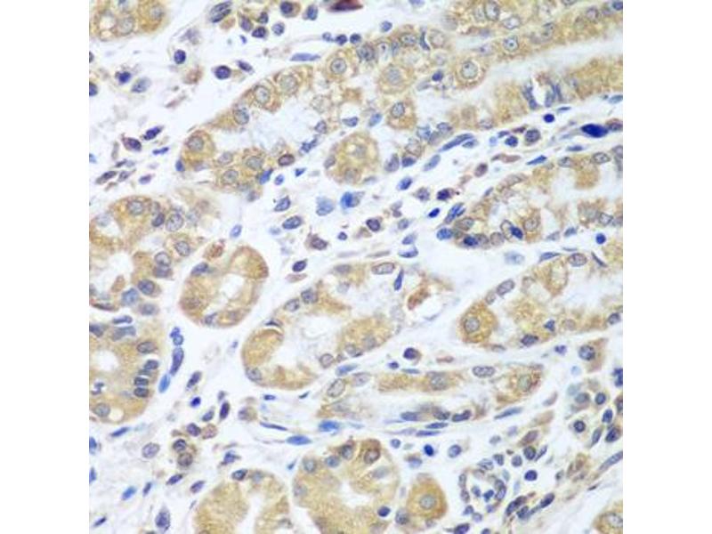
EIF1AX anticorps
Aperçu rapide pour EIF1AX anticorps (ABIN5973507)
Antigène
Voir toutes EIF1AX AnticorpsReactivité
Hôte
Clonalité
Conjugué
Application
-
-
Purification
- Affinity purified
-
Immunogène
- Recombinant protein of human EIF1AX.
-
Isotype
- IgG
-
-
-
-
Indications d'application
- Optimal working dilution should be determined by the investigator.
-
Restrictions
- For Research Use only
-
-
-
Format
- Liquid
-
Concentration
- Lot specific
-
Buffer
- PBS, pH 7.3, 0.02 % sodium azide, 50 % glycerol.
-
Agent conservateur
- Sodium azide
-
Précaution d'utilisation
- This product contains Sodium azide: a POISONOUS AND HAZARDOUS SUBSTANCE which should be handled by trained staff only.
-
Stock
- -20 °C
-
Stockage commentaire
- Aliquot and store at -20 °C. Avoid repeated freeze/thaw cycles.
-
-
- EIF1AX (Eukaryotic Translation Initiation Factor 1A, X-Linked (EIF1AX))
-
Autre désignation
- EIF1AX
-
Poids moléculaire
-
Calculated MW: 16 kDa
Observed MW: 16 kDa -
ID gène
- 1964
-
UniProt
- P47813
Antigène
-