GNPDA2 anticorps (C-Term)
Aperçu rapide pour GNPDA2 anticorps (C-Term) (ABIN605075)
Antigène
Voir toutes GNPDA2 AnticorpsReactivité
Hôte
Clonalité
Conjugué
Application
-
-
Épitope
- C-Term
-
Specificité
- GNPDA2 antibody is predicted to not cross-react with GNPDA1.
-
Purification
- Immunoaffinity purified
-
Isotype
- IgG
-
-
-
-
Indications d'application
-
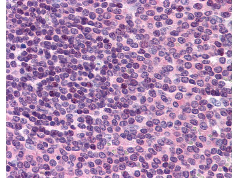
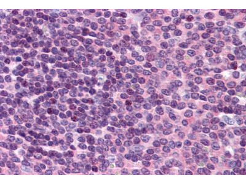
Approved: ELISA, ICC (4 μg/mL), IHC, IHC-P (5 μg/mL), WB (1 - 2 μg/mL)
Usage: GNPDA2 antibody can be used for detection of GNPDA2 by Western blot at 1-2 μg/mL. -
Commentaires
-
Target Species of Antibody: Human
-
Restrictions
- For Research Use only
-
-
-
Format
- Liquid
-
Concentration
- Lot specific
-
Buffer
- PBS, 0.02 % sodium azide
-
Agent conservateur
- Sodium azide
-
Précaution d'utilisation
- This product contains Sodium azide: a POISONOUS AND HAZARDOUS SUBSTANCE which should be handled by trained staff only.
-
Conseil sur la manipulation
- avoid freeze thaw cycles. Store undiluted.
-
Stock
- 4 °C,-20 °C
-
Stockage commentaire
- Store at 4°C for 3 months and -20°C, stable for up to 1 year. Avoid repeated freeze-thaw cycles.
-
Date de péremption
- 12 months
-
-
- GNPDA2 (Glucosamine-6-Phosphate Deaminase 2 (GNPDA2))
-
Autre désignation
- GNPDA2
-
Sujet
-
Name/Gene ID: GNPDA2
Synonyms: GNPDA2, GlcN6P deaminase 2, GNP2, GNPDA 2, SB52 -
ID gène
- 132789
-
UniProt
- Q8TDQ7
Antigène
-