Tel:
+49 (0)241 95 163 153
Fax:
+49 (0)241 95 163 155
E-Mail:
orders@anticorps-enligne.fr

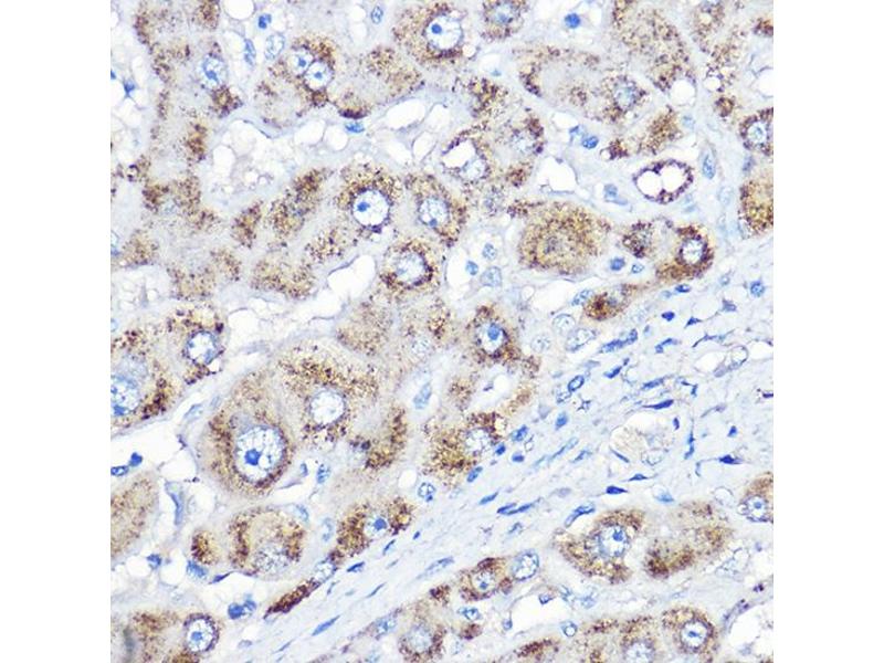
AGXT anticorps (AA 183-392)

Cet anticorps anti-AGXT Polyclonal Lapin (ABIN6136660) détecte spécifiquement AGXT dans WB et IHC. L’anticorps est réactif avec des échantillons de Humain.
N° du produit ABIN6136660
320,00 €
Plus frais de livraison 40,00 € et TVA
Destination: France
Envoi sous 8 à 10 jours ouvrables

Aperçu rapide pour AGXT anticorps (AA 183-392) (ABIN6136660)

Antigène

Voir toutes AGXT Anticorps
AGXT (Alanine Glyoxylate Aminotransferase (AGXT))

Reactivité

  • 36
  • 11
  • 4
Humain

Hôte

  • 35
  • 7
  • 2
Lapin

Clonalité

  • 37
  • 7
Polyclonal

Conjugué

  • 25
  • 5
  • 3
  • 3
  • 1
  • 1
  • 1
  • 1
  • 1
  • 1
  • 1
  • 1
Cet anticorp AGXT est non-conjugé

Application

  • 23
  • 20
  • 14
  • 11
  • 6
  • 5
  • 5
  • 3
  • 2
Western Blotting (WB), Immunohistochemistry (IHC)
  • Épitope

    • 8
    • 5
    • 5
    • 3
    • 3
    • 2
    • 1
    • 1
    • 1
    • 1
    • 1
    • 1
    AA 183-392

    Séquence

    DSVASLGGTP LYMDRQGIDI LYSGSQKALN APPGTSLISF SDKAKKKMYS RKTKPFSFYL DIKWLANFWG CDDQPRMYHH TIPVISLYSL RESLALIAEQ GLENSWRQHR EAAAYLHGRL QALGLQLFVK DPALRLPTVT TVAVPAGYDW RDIVSYVIDH FDIEIMGGLG PSTGKVLRIG LLGCNATREN VDRVTEALRA ALQHCPKKKL

     Réactivité croisée

    Humain

    Attributs du produit

    Polyclonal Antibodies

    Purification

    Affinity purification

    Immunogène

    Recombinant fusion protein containing a sequence corresponding to amino acids 183-392 of human AGXT (NP_000021.1).

    Isotype

    IgG
  • Indications d'application

    WB,1:500 - 1:2000,IHC,1:50 - 1:200

    Commentaires

    HIGH QUALITY

    Restrictions

    For Research Use only
  • Format

    Liquid

    Buffer

    PBS with 0.02 % sodium azide,50 % glycerol, pH 7.3.

    Agent conservateur

    Sodium azide

    Précaution d'utilisation

    This product contains Sodium azide: a POISONOUS AND HAZARDOUS SUBSTANCE which should be handled by trained staff only.

    Stock

    -20 °C

    Stockage commentaire

    Store at -20°C. Avoid freeze / thaw cycles.
  • Antigène

    AGXT (Alanine Glyoxylate Aminotransferase (AGXT))

    Autre désignation

    AGXT

    Sujet

    This gene is expressed only in the liver and the encoded protein is localized mostly in the peroxisomes, where it is involved in glyoxylate detoxification. Mutations in this gene, some of which alter subcellular targetting, have been associated with type I primary hyperoxaluria.,AGXT,AGT,AGT1,AGXT1,PH1,SPAT,SPT,TLH6,Signal Transduction,Endocrine & Metabolism,Amino acid metabolism,AGXT

    Poids moléculaire

    43 kDa

    ID gène

    189

    UniProt

    P21549

    Pathways

    Monocarboxylic Acid Catabolic Process, Dicarboxylic Acid Transport
Vous êtes ici:
Chat with us!