Tel:
+49 (0)241 95 163 153
Fax:
+49 (0)241 95 163 155
E-Mail:
orders@anticorps-enligne.fr

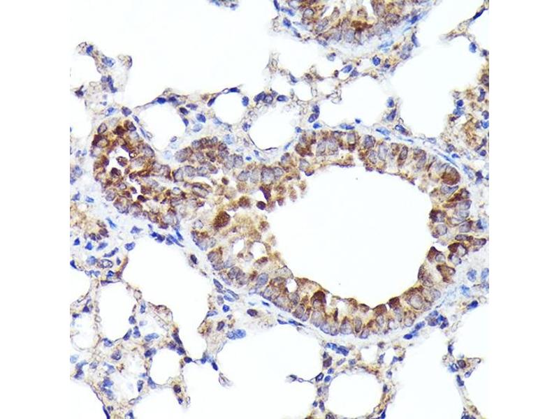
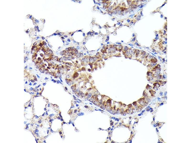
BNIP3L/NIX anticorps (AA 1-187)

Cet anticorps anti-BNIP3L/NIX Polyclonal Lapin (ABIN6137622) détecte spécifiquement BNIP3L/NIX dans WB, IHC et IF. L’anticorps est réactif avec des échantillons de Humain.
N° du produit ABIN6137622
320,00 €
Plus frais de livraison 40,00 € et TVA
Destination: France
Envoi sous 8 à 10 jours ouvrables

Aperçu rapide pour BNIP3L/NIX anticorps (AA 1-187) (ABIN6137622)

Antigène

Voir toutes BNIP3L/NIX (BNIP3L) Anticorps
BNIP3L/NIX (BNIP3L) (BCL2/adenovirus E1B 19kDa Interacting Protein 3-Like (BNIP3L))

Reactivité

  • 63
  • 53
  • 27
  • 4
  • 4
  • 3
  • 3
  • 3
  • 3
  • 1
  • 1
Humain

Hôte

  • 74
  • 3
  • 1
Lapin

Clonalité

  • 54
  • 24
Polyclonal

Conjugué

  • 35
  • 4
  • 3
  • 3
  • 3
  • 3
  • 3
  • 3
  • 2
  • 2
  • 2
  • 2
  • 1
  • 1
  • 1
  • 1
  • 1
  • 1
  • 1
  • 1
  • 1
  • 1
  • 1
  • 1
  • 1
Cet anticorp BNIP3L/NIX est non-conjugé

Application

  • 46
  • 33
  • 22
  • 14
  • 13
  • 13
  • 9
  • 9
  • 7
  • 5
  • 3
  • 1
Western Blotting (WB), Immunohistochemistry (IHC), Immunofluorescence (IF)
  • Épitope

    • 15
    • 6
    • 4
    • 3
    • 2
    • 2
    • 2
    • 2
    • 2
    • 2
    • 2
    • 2
    • 1
    • 1
    • 1
    • 1
    • 1
    • 1
    • 1
    AA 1-187

    Séquence

    MSSHLVEPPP PLHNNNNNCE ENEQSLPPPA GLNSSWVELP MNSSNGNDNG NGKNGGLEHV PSSSSIHNGD MEKILLDAQH ESGQSSSRGS SHCDSPSPQE DGQIMFDVEM HTSRDHSSQS EEEVVEGEKE VEALKKSADW VSDWSSRPEN IPPKEFHFRH PKRSVSLSMR KSGAMKKGGI FSAEFLK

     Réactivité croisée

    Humain, Souris, Rat

    Attributs du produit

    Polyclonal Antibodies

    Purification

    Affinity purification

    Immunogène

    Recombinant fusion protein containing a sequence corresponding to amino acids 1-187 of human BNIP3L (NP_004322.1).

    Isotype

    IgG
  • Indications d'application

    WB,1:500 - 1:2000,IHC,1:50 - 1:200,IF,1:50 - 1:200

    Commentaires

    HIGH QUALITY

    Restrictions

    For Research Use only
  • Format

    Liquid

    Buffer

    PBS with 0.02 % sodium azide,50 % glycerol, pH 7.3.

    Agent conservateur

    Sodium azide

    Précaution d'utilisation

    This product contains Sodium azide: a POISONOUS AND HAZARDOUS SUBSTANCE which should be handled by trained staff only.

    Stock

    -20 °C

    Stockage commentaire

    Store at -20°C. Avoid freeze / thaw cycles.
  • Antigène

    BNIP3L/NIX (BNIP3L) (BCL2/adenovirus E1B 19kDa Interacting Protein 3-Like (BNIP3L))

    Autre désignation

    BNIP3L

    Sujet

    This gene encodes a protein that belongs to the pro-apoptotic subfamily within the Bcl-2 family of proteins. The encoded protein binds to Bcl-2 and possesses the BH3 domain. The protein directly targets mitochondria and causes apoptotic changes, including loss of membrane potential and the release of cytochrome c.,BNIP3L,BNIP3a,NIX,Cancer,Tumor suppressors,p53 pathway,Invasion and Metastasis,Cell Biology & Developmental Biology,Apoptosis,Bcl 2 family,Autophagy,Wnt/β-Catenin Signaling Pathway,Endocrine & Metabolism,Mitochondrial metabolism,Mitophagy fission and fusion,Cardiovascular,Heart,Mitochondrial Control of Autophagy,BNIP3L

    Poids moléculaire

    19 kDa/23 kDa

    ID gène

    665

    UniProt

    O60238

    Pathways

    Autophagy
Vous êtes ici:
Chat with us!