Tel:
+49 (0)241 95 163 153
Fax:
+49 (0)241 95 163 155
E-Mail:
orders@anticorps-enligne.fr

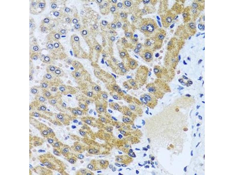
CPA6 anticorps (AA 130-437)

L’anticorps anti-CPA6 Polyclonal Lapin est utilisé pour la détection de CPA6 dans des échantillons de Humain. Il a été validé pour WB, IHC et IF.
N° du produit ABIN6138930
320,00 €
Plus frais de livraison 40,00 € et TVA
Destination: France
Envoi sous 8 à 10 jours ouvrables

Aperçu rapide pour CPA6 anticorps (AA 130-437) (ABIN6138930)

Antigène

Voir toutes CPA6 Anticorps
CPA6 (Carboxypeptidase A6 (CPA6))

Reactivité

  • 21
  • 6
  • 3
  • 2
  • 2
  • 1
  • 1
  • 1
  • 1
  • 1
  • 1
Humain

Hôte

  • 21
Lapin

Clonalité

  • 21
Polyclonal

Conjugué

  • 12
  • 3
  • 2
  • 2
  • 1
  • 1
Cet anticorp CPA6 est non-conjugé

Application

  • 15
  • 14
  • 2
  • 1
  • 1
  • 1
  • 1
  • 1
  • 1
Western Blotting (WB), Immunohistochemistry (IHC), Immunofluorescence (IF)
  • Épitope

    • 7
    • 5
    • 2
    • 2
    • 1
    • 1
    • 1
    • 1
    AA 130-437

    Séquence

    SLSGYNYEVY HSLEEIQNWM HHLNKTHSGL IHMFSIGRSY EGRSLFILKL GRRSRLKRAV WIDCGIHARE WIGPAFCQWF VKEALLTYKS DPAMRKMLNH LYFYIMPVFN VDGYHFSWTN DRFWRKTRSR NSRFRCRGVD ANRNWKVKWC DEGASMHPCD DTYCGPFPES EPEVKAVANF LRKHRKHIRA YLSFHAYAQM LLYPYSYKYA TIPNFRCVES AAYKAVNALQ SVYGVRYRYG PASTTLYVSS GSSMDWAYKN GIPYAFAFEL RDTGYFGFLL PEMLIKPTCT ETMLAVKNIT MHLLKKCP

     Réactivité croisée

    Humain, Souris, Rat

    Attributs du produit

    Polyclonal Antibodies

    Purification

    Affinity purification

    Immunogène

    Recombinant fusion protein containing a sequence corresponding to amino acids 130-437 of human CPA6 (NP_065094.3).

    Isotype

    IgG
  • Indications d'application

    WB,1:500 - 1:2000,IHC,1:50 - 1:200,IF,1:50 - 1:200

    Restrictions

    For Research Use only
  • Format

    Liquid

    Buffer

    PBS with 0.02 % sodium azide,50 % glycerol, pH 7.3.

    Agent conservateur

    Sodium azide

    Précaution d'utilisation

    This product contains Sodium azide: a POISONOUS AND HAZARDOUS SUBSTANCE which should be handled by trained staff only.

    Stock

    -20 °C

    Stockage commentaire

    Store at -20°C. Avoid freeze / thaw cycles.
  • Antigène

    CPA6 (Carboxypeptidase A6 (CPA6))

    Autre désignation

    CPA6

    Sujet

    The gene encodes a member of the peptidase M14 family of metallocarboxypeptidases. The encoded preproprotein is proteolytically processed to generate the mature enzyme, which catalyzes the release of large hydrophobic C-terminal amino acids. This enzyme has functions ranging from digestion of food to selective biosynthesis of neuroendocrine peptides. Mutations in this gene may be linked to epilepsy and febrile seizures, and a translocation t(6,8)(q26,q13) involving this gene has been associated with Duane retraction syndrome.,CPA6,CPAH,ETL5,FEB11,Cancer,Signal Transduction,Cell Biology & Developmental Biology,Cell Adhesion,Cytoskeleton,Extracellular Matrix,Endocrine & Metabolism,Neuroscience,CPA6

    Poids moléculaire

    10 kDa/37 kDa/51 kDa

    ID gène

    57094

    UniProt

    Q8N4T0
Vous êtes ici:
Chat with us!