Tel:
+49 (0)241 95 163 153
Fax:
+49 (0)241 95 163 155
E-Mail:
orders@anticorps-enligne.fr

DDX3X anticorps (AA 1-220)

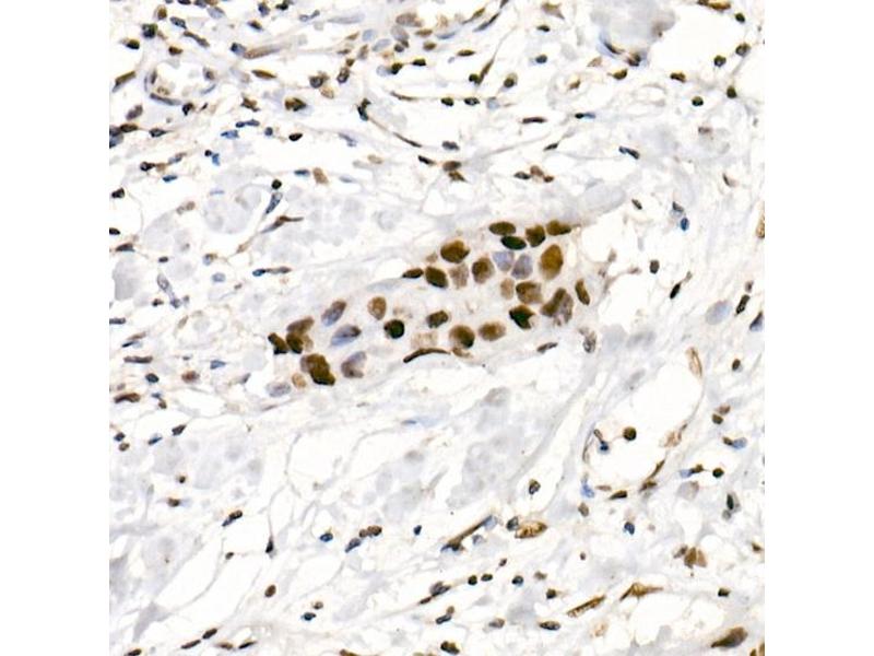
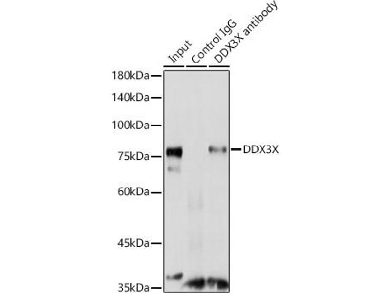
L’anticorps anti-DDX3X Polyclonal Lapin est utilisé pour la détection de DDX3X dans des échantillons de Humain. Il a été validé pour WB, IHC, IF et IP.
N° du produit ABIN6139494
320,00 €
Plus frais de livraison 40,00 € et TVA
Destination: France
Envoi sous 8 à 10 jours ouvrables

Aperçu rapide pour DDX3X anticorps (AA 1-220) (ABIN6139494)

Antigène

Voir toutes DDX3X Anticorps
DDX3X (DEAD (Asp-Glu-Ala-Asp) Box Polypeptide 3, X-Linked (DDX3X))

Reactivité

  • 110
  • 47
  • 37
  • 5
  • 5
  • 5
  • 4
  • 4
  • 4
  • 1
  • 1
  • 1
Humain

Hôte

  • 97
  • 13
Lapin

Clonalité

  • 96
  • 13
Polyclonal

Conjugué

  • 66
  • 5
  • 5
  • 4
  • 2
  • 2
  • 2
  • 2
  • 2
  • 2
  • 2
  • 2
  • 2
  • 2
  • 2
  • 1
  • 1
  • 1
  • 1
  • 1
  • 1
  • 1
  • 1
Cet anticorp DDX3X est non-conjugé

Application

  • 77
  • 41
  • 34
  • 26
  • 26
  • 20
  • 16
  • 14
  • 13
  • 7
  • 6
  • 3
  • 3
  • 2
  • 1
  • 1
  • 1
  • 1
  • 1
Western Blotting (WB), Immunohistochemistry (IHC), Immunofluorescence (IF), Immunoprecipitation (IP)
  • Épitope

    • 18
    • 15
    • 9
    • 7
    • 6
    • 4
    • 3
    • 3
    • 2
    • 2
    • 2
    • 2
    • 1
    • 1
    • 1
    • 1
    • 1
    • 1
    • 1
    • 1
    • 1
    • 1
    • 1
    • 1
    • 1
    • 1
    • 1
    • 1
    • 1
    AA 1-220

    Séquence

    MSHVAVENAL GLDQQFAGLD LNSSDNQSGG STASKGRYIP PHLRNREATK GFYDKDSSGW SSSKDKDAYS SFGSRSDSRG KSSFFSDRGS GSRGRFDDRG RSDYDGIGSR GDRSGFGKFE RGGNSRWCDK SDEDDWSKPL PPSERLEQEL FSGGNTGINF EKYDDIPVEA TGNNCPPHIE SFSDVEMGEI IMGNIELTRY TRPTPVQKHA IPIIKEKRDL

     Réactivité croisée

    Humain, Souris, Rat

    Attributs du produit

    Polyclonal Antibodies

    Purification

    Affinity purification

    Immunogène

    Recombinant fusion protein containing a sequence corresponding to amino acids 1-220 of human DDX3X (NP_001347.3).

    Isotype

    IgG
  • Indications d'application

    WB,1:500 - 1:2000,IHC,1:50 - 1:200,IF,1:50 - 1:200,IP,1:50 - 1:200

    Commentaires

    HIGH QUALITY

    Restrictions

    For Research Use only
  • Format

    Liquid

    Buffer

    PBS with 0.02 % sodium azide,50 % glycerol, pH 7.3.

    Agent conservateur

    Sodium azide

    Précaution d'utilisation

    This product contains Sodium azide: a POISONOUS AND HAZARDOUS SUBSTANCE which should be handled by trained staff only.

    Stock

    -20 °C

    Stockage commentaire

    Store at -20°C. Avoid freeze / thaw cycles.
  • Antigène

    DDX3X (DEAD (Asp-Glu-Ala-Asp) Box Polypeptide 3, X-Linked (DDX3X))

    Autre désignation

    DDX3X

    Sujet

    The protein encoded by this gene is a member of the large DEAD-box protein family, that is defined by the presence of the conserved Asp-Glu-Ala-Asp (DEAD) motif, and has ATP-dependent RNA helicase activity. This protein has been reported to display a high level of RNA-independent ATPase activity, and unlike most DEAD-box helicases, the ATPase activity is thought to be stimulated by both RNA and DNA. This protein has multiple conserved domains and is thought to play roles in both the nucleus and cytoplasm. Nuclear roles include transcriptional regulation, mRNP assembly, pre-mRNA splicing, and mRNA export. In the cytoplasm, this protein is thought to be involved in translation, cellular signaling, and viral replication. Misregulation of this gene has been implicated in tumorigenesis. This gene has a paralog located in the nonrecombining region of the Y chromosome. Pseudogenes sharing similarity to both this gene and the DDX3Y paralog are found on chromosome 4 and the X chromosome. Alternative splicing results in multiple transcript variants.,DDX3X,CAP-Rf,DBX,DDX14,DDX3,HLP2,MRX102,Epigenetics & Nuclear Signaling,RNA Binding,Cell Biology & Developmental Biology,Stem Cells,Embryonic Stem Cells,DDX3X

    Poids moléculaire

    71 kDa/73 kDa

    ID gène

    1654

    UniProt

    O00571

    Pathways

    Ribonucleoprotein Complex Subunit Organization, Positive Regulation of Endopeptidase Activity, Negative Regulation of intrinsic apoptotic Signaling, Ribosome Assembly
Vous êtes ici:
Chat with us!