Tel:
+49 (0)241 95 163 153
Fax:
+49 (0)241 95 163 155
E-Mail:
orders@anticorps-enligne.fr

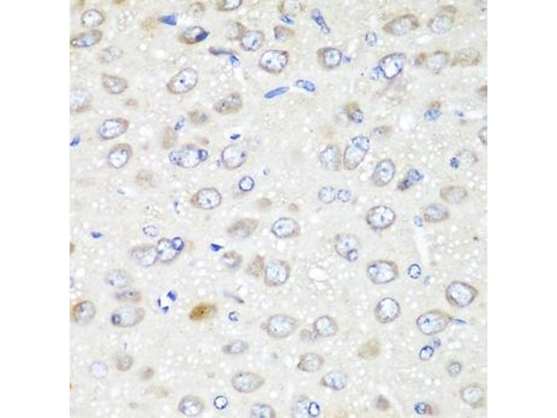
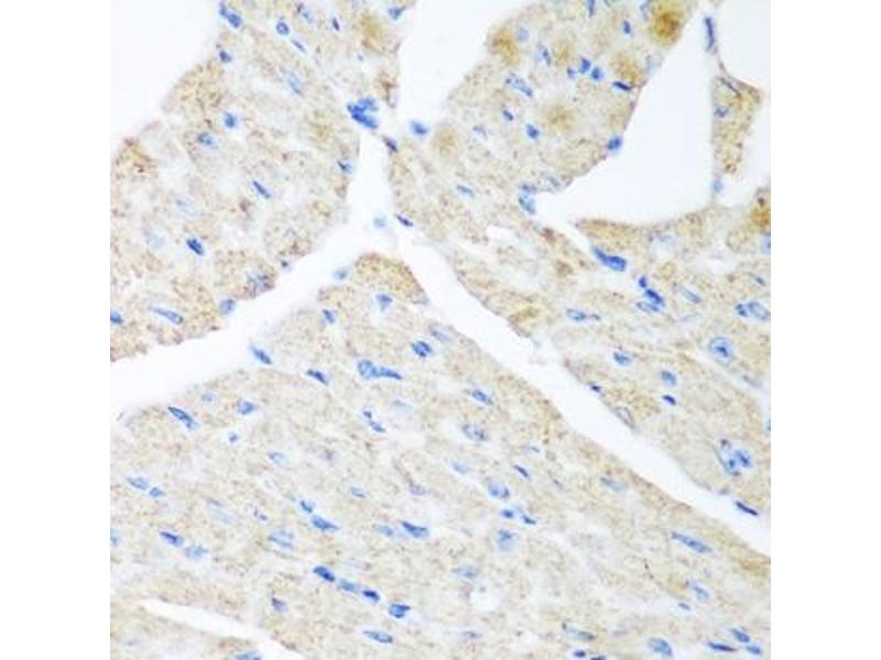
GABARAPL2 anticorps (AA 1-117)

L’anticorps Lapin Polyclonal anti-GABARAPL2 a été validé pour WB et IHC. Il convient pour détecter GABARAPL2 dans des échantillons de Humain.
N° du produit ABIN6140881

Aperçu rapide pour GABARAPL2 anticorps (AA 1-117) (ABIN6140881)

Antigène

Voir toutes GABARAPL2 Anticorps
GABARAPL2 (GABA(A) Receptor-Associated Protein-Like 2 (GABARAPL2))

Reactivité

  • 67
  • 18
  • 8
  • 4
  • 4
  • 4
  • 4
  • 4
  • 4
  • 3
  • 2
  • 2
  • 2
  • 2
  • 2
  • 2
Humain

Hôte

  • 67
  • 3
Lapin

Clonalité

  • 65
  • 5
Polyclonal

Conjugué

  • 29
  • 9
  • 8
  • 8
  • 5
  • 5
  • 1
  • 1
  • 1
  • 1
  • 1
  • 1
Cet anticorp GABARAPL2 est non-conjugé

Application

  • 45
  • 43
  • 38
  • 9
  • 4
  • 4
  • 3
  • 3
  • 1
  • 1
Western Blotting (WB), Immunohistochemistry (IHC)
  • Épitope

    • 11
    • 8
    • 7
    • 7
    • 6
    • 2
    • 1
    • 1
    • 1
    • 1
    • 1
    AA 1-117

    Séquence

    MKWMFKEDHS LEHRCVESAK IRAKYPDRVP VIVEKVSGSQ IVDIDKRKYL VPSDITVAQF MWIIRKRIQL PSEKAIFLFV DKTVPQSSLT MGQLYEKEKD EDGFLYVAYS GENTFGF

     Réactivité croisée

    Humain, Souris, Rat

    Attributs du produit

    Polyclonal Antibodies

    Purification

    Affinity purification

    Immunogène

    Recombinant fusion protein containing a sequence corresponding to amino acids 1-117 of human GABARAPL2 (NP_009216.1).

    Isotype

    IgG
  • Indications d'application

    WB,1:500 - 1:2000,IHC,1:50 - 1:200

    Restrictions

    For Research Use only
  • Format

    Liquid

    Buffer

    PBS with 0.02 % sodium azide,50 % glycerol, pH 7.3.

    Agent conservateur

    Sodium azide

    Précaution d'utilisation

    This product contains Sodium azide: a POISONOUS AND HAZARDOUS SUBSTANCE which should be handled by trained staff only.

    Stock

    -20 °C

    Stockage commentaire

    Store at -20°C. Avoid freeze / thaw cycles.
  • Antigène

    GABARAPL2 (GABA(A) Receptor-Associated Protein-Like 2 (GABARAPL2))

    Autre désignation

    GABARAPL2

    Sujet

    Ubiquitin-like modifier involved in intra-Golgi traffic (By similarity. Modulates intra-Golgi transport through coupling between NSF activity and SNAREs activation (By similarity. It first stimulates the ATPase activity of NSF which in turn stimulates the association with GOSR1 (By similarity. Involved in autophagy. Plays a role in mitophagy which contributes to regulate mitochondrial quantity and quality by eliminating the mitochondria to a basal level to fulfill cellular energy requirements and preventing excess ROS production. Whereas LC3s are involved in elongation of the phagophore membrane, the GABARAP/GATE-16 subfamily is essential for a later stage in autophagosome maturation.,GABARAPL2,ATG8,ATG8C,GATE-16,GATE16,GEF-2,GEF2,Cancer,Signal Transduction,Cell Biology & Developmental Biology,Autophagy,Endocrine & Metabolism,Mitochondrial metabolism,Regulators,GABARAPL2

    Poids moléculaire

    13 kDa

    ID gène

    11345

    UniProt

    P60520

    Pathways

    Autophagy
Vous êtes ici:
Chat with us!