Tel:
+49 (0)241 95 163 153
Fax:
+49 (0)241 95 163 155
E-Mail:
orders@anticorps-enligne.fr

HPD anticorps (AA 1-393)

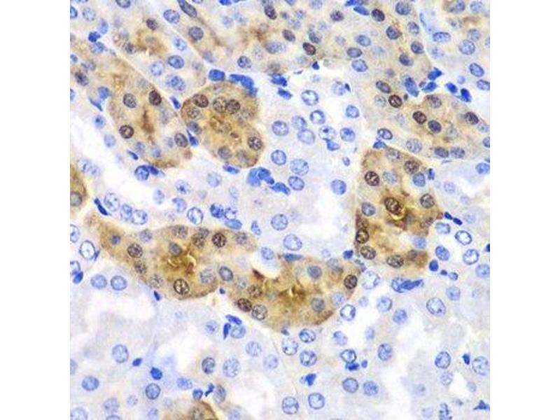
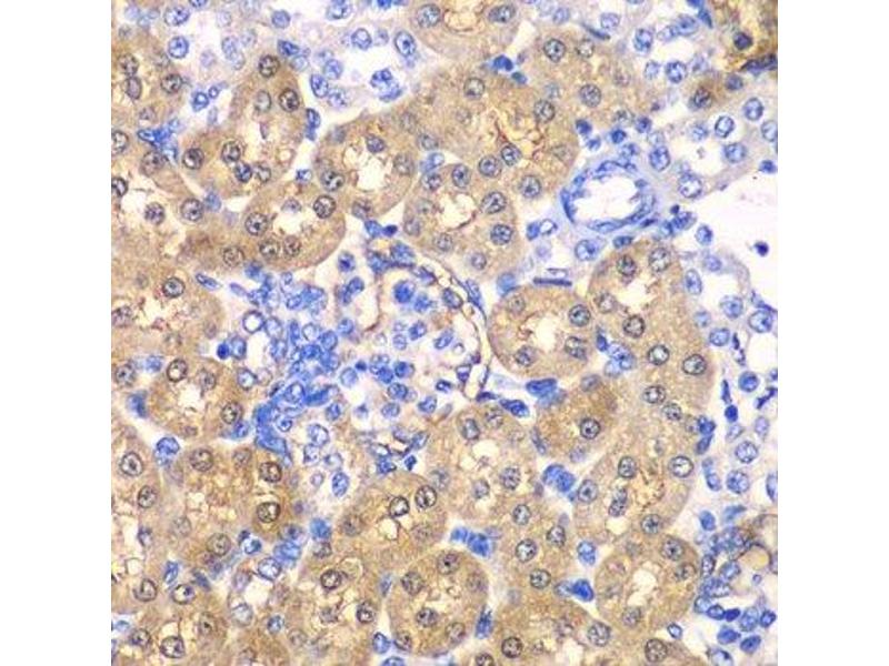
Cet anticorps anti-HPD Polyclonal Lapin (ABIN6141964) détecte spécifiquement HPD dans WB et IHC. L’anticorps est réactif avec des échantillons de Humain.
N° du produit ABIN6141964
320,00 €
Plus frais de livraison 40,00 € et TVA
Destination: France
Envoi sous 8 à 10 jours ouvrables

Aperçu rapide pour HPD anticorps (AA 1-393) (ABIN6141964)

Antigène

Voir toutes HPD Anticorps
HPD (4-Hydroxyphenylpyruvate Dioxygenase (HPD))

Reactivité

  • 66
  • 31
  • 14
  • 5
  • 4
  • 2
  • 2
  • 2
  • 2
  • 2
  • 2
  • 1
  • 1
  • 1
  • 1
Humain

Hôte

  • 69
  • 6
Lapin

Clonalité

  • 68
  • 7
Polyclonal

Conjugué

  • 29
  • 8
  • 8
  • 8
  • 3
  • 3
  • 3
  • 3
  • 3
  • 3
  • 2
  • 2
Cet anticorp HPD est non-conjugé

Application

  • 41
  • 35
  • 16
  • 7
  • 5
  • 4
  • 4
  • 4
  • 2
  • 1
  • 1
Western Blotting (WB), Immunohistochemistry (IHC)
  • Épitope

    • 9
    • 9
    • 8
    • 8
    • 4
    • 4
    • 1
    • 1
    • 1
    • 1
    AA 1-393

    Séquence

    MTTYSDKGAK PERGRFLHFH SVTFWVGNAK QAASFYCSKM GFEPLAYRGL ETGSREVVSH VIKQGKIVFV LSSALNPWNK EMGDHLVKHG DGVKDIAFEV EDCDYIVQKA RERGAKIMRE PWVEQDKFGK VKFAVLQTYG DTTHTLVEKM NYIGQFLPGY EAPAFMDPLL PKLPKCSLEM IDHIVGNQPD QEMVSASEWY LKNLQFHRFW SVDDTQVHTE YSSLRSIVVA NYEESIKMPI NEPAPGKKKS QIQEYVDYNG GAGVQHIALK TEDIITAIRH LRERGLEFLS VPSTYYKQLR EKLKTAKIKV KENIDALEEL KILVDYDEKG YLLQIFTKPV QDRPTLFLEV IQRHNHQGFG AGNFNSLFKA FEEEQNLRGN LTNMETNGVV PGM

     Réactivité croisée

    Humain, Souris, Rat

    Attributs du produit

    Polyclonal Antibodies

    Purification

    Affinity purification

    Immunogène

    Recombinant fusion protein containing a sequence corresponding to amino acids 1-393 of human HPD (NP_002141.1).

    Isotype

    IgG
  • Indications d'application

    WB,1:500 - 1:2000,IHC,1:50 - 1:200

    Commentaires

    HIGH QUALITY

    Restrictions

    For Research Use only
  • Format

    Liquid

    Buffer

    PBS with 0.02 % sodium azide,50 % glycerol, pH 7.3.

    Agent conservateur

    Sodium azide

    Précaution d'utilisation

    This product contains Sodium azide: a POISONOUS AND HAZARDOUS SUBSTANCE which should be handled by trained staff only.

    Stock

    -20 °C

    Stockage commentaire

    Store at -20°C. Avoid freeze / thaw cycles.
  • Antigène

    HPD (4-Hydroxyphenylpyruvate Dioxygenase (HPD))

    Autre désignation

    HPD

    Sujet

    The protein encoded by this gene is an enzyme in the catabolic pathway of tyrosine. The encoded protein catalyzes the conversion of 4-hydroxyphenylpyruvate to homogentisate. Defects in this gene are a cause of tyrosinemia type 3 (TYRO3) and hawkinsinuria (HAWK). Two transcript variants encoding different isoforms have been found for this gene.,HPD,4-HPPD,4HPPD,GLOD3,HPPDASE,PPD,Cancer,Signal Transduction,Cell Biology & Developmental Biology,Endocrine & Metabolism,Amino acid metabolism,HPD

    Poids moléculaire

    40 kDa/44 kDa

    ID gène

    3242

    UniProt

    P32754
Vous êtes ici:
Chat with us!