Tel:
+49 (0)241 95 163 153
Fax:
+49 (0)241 95 163 155
E-Mail:
orders@anticorps-enligne.fr

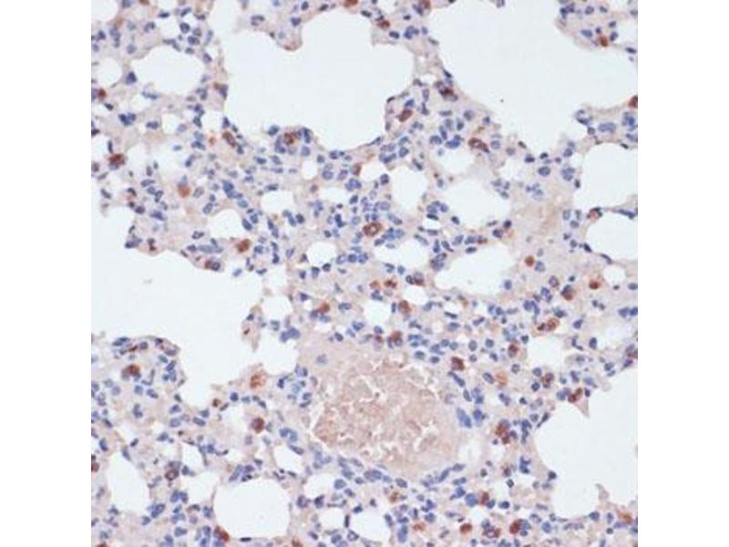
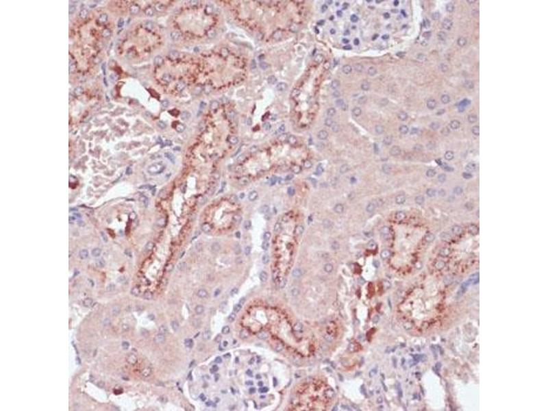
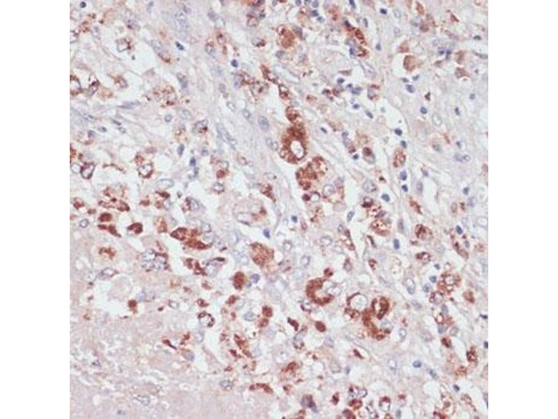
LYZ anticorps (AA 1-100)

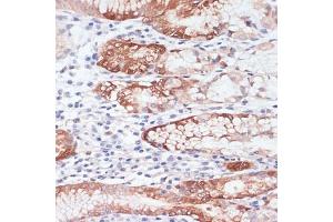
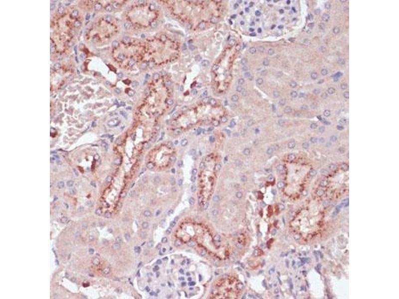
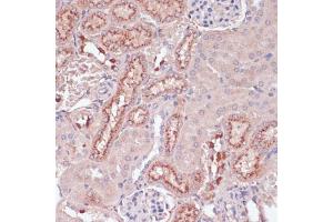
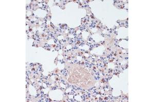
L’anticorps anti-LYZ Polyclonal Lapin est utilisé pour la détection de LYZ dans des échantillons de Humain. Il a été validé pour WB, IHC et IF.
N° du produit ABIN6143409
320,00 €
Plus frais de livraison 40,00 € et TVA
Destination: France
Envoi sous 8 à 10 jours ouvrables

Aperçu rapide pour LYZ anticorps (AA 1-100) (ABIN6143409)

Antigène

Voir toutes LYZ Anticorps
LYZ (Lysozyme (LYZ))

Reactivité

  • 115
  • 45
  • 28
  • 16
  • 4
  • 3
  • 3
  • 2
  • 2
  • 1
  • 1
  • 1
  • 1
  • 1
  • 1
Humain

Hôte

  • 101
  • 26
  • 11
  • 3
Lapin

Clonalité

  • 82
  • 58
Polyclonal

Conjugué

  • 77
  • 12
  • 11
  • 6
  • 3
  • 3
  • 3
  • 3
  • 3
  • 3
  • 2
  • 1
  • 1
  • 1
  • 1
  • 1
  • 1
  • 1
  • 1
  • 1
  • 1
  • 1
  • 1
  • 1
  • 1
  • 1
Cet anticorp LYZ est non-conjugé

Application

  • 79
  • 56
  • 30
  • 29
  • 28
  • 20
  • 15
  • 14
  • 13
  • 13
  • 8
  • 6
  • 5
  • 4
  • 3
  • 2
  • 2
  • 2
  • 1
  • 1
  • 1
  • 1
  • 1
Western Blotting (WB), Immunohistochemistry (IHC), Immunofluorescence (IF)
  • Épitope

    • 8
    • 6
    • 5
    • 3
    • 2
    • 2
    • 2
    • 2
    • 1
    • 1
    • 1
    • 1
    • 1
    • 1
    • 1
    AA 1-100

    Séquence

    MKALIVLGLV LLSVTVQGKV FERCELARTL KRLGMDGYRG ISLANWMCLA KWESGYNTRA TNYNAGDRST DYGIFQINSR YWCNDGKTPG AVNACHLSCS

     Réactivité croisée

    Humain, Souris

    Attributs du produit

    Polyclonal Antibodies

    Immunogène

    A synthetic peptide corresponding to a sequence within amino acids 1-100 of human Lysozyme (Lysozyme (LYZ)) (NP_000230.1).

    Isotype

    IgG
  • Indications d'application

    WB,1:500 - 1:2000,IHC,1:50 - 1:200,IF,1:50 - 1:200

    Restrictions

    For Research Use only
  • Format

    Liquid

    Buffer

    PBS with 0.02 % sodium azide,50 % glycerol, pH 7.3.

    Agent conservateur

    Sodium azide

    Précaution d'utilisation

    This product contains Sodium azide: a POISONOUS AND HAZARDOUS SUBSTANCE which should be handled by trained staff only.

    Stock

    -20 °C

    Stockage commentaire

    Store at -20°C. Avoid freeze / thaw cycles.
  • Antigène

    LYZ (Lysozyme (LYZ))

    Autre désignation

    LYZ

    Sujet

    This gene encodes human lysozyme, whose natural substrate is the bacterial cell wall peptidoglycan (cleaving the beta[1-4]glycosidic linkages between N-acetylmuramic acid and N-acetylglucosamine). Lysozyme is one of the antimicrobial agents found in human milk, and is also present in spleen, lung, kidney, white blood cells, plasma, saliva, and tears. The protein has antibacterial activity against a number of bacterial species. Missense mutations in this gene have been identified in heritable renal amyloidosis.,LYZ,LYZF1,LZM,lysozyme,Immunology & Inflammation,Cell Intrinsic Innate Immunity Signaling Pathway,Cardiovascular,Blood,LYZ

    Poids moléculaire

    16 kDa

    ID gène

    4069

    UniProt

    P61626
Vous êtes ici:
Chat with us!