Tel:
+49 (0)241 95 163 153
Fax:
+49 (0)241 95 163 155
E-Mail:
orders@anticorps-enligne.fr

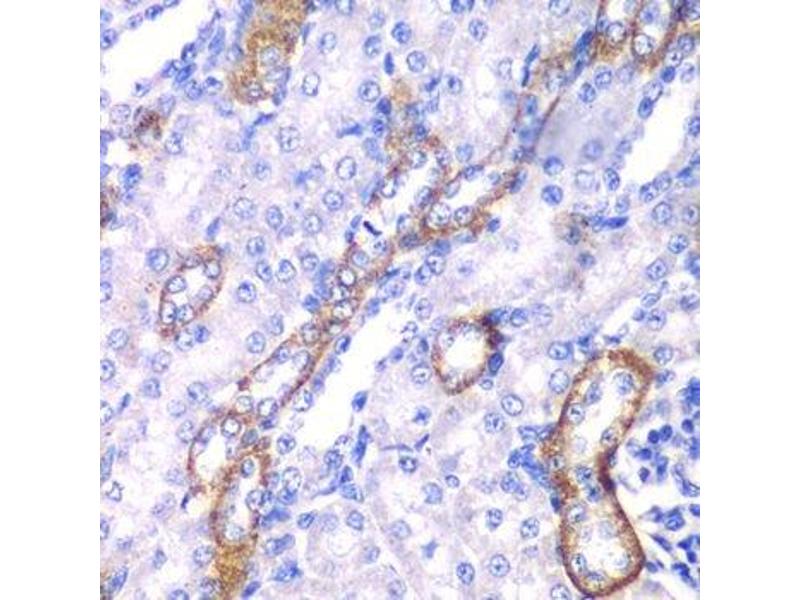
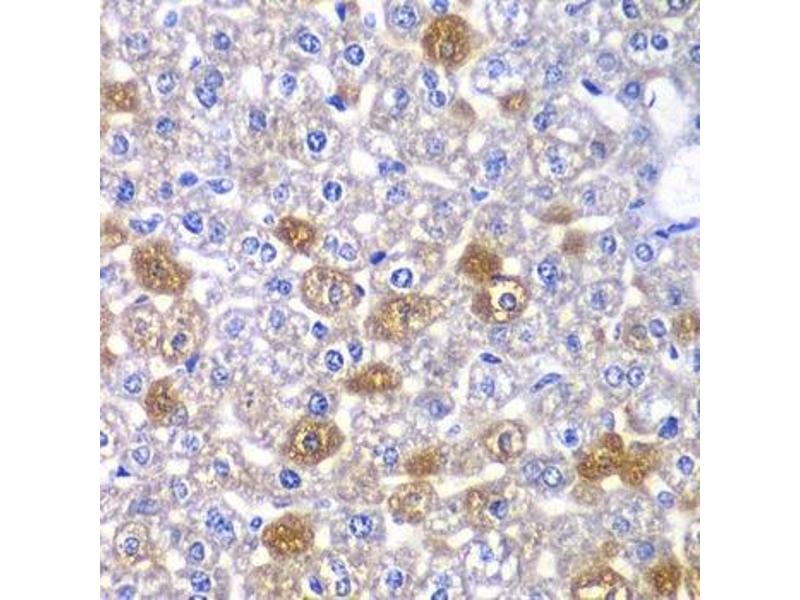
Myosin IC anticorps (AA 769-1028)

L’anticorps anti-Myosin IC Polyclonal Lapin est utilisé pour la détection de Myosin IC dans des échantillons de Humain. Il a été validé pour WB et IHC.
N° du produit ABIN6144280
320,00 €
Plus frais de livraison 40,00 € et TVA
Destination: France
Envoi sous 8 à 10 jours ouvrables

Aperçu rapide pour Myosin IC anticorps (AA 769-1028) (ABIN6144280)

Antigène

Voir toutes Myosin IC (MYO1C) Anticorps
Myosin IC (MYO1C)

Reactivité

  • 21
  • 9
  • 8
  • 2
  • 2
  • 2
  • 2
  • 2
  • 2
  • 1
  • 1
  • 1
  • 1
  • 1
Humain

Hôte

  • 22
  • 1
Lapin

Clonalité

  • 21
  • 2
Polyclonal

Conjugué

  • 18
  • 1
  • 1
  • 1
  • 1
  • 1
Cet anticorp Myosin IC est non-conjugé

Application

  • 20
  • 16
  • 10
  • 4
  • 4
  • 3
  • 1
  • 1
Western Blotting (WB), Immunohistochemistry (IHC)
  • Épitope

    • 6
    • 2
    • 2
    • 1
    • 1
    • 1
    • 1
    AA 769-1028

    Séquence

    ENAFFLDHVR TSFLLNLRRQ LPQNVLDTSW PTPPPALREA SELLRELCIK NMVWKYCRSI SPEWKQQLQQ KAVASEIFKG KKDNYPQSVP RLFISTRLGT DEISPRVLQA LGSEPIQYAV PVVKYDRKGY KPRSRQLLLT PNAVVIVEDA KVKQRIDYAN LTGISVSSLS DSLFVLHVQR ADNKQKGDVV LQSDHVIETL TKTALSANRV NSININQGSI TFAGGPGRDG TIDFTPGSEL LITKAKNGHL AVVAPRLNSR

     Réactivité croisée

    Humain, Souris, Rat

    Attributs du produit

    Polyclonal Antibodies

    Immunogène

    Recombinant fusion protein containing a sequence corresponding to amino acids 769-1028 of human MYO1C (NP_203693.3).

    Isotype

    IgG
  • Indications d'application

    WB,1:500 - 1:2000,IHC,1:50 - 1:200

    Commentaires

    HIGH QUALITY

    Restrictions

    For Research Use only
  • Format

    Liquid

    Buffer

    PBS with 0.02 % sodium azide,50 % glycerol, pH 7.3.

    Agent conservateur

    Sodium azide

    Précaution d'utilisation

    This product contains Sodium azide: a POISONOUS AND HAZARDOUS SUBSTANCE which should be handled by trained staff only.

    Stock

    -20 °C

    Stockage commentaire

    Store at -20°C. Avoid freeze / thaw cycles.
  • Antigène

    Myosin IC (MYO1C)

    Autre désignation

    MYO1C

    Sujet

    This gene encodes a member of the unconventional myosin protein family, which are actin-based molecular motors. The protein is found in the cytoplasm, and one isoform with a unique N-terminus is also found in the nucleus. The nuclear isoform associates with RNA polymerase I and II and functions in transcription initiation. The mouse ortholog of this protein also functions in intracellular vesicle transport to the plasma membrane. Multiple transcript variants encoding different isoforms have been found for this gene. The related gene myosin IE has been referred to as myosin IC in the literature, but it is a distinct locus on chromosome 19.,MYO1C,MMI-beta,MMIb,NMI,myr2,myosin IC,Signal Transduction,Cell Biology & Developmental Biology,Cytoskeleton,Motor Proteins,MYO1C

    Poids moléculaire

    117 kDa/119 kDa/121 kDa

    ID gène

    4641

    UniProt

    O00159

    Pathways

    Platelet-derived growth Factor Receptor Signaling
Vous êtes ici:
Chat with us!