Tel:
+49 (0)241 95 163 153
Fax:
+49 (0)241 95 163 155
E-Mail:
orders@anticorps-enligne.fr

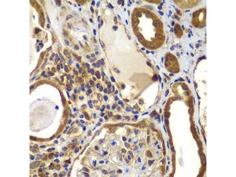
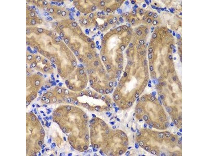
NME2 anticorps (AA 1-152)

Cet anticorps anti-NME2 Polyclonal Lapin (ABIN6144678) détecte spécifiquement NME2 dans WB et IHC. L’anticorps est réactif avec des échantillons de Humain.
N° du produit ABIN6144678
320,00 €
Plus frais de livraison 40,00 € et TVA
Destination: France
Envoi sous 8 à 10 jours ouvrables

Aperçu rapide pour NME2 anticorps (AA 1-152) (ABIN6144678)

Antigène

Voir toutes NME2 Anticorps
NME2 (Nucleoside diphosphate kinase B (NME2))

Reactivité

  • 87
  • 61
  • 30
  • 3
  • 1
Humain

Hôte

  • 67
  • 20
  • 1
Lapin

Clonalité

  • 47
  • 41
Polyclonal

Conjugué

  • 37
  • 5
  • 3
  • 3
  • 3
  • 3
  • 3
  • 3
  • 2
  • 2
  • 2
  • 2
  • 1
  • 1
  • 1
  • 1
  • 1
  • 1
  • 1
  • 1
  • 1
  • 1
  • 1
  • 1
  • 1
  • 1
  • 1
  • 1
  • 1
  • 1
  • 1
  • 1
Cet anticorp NME2 est non-conjugé

Application

  • 65
  • 47
  • 22
  • 17
  • 15
  • 13
  • 13
  • 12
  • 11
  • 10
  • 4
  • 2
  • 2
  • 1
  • 1
  • 1
  • 1
Western Blotting (WB), Immunohistochemistry (IHC)
  • Épitope

    • 15
    • 8
    • 6
    • 3
    • 3
    • 3
    • 1
    • 1
    • 1
    • 1
    • 1
    • 1
    • 1
    • 1
    • 1
    AA 1-152

    Séquence

    MANLERTFIA IKPDGVQRGL VGEIIKRFEQ KGFRLVAMKF LRASEEHLKQ HYIDLKDRPF FPGLVKYMNS GPVVAMVWEG LNVVKTGRVM LGETNPADSK PGTIRGDFCI QVGRNIIHGS DSVKSAEKEI SLWFKPEELV DYKSCAHDWV YE

     Réactivité croisée

    Humain, Souris, Rat

    Attributs du produit

    Polyclonal Antibodies

    Immunogène

    Recombinant fusion protein containing a sequence corresponding to amino acids 1-152 of human NME2/NM23B (NP_001018148.1).

    Isotype

    IgG
  • Indications d'application

    WB,1:500 - 1:2000,IHC,1:50 - 1:200

    Commentaires

    HIGH QUALITY

    Restrictions

    For Research Use only
  • Format

    Liquid

    Buffer

    PBS with 0.02 % sodium azide,50 % glycerol, pH 7.3.

    Agent conservateur

    Sodium azide

    Précaution d'utilisation

    This product contains Sodium azide: a POISONOUS AND HAZARDOUS SUBSTANCE which should be handled by trained staff only.

    Stock

    -20 °C

    Stockage commentaire

    Store at -20°C. Avoid freeze / thaw cycles.
  • Antigène

    NME2 (Nucleoside diphosphate kinase B (NME2))

    Autre désignation

    NME2

    Sujet

    Nucleoside diphosphate kinase (NDK) exists as a hexamer composed of 'A' (encoded by NME1) and 'B' (encoded by this gene) isoforms. Multiple alternatively spliced transcript variants have been found for this gene. Read-through transcription from the neighboring upstream gene (NME1) generates naturally-occurring transcripts (NME1-NME2) that encode a fusion protein comprised of sequence sharing identity with each individual gene product.,NME2,NDKB,NDPK-B,NDPKB,NM23-H2,NM23B,PUF,NME2

    Poids moléculaire

    17 kDa/30 kDa

    ID gène

    4831

    UniProt

    P22392
Vous êtes ici:
Chat with us!