Tel:
+49 (0)241 95 163 153
Fax:
+49 (0)241 95 163 155
E-Mail:
orders@anticorps-enligne.fr

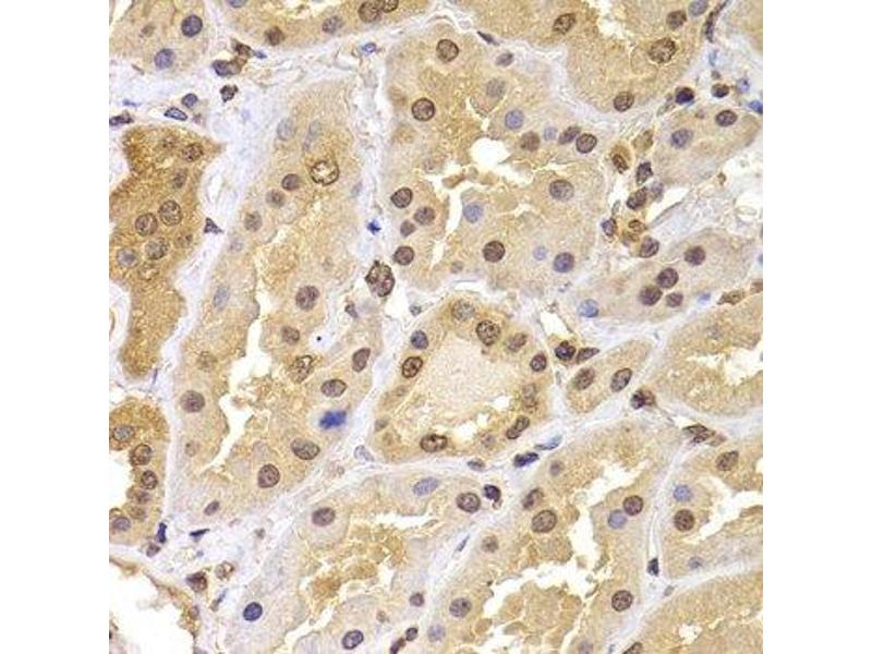
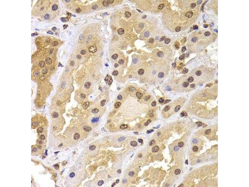
PHF21B anticorps (AA 322-531)

Cet anticorps Lapin Polyclonal détecte spécifiquement PHF21B dans WB. Il présente une réactivité avec des échantillons de Humain.
N° du produit ABIN6145545
320,00 €
Plus frais de livraison 40,00 € et TVA
Destination: France
Envoi sous 8 à 10 jours ouvrables

Aperçu rapide pour PHF21B anticorps (AA 322-531) (ABIN6145545)

Antigène

PHF21B (PHD Finger Protein 21B (PHF21B))

Reactivité

  • 8
  • 1
  • 1
Humain

Hôte

  • 6
  • 2
Lapin

Clonalité

  • 4
  • 4
Polyclonal

Conjugué

  • 8
Cet anticorp PHF21B est non-conjugé

Application

  • 8
  • 6
  • 2
  • 2
  • 1
  • 1
  • 1
Western Blotting (WB)
  • Épitope

    • 2
    • 1
    AA 322-531

    Séquence

    KRLASNYLNN PLFLTARANE DPCWKNEITH DEHCAACKRG ANLQPCGTCP GAYHLSCLEP PLKTAPKGVW VCPRCQQKAL KKDEGVPWTG MLAIVHSYVT HKTVKEEEKQ KLLQRGSELQ NEHQQLEERD RRLASAVQKC LELKTSLLAR QRGTQSSLDR LRALLRLIQG EQLLQVTMTT TSPAPLLAGP WTKPSVAATH PTVQHPQGHN

     Réactivité croisée

    Humain, Souris, Rat

    Attributs du produit

    Polyclonal Antibodies

    Immunogène

    Recombinant fusion protein containing a sequence corresponding to amino acids 322-531 of human PHF21B (NP_612424.1).

    Isotype

    IgG
  • Indications d'application

    WB,1:500 - 1:2000

    Commentaires

    HIGH QUALITY

    Restrictions

    For Research Use only
  • Format

    Liquid

    Buffer

    PBS with 0.02 % sodium azide,50 % glycerol, pH 7.3.

    Agent conservateur

    Sodium azide

    Précaution d'utilisation

    This product contains Sodium azide: a POISONOUS AND HAZARDOUS SUBSTANCE which should be handled by trained staff only.

    Stock

    -20 °C

    Stockage commentaire

    Store at -20°C. Avoid freeze / thaw cycles.
  • Antigène

    PHF21B (PHD Finger Protein 21B (PHF21B))

    Autre désignation

    PHF21B

    Sujet

    PHF21B,BHC80L,PHF4,Epigenetics & Nuclear Signaling,Cell Biology & Developmental Biology,PHF21B

    Poids moléculaire

    51 kDa/53 kDa/57 kDa

    ID gène

    112885

    UniProt

    Q96EK2
Vous êtes ici:
Chat with us!