PHIP anticorps (AA 1542-1821)
Aperçu rapide pour PHIP anticorps (AA 1542-1821) (ABIN6145556)
Antigène
Voir toutes PHIP AnticorpsReactivité
Hôte
Clonalité
Conjugué
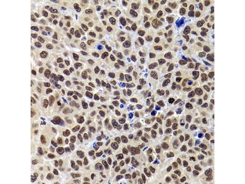
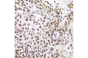
Application
-
-
Épitope
- AA 1542-1821
-
Séquence
- KTILENSVKH SKALNTLSSP GQSSFSHGTR NNSAKENMEK EKPVKRKMKS SVLPKASTLS KSSAVIEQGD CKNNALVPGT IQVNGHGGQP SKLVKRGPGR KPKVEVNTNS GEIIHKKRGR KPKKLQYAKP EDLEQNNVHP IRDEVLPSST CNFLSETNNV KEDLLQKKNR GGRKPKRKMK TQKLDADLLV PASVKVLRRS NRKKIDDPID EEEEFEELKG SEPHMRTRNQ GRRTAFYNED DSEEEQRQLL FEDTSLTFGT SSRGRVRKLT EKAKANLIGW
-
Réactivité croisée
- Humain, Souris
-
Attributs du produit
- Polyclonal Antibodies
-
Immunogène
- Recombinant fusion protein containing a sequence corresponding to amino acids 1542-1821 of human PHIP (NP_060404.3).
-
Isotype
- IgG
-
-
-
-
Indications d'application
- WB,1:500 - 1:2000,IHC,1:50 - 1:200,IF,1:50 - 1:100
-
Restrictions
- For Research Use only
-
-
-
Format
- Liquid
-
Buffer
- PBS with 0.02 % sodium azide,50 % glycerol, pH 7.3.
-
Agent conservateur
- Sodium azide
-
Précaution d'utilisation
- This product contains Sodium azide: a POISONOUS AND HAZARDOUS SUBSTANCE which should be handled by trained staff only.
-
Stock
- -20 °C
-
Stockage commentaire
- Store at -20°C. Avoid freeze / thaw cycles.
-
-
- PHIP (Pleckstrin Homology Domain Interacting Protein (PHIP))
-
Autre désignation
- PHIP
-
Sujet
- This gene encodes a protein that binds to the insulin receptor substrate 1 protein and regulates glucose transporter translocation in skeletal muscle cells. The encoded protein may also regulate growth and survival of pancreatic beta cells. Elevated copy number of this gene may be associated with melanoma severity and the encoded protein may promote melanoma metastasis in human patients.,PHIP,BRWD2,DCAF14,WDR11,ndrp,Epigenetics & Nuclear Signaling,Signal Transduction,Cell Biology & Developmental Biology,Growth factor,PHIP
-
Poids moléculaire
- 206 kDa
-
ID gène
- 55023
-
UniProt
- Q8WWQ0
-
Pathways
- Protein targeting to Nucleus
Antigène
-