Tel:
+49 (0)241 95 163 153
Fax:
+49 (0)241 95 163 155
E-Mail:
orders@anticorps-enligne.fr

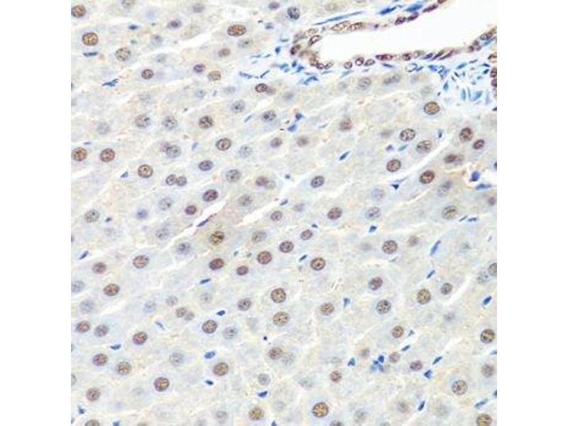
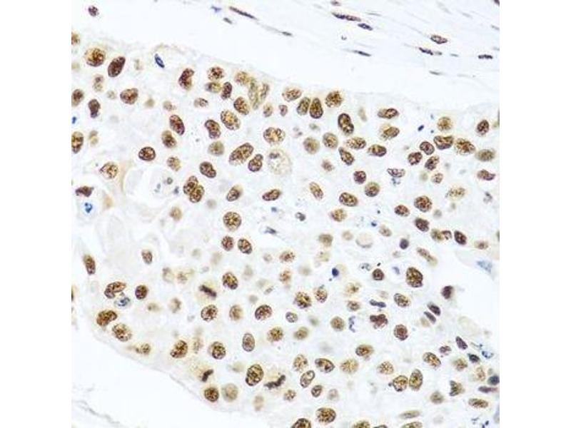
PRP19 anticorps (AA 127-416)

Cet anticorps anti-PRP19 Polyclonal Lapin (ABIN6146256) détecte spécifiquement PRP19 dans WB, IHC et IP. L’anticorps est réactif avec des échantillons de Humain.
N° du produit ABIN6146256
320,00 €
Plus frais de livraison 40,00 € et TVA
Destination: France
Envoi sous 8 à 10 jours ouvrables

Aperçu rapide pour PRP19 anticorps (AA 127-416) (ABIN6146256)

Antigène

Voir toutes PRP19 (PRPF19) Anticorps
PRP19 (PRPF19) (Pre-mRNA Processing Factor 19 (PRPF19))

Reactivité

  • 71
  • 62
  • 45
  • 10
  • 7
  • 6
  • 6
  • 5
  • 4
  • 3
  • 2
  • 2
  • 2
  • 1
  • 1
Humain

Hôte

  • 68
  • 3
Lapin

Clonalité

  • 51
  • 20
Polyclonal

Conjugué

  • 33
  • 5
  • 4
  • 4
  • 4
  • 4
  • 4
  • 4
  • 3
  • 2
  • 1
  • 1
  • 1
  • 1
Cet anticorp PRP19 est non-conjugé

Application

  • 52
  • 32
  • 27
  • 21
  • 16
  • 13
  • 7
  • 1
  • 1
Western Blotting (WB), Immunohistochemistry (IHC), Immunoprecipitation (IP)
  • Épitope

    • 8
    • 6
    • 4
    • 3
    • 2
    • 2
    • 2
    • 2
    • 2
    • 1
    • 1
    • 1
    • 1
    • 1
    • 1
    • 1
    • 1
    AA 127-416

    Séquence

    AREALATLKP QAGLIVPQAV PSSQPSVVGA GEPMDLGELV GMTPEIIQKL QDKATVLTTE RKKRGKTVPE ELVKPEELSK YRQVASHVGL HSASIPGILA LDLCPSDTNK ILTGGADKNV VVFDKSSEQI LATLKGHTKK VTSVVFHPSQ DLVFSASPDA TIRIWSVPNA SCVQVVRAHE SAVTGLSLHA TGDYLLSSSD DQYWAFSDIQ TGRVLTKVTD ETSGCSLTCA QFHPDGLIFG TGTMDSQIKI WDLKERTNVA NFPGHSGPIT SIAFSENGYY LATAADDSSV

     Réactivité croisée

    Humain, Souris, Rat

    Attributs du produit

    Polyclonal Antibodies

    Immunogène

    Recombinant fusion protein containing a sequence corresponding to amino acids 127-416 of human PRP19 (NP_055317.1).

    Isotype

    IgG
  • Indications d'application

    WB,1:500 - 1:2000,IHC,1:50 - 1:200,IP,1:50 - 1:100

    Commentaires

    HIGH QUALITY

    Restrictions

    For Research Use only
  • Format

    Liquid

    Buffer

    PBS with 0.02 % sodium azide,50 % glycerol, pH 7.3.

    Agent conservateur

    Sodium azide

    Précaution d'utilisation

    This product contains Sodium azide: a POISONOUS AND HAZARDOUS SUBSTANCE which should be handled by trained staff only.

    Stock

    -20 °C

    Stockage commentaire

    Store at -20°C. Avoid freeze / thaw cycles.
  • Antigène

    PRP19 (PRPF19) (Pre-mRNA Processing Factor 19 (PRPF19))

    Autre désignation

    PRPF19

    Sujet

    PSO4 is the human homolog of yeast Pso4, a gene essential for cell survival and DNA repair (Beck et al., 2008 [PubMed 18263876]).[supplied by OMIM, Sep 2008],PRPF19,NMP200,PRP19,PSO4,SNEV,UBOX4,hPSO4,Epigenetics & Nuclear Signaling,DNA Damage & Repair,Cell Biology & Developmental Biology,Ubiquitin,Ubiquitin-Proteasome Signaling Pathway,PRPF19

    Poids moléculaire

    55 kDa

    ID gène

    27339

    UniProt

    Q9UMS4

    Pathways

    Ribonucleoprotein Complex Subunit Organization
Vous êtes ici:
Chat with us!