Tel:
+49 (0)241 95 163 153
Fax:
+49 (0)241 95 163 155
E-Mail:
orders@anticorps-enligne.fr

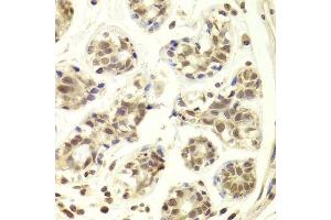
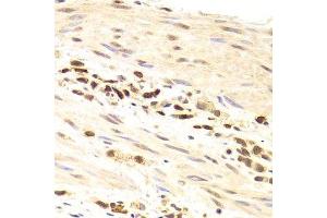
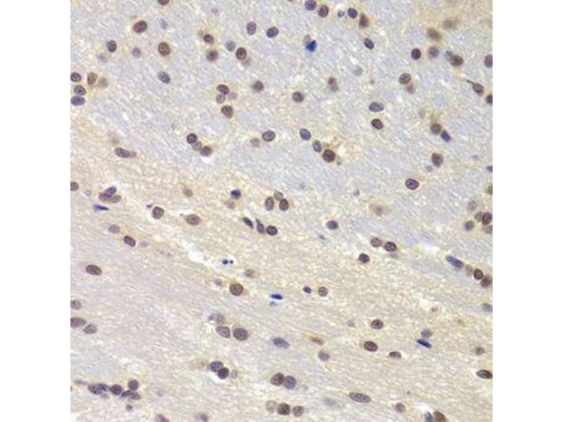
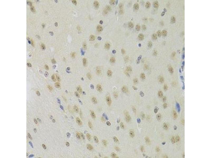
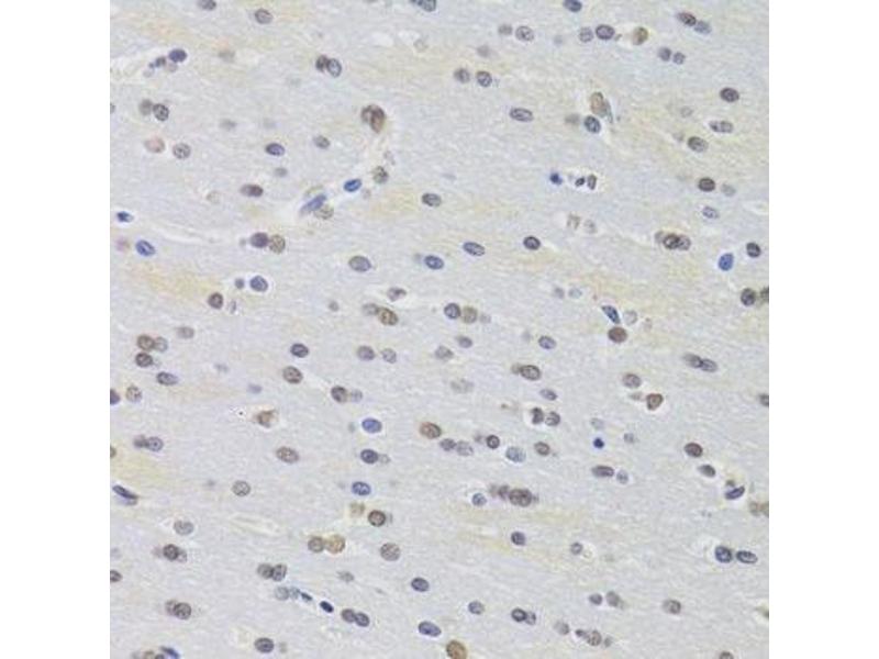
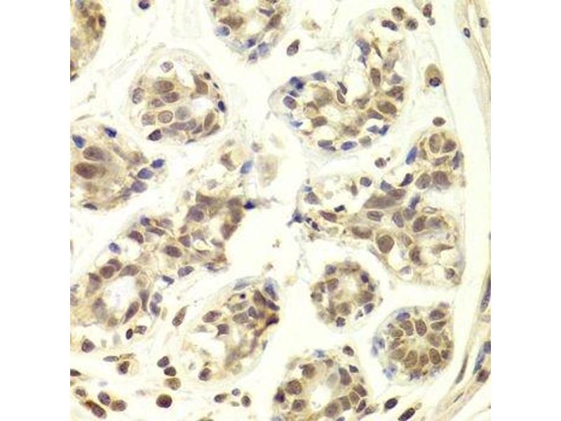
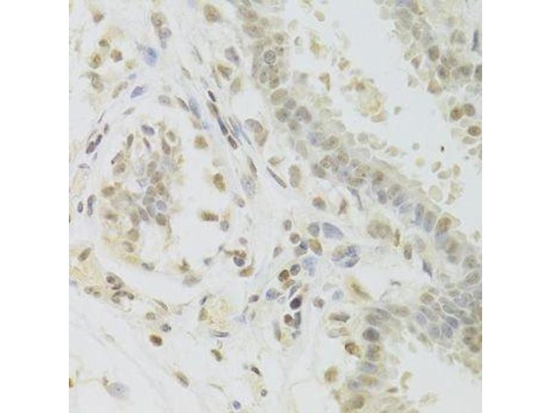
PRPF3 anticorps (AA 1-280)

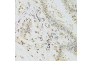
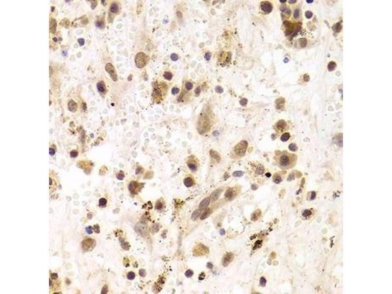
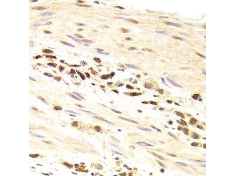
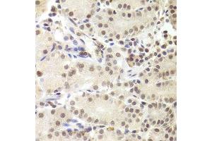
Cet anticorps Lapin Polyclonal détecte spécifiquement PRPF3 dans WB, IHC, IF et IP. Il présente une réactivité avec des échantillons de Humain.
N° du produit ABIN6146260
320,00 €
Plus frais de livraison 40,00 € et TVA
Destination: France
Envoi sous 8 à 10 jours ouvrables

Aperçu rapide pour PRPF3 anticorps (AA 1-280) (ABIN6146260)

Antigène

Voir toutes PRPF3 Anticorps
PRPF3 (PRP3 Pre-mRNA Processing Factor 3 Homolog (PRPF3))

Reactivité

  • 28
  • 21
  • 20
  • 8
  • 6
  • 6
  • 6
  • 5
  • 2
  • 2
  • 1
  • 1
Humain

Hôte

  • 26
  • 2
Lapin

Clonalité

  • 26
  • 2
Polyclonal

Conjugué

  • 17
  • 2
  • 2
  • 1
  • 1
  • 1
  • 1
  • 1
  • 1
  • 1
Cet anticorp PRPF3 est non-conjugé

Application

  • 14
  • 10
  • 7
  • 5
  • 3
  • 2
  • 1
Western Blotting (WB), Immunohistochemistry (IHC), Immunofluorescence (IF), Immunoprecipitation (IP)
  • Épitope

    • 5
    • 2
    • 2
    • 1
    • 1
    • 1
    • 1
    • 1
    AA 1-280

    Séquence

    MALSKRELDE LKPWIEKTVK RVLGFSEPTV VTAALNCVGK GMDKKKAADH LKPFLDDSTL RFVDKLFEAV EEGRSSRHSK SSSDRSRKRE LKEVFGDDSE ISKESSGVKK RRIPRFEEVE EEPEVIPGPP SESPGMLTKL QIKQMMEAAT RQIEERKKQL SFISPPTPQP KTPSSSQPER LPIGNTIQPS QAATFMNDAI EKARKAAELQ ARIQAQLALK PGLIGNANMV GLANLHAMGI APPKVELKDQ TKPTPLILDE QGRTVDATGK EIELTHRMPT

     Réactivité croisée

    Humain, Souris, Rat

    Attributs du produit

    Polyclonal Antibodies

    Immunogène

    Recombinant fusion protein containing a sequence corresponding to amino acids 1-280 of human PRPF3 (NP_004689.1).

    Isotype

    IgG
  • Indications d'application

    WB,1:500 - 1:2000,IHC,1:50 - 1:200,IF,1:50 - 1:200,IP,1:50 - 1:100

    Commentaires

    HIGH QUALITY

    Restrictions

    For Research Use only
  • Format

    Liquid

    Buffer

    PBS with 0.02 % sodium azide,50 % glycerol, pH 7.3.

    Agent conservateur

    Sodium azide

    Précaution d'utilisation

    This product contains Sodium azide: a POISONOUS AND HAZARDOUS SUBSTANCE which should be handled by trained staff only.

    Stock

    -20 °C

    Stockage commentaire

    Store at -20°C. Avoid freeze / thaw cycles.
  • Antigène

    PRPF3 (PRP3 Pre-mRNA Processing Factor 3 Homolog (PRPF3))

    Autre désignation

    PRPF3

    Sujet

    The removal of introns from nuclear pre-mRNAs occurs on complexes called spliceosomes, which are made up of 4 small nuclear ribonucleoprotein (snRNP) particles and an undefined number of transiently associated splicing factors. This gene product is one of several proteins that associate with U4 and U6 snRNPs. Mutations in this gene are associated with retinitis pigmentosa-18.,PRPF3,HPRP3,HPRP3P,PRP3,Prp3p,RP18,SNRNP90,Epigenetics & Nuclear Signaling,Neuroscience,PRPF3

    Poids moléculaire

    31 kDa/77 kDa

    ID gène

    9129

    UniProt

    O43395
Vous êtes ici:
Chat with us!