Tel:
+49 (0)241 95 163 153
Fax:
+49 (0)241 95 163 155
E-Mail:
orders@anticorps-enligne.fr

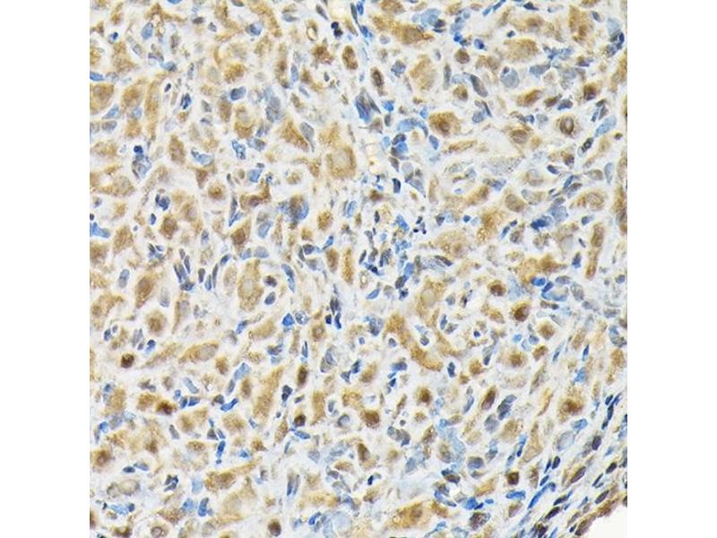
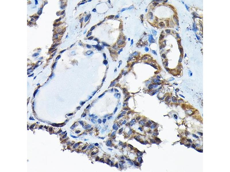
RBBP9 anticorps (AA 1-186)

Cet anticorps anti-RBBP9 est un anticorps Lapin Polyclonal détectant RBBP9 dans WB et IHC. Adapté pour Humain.
N° du produit ABIN6129095

Aperçu rapide pour RBBP9 anticorps (AA 1-186) (ABIN6129095)

Antigène

Voir toutes RBBP9 Anticorps
RBBP9 (Retinoblastoma Binding Protein 9 (RBBP9))

Reactivité

  • 25
  • 2
  • 2
  • 1
  • 1
  • 1
  • 1
  • 1
  • 1
Humain

Hôte

  • 15
  • 10
Lapin

Clonalité

  • 17
  • 8
Polyclonal

Conjugué

  • 15
  • 2
  • 1
  • 1
  • 1
  • 1
  • 1
  • 1
  • 1
  • 1
Cet anticorp RBBP9 est non-conjugé

Application

  • 13
  • 9
  • 8
  • 4
  • 3
  • 1
  • 1
Western Blotting (WB), Immunohistochemistry (IHC)
  • Épitope

    • 8
    • 2
    • 1
    AA 1-186

    Séquence

    MASPSKAVIV PGNGGGDVTT HGWYGWVKKE LEKIPGFQCL AKNMPDPITA RESIWLPFME TELHCDEKTI IIGHSSGAIA AMRYAETHRV YAIVLVSAYT SDLGDENERA SGYFTRPWQW EKIKANCPYI VQFGSTDDPF LPWKEQQEVA DRLETKLHKF TDCGHFQNTE FHELITVVKS LLKVPA

     Réactivité croisée

    Humain, Souris, Rat

    Attributs du produit

    Polyclonal Antibodies

    Immunogène

    Recombinant fusion protein containing a sequence corresponding to amino acids 1-186 of human RBBP9 (NP_006597.2).

    Isotype

    IgG
  • Indications d'application

    WB,1:500 - 1:2000,IHC,1:50 - 1:200

    Commentaires

    HIGH QUALITY

    Restrictions

    For Research Use only
  • Format

    Liquid

    Buffer

    PBS with 0.02 % sodium azide,50 % glycerol, pH 7.3.

    Agent conservateur

    Sodium azide

    Précaution d'utilisation

    This product contains Sodium azide: a POISONOUS AND HAZARDOUS SUBSTANCE which should be handled by trained staff only.

    Stock

    -20 °C

    Stockage commentaire

    Store at -20°C. Avoid freeze / thaw cycles.
  • Antigène

    RBBP9 (Retinoblastoma Binding Protein 9 (RBBP9))

    Autre désignation

    RBBP9

    Sujet

    The protein encoded by this gene is a retinoblastoma binding protein that may play a role in the regulation of cell proliferation and differentiation. Two alternatively spliced transcript variants of this gene with identical predicted protein products have been reported, one of which is a nonsense-mediated decay candidate.,RBBP9,BOG,RBBP10,Signal Transduction,Cell Biology & Developmental Biology,Growth factor,RBBP9

    Poids moléculaire

    19 kDa/21 kDa

    ID gène

    10741

    UniProt

    O75884
Vous êtes ici:
Chat with us!